About   Help   FAQ
Gene Expression Data
Assay Details
Assay
Reference: J:93300 Blackshaw S, et al., Genomic analysis of mouse retinal development. PLoS Biol. 2004 Oct;2(9):E247
Assay type: RNA in situ
MGI Accession ID: MGI:3585495
Gene symbol: Rhot2
Gene name: ras homolog family member T2
Probe: IMAGE clone 1263408
Probe preparation: Antisense labelled with digoxigenin RNA
Visualized with: Alkaline phosphatase
Assay notes: This data is from Supplemental Table 5, Gene column, row: 19077 Arht2 ras homolog gene family, member T2. After cryosectioning, tissue was fixed for 10' in 4% paraformaldehyde prior to processing.
Results
Specimen P2/3: postnatal day 2-3 (more )
Structure Level Pattern Image Note
TS27: retina outer nuclear layer Weak Submitted Image - m23P2.5 Expression was detected in the outer neuroblastic layer.

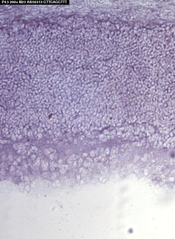
Specimen P4/5: postnatal day 4-5 (more )
Structure Level Pattern Image Note
TS28: retina outer nuclear layer Present Submitted Image - m23P4.5 Expression was detected in the outer neuroblastic layer.

Specimen P6/7: postnatal day 6-7 (more )
Structure Level Pattern Image Note
TS28: retina outer nuclear layer Present Regionally restricted Submitted Image - m23P6.5 , Submitted Image - m23P7.5 Expression was detected in the inner segment.
TS28: retina inner nuclear layer Present Submitted Image - m23P7.5 , Submitted Image - m23P6.5

Specimen P8/10: postnatal day 8-10 (more )
Structure Level Pattern Image Note
TS28: retina outer nuclear layer Present Regionally restricted Submitted Image - m23P9.5 Expression was detected in the inner segment.

Specimen Adult: postnatal adult (more )
Structure Level Pattern Image Note
TS28: retina outer nuclear layer Present

Specimen CNS: postnatal day 6 (more )
Structure Level Pattern Image Note
TS28: central nervous system Absent


Contributing Projects:
Mouse Genome Database (MGD), Gene Expression Database (GXD), Mouse Models of Human Cancer database (MMHCdb) (formerly Mouse Tumor Biology (MTB)), Gene Ontology (GO)
Citing These Resources
Funding Information
Warranty Disclaimer, Privacy Notice, Licensing, & Copyright
Send questions and comments to User Support.
last database update
04/07/2026
MGI 6.24
The Jackson Laboratory