About   Help   FAQ
Gene Expression Data
Assay Details
Assay
Reference: J:93300 Blackshaw S, et al., Genomic analysis of mouse retinal development. PLoS Biol. 2004 Oct;2(9):E247
Assay type: RNA in situ
MGI Accession ID: MGI:3585353
Gene symbol: 1810009A15Rik
Gene name: RIKEN cDNA 1810009A15 gene
Probe: UI-M-AQ1-adz-d-04-0-UI.s1
Probe preparation: Antisense labelled with digoxigenin RNA
Visualized with: Alkaline phosphatase
Assay notes: This data is from Supplemental Table 5, Gene column, row: 234182 ESTs/contains actin similarity domain . After cryosectioning, tissue was fixed for 10' in 4% paraformaldehyde prior to processing.
Results
Specimen E16: embryonic day 16.0 (more )
Structure Level Pattern Image Note
TS24: retina Weak Uniform Submitted Image - 23Ae16.5 Expression was panretinal.

Specimen E18: embryonic day 18.0 (more )
Structure Level Pattern Image Note
TS26: retina Weak Uniform Submitted Image - 23Ae18.5 Expression was panretinal.

Specimen P0/1: postnatal day 0-1 (more )
Structure Level Pattern Image Note
TS27: retina Weak Uniform Submitted Image - 23Ap1.5 Expression was panretinal.

Specimen P2/3: postnatal day 2-3 (more )
Structure Level Pattern Image Note
TS27: retina outer nuclear layer Present Regionally restricted Submitted Image - 23Ap2.5 , Submitted Image - 23Ap3.5 Expression was detected in the scleral outer neuroblastic layer.

Specimen P4/5: postnatal day 4-5 (more )
Structure Level Pattern Image Note
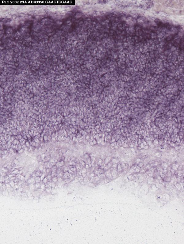
TS28: retina outer nuclear layer Present Regionally restricted Submitted Image - 23Ap4.5 , Submitted Image - 23Ap5.5 Expression was detected in the scleral outer neuroblastic layer.

Specimen P6/7: postnatal day 6-7 (more )
Structure Level Pattern Image Note
TS28: retina layer Present Regionally restricted Submitted Image - 23Ap7.5 , Submitted Image - 23Ap6.5 Expression was detected in rods.

Specimen P8/10: postnatal day 8-10 (more )
Structure Level Pattern Image Note
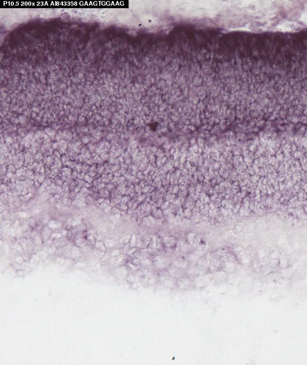
TS28: retina layer Present Regionally restricted Submitted Image - 23Ap10.5 , Submitted Image - 23Ap8.5 Expression was detected in rods.

Specimen Adult: postnatal adult (more )
Structure Level Pattern Image Note
TS28: retina outer nuclear layer Present Regionally restricted Expression was detected in the inner segment.
TS28: retina inner nuclear layer Present

Specimen CNS: postnatal day 6 (more )
Structure Level Pattern Image Note
TS28: central nervous system Present Expression was widespread.


Contributing Projects:
Mouse Genome Database (MGD), Gene Expression Database (GXD), Mouse Models of Human Cancer database (MMHCdb) (formerly Mouse Tumor Biology (MTB)), Gene Ontology (GO)
Citing These Resources
Funding Information
Warranty Disclaimer, Privacy Notice, Licensing, & Copyright
Send questions and comments to User Support.
last database update
01/28/2026
MGI 6.24
The Jackson Laboratory