About   Help   FAQ
Gene Expression Data
Assay Details
Assay
Reference: J:93300 Blackshaw S, et al., Genomic analysis of mouse retinal development. PLoS Biol. 2004 Oct;2(9):E247
Assay type: RNA in situ
MGI Accession ID: MGI:3585925
Gene symbol: Susd3
Gene name: sushi domain containing 3
Probe: UI-M-AK0-ade-b-04-0-UI.s1
Probe preparation: Antisense labelled with digoxigenin RNA
Visualized with: Alkaline phosphatase
Assay notes: This data is from Supplemental Table 5, Gene column, row: 34308 1700017I11Rik RIKEN cDNA 1700017I11 gene. After cryosectioning, tissue was fixed for 10' in 4% paraformaldehyde prior to processing.
Results
Specimen E18: embryonic day 18.0 (more )
Structure Level Pattern Image Note
TS26: retina Absent

Specimen P0/1: postnatal day 0-1 (more )
Structure Level Pattern Image Note
TS27: retina Absent Submitted Image - 4Dp1.5

Specimen P2/3: postnatal day 2-3 (more )
Structure Level Pattern Image Note
TS27: retina outer nuclear layer Weak Submitted Image - 4Dp3.5B , Submitted Image - 4Dp2.5 , Submitted Image - 4Dp3.5 , Submitted Image - 4Dp2.5B , Submitted Image - 4Dp3.5C Expression was detected in the outer neuroblastic layer.

Specimen P4/5: postnatal day 4-5 (more )
Structure Level Pattern Image Note
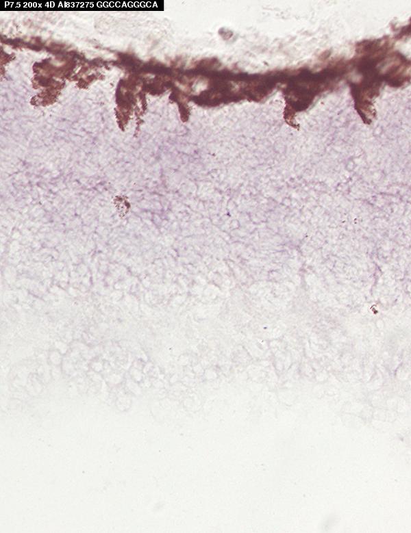
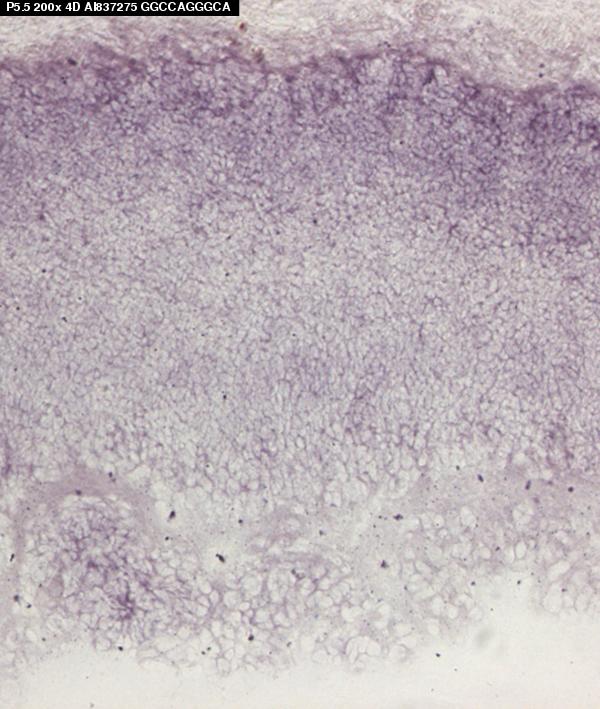
TS28: retina outer nuclear layer Present Submitted Image - 4Dp4.5 , Submitted Image - 4Dp5.5 Expression was detected in the outer neuroblastic layer.

Specimen P6/7: postnatal day 6-7 (more )
Structure Level Pattern Image Note
TS28: retina outer nuclear layer Present Submitted Image - 4Dp6.5B , Submitted Image - 4Dp6.5 , Submitted Image - 4Dp7.5 , Submitted Image - 4Dp7.5D , Submitted Image - 4Dp7.5C , Submitted Image - 4Dp7.5B

Specimen P8/10: postnatal day 8-10 (more )
Structure Level Pattern Image Note
TS28: retina outer nuclear layer Present Submitted Image - 4Dp10.5B , Submitted Image - 4Dp10.5

Specimen Adult: postnatal adult (more )
Structure Level Pattern Image Note
TS28: retina outer nuclear layer Present Submitted Image - 4DadultB , Submitted Image - 4Dadult

Specimen CNS: postnatal day 6 (more )
Structure Level Pattern Image Note
TS28: central nervous system Absent

Specimen Embryo: embryonic day 16.0 (more )
Structure Level Pattern Image Note
TS24: renal medulla Present Regionally restricted Expression was detected in a subset of cells in the kidney medulla.


Contributing Projects:
Mouse Genome Database (MGD), Gene Expression Database (GXD), Mouse Models of Human Cancer database (MMHCdb) (formerly Mouse Tumor Biology (MTB)), Gene Ontology (GO)
Citing These Resources
Funding Information
Warranty Disclaimer, Privacy Notice, Licensing, & Copyright
Send questions and comments to User Support.
last database update
09/30/2025
MGI 6.24
The Jackson Laboratory