About   Help   FAQ
Gene Expression Data
Assay Details
Assay
Reference: J:55622 Ame JC, et al., PARP-2, A novel mammalian DNA damage-dependent poly(ADP-ribose) polymerase. J Biol Chem. 1999 Jun 18;274(25):17860-8
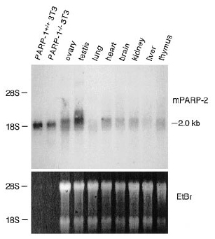
Assay type: Northern blot
MGI Accession ID: MGI:2663304
Gene symbol: Parp2
Gene name: poly (ADP-ribose) polymerase family, member 2
Probe: PARP-2 probe1
Probe preparation: DNA
Visualized with: Autoradiography
Results
 Sample Information Bands Other Sample Information
Lane AgeStructure 2 kb (a) Amount Genetic BackgroundMutant Allele(s)Sex
PARP-1+/+ 3T3 In vitro data: no data stored
PARP-1-/- 3T3 In vitro data: no data stored
ovary P adult TS28: ovary Strong 10 µg; total RNA Not Specified Female
testis P adult TS28: testis Strong 10 µg; total RNA Not Specified Male
lung P adult TS28: lung Present 10 µg; total RNA Not Specified Not Specified
heart P adult TS28: heart Present 10 µg; total RNA Not Specified Not Specified
brain P adult TS28: brain Present 10 µg; total RNA Not Specified Not Specified
kidney P adult TS28: metanephros Present 10 µg; total RNA Not Specified Not Specified
liver P adult TS28: liver Present 10 µg; total RNA Not Specified Not Specified
thymus P adult TS28: thymus Present 10 µg; total RNA Not Specified Not Specified
Notes:
(a) Authors state that there was a basal level of expression in all tissues with higher expression in germline tissues.

Contributing Projects:
Mouse Genome Database (MGD), Gene Expression Database (GXD), Mouse Models of Human Cancer database (MMHCdb) (formerly Mouse Tumor Biology (MTB)), Gene Ontology (GO)
Citing These Resources
Funding Information
Warranty Disclaimer, Privacy Notice, Licensing, & Copyright
Send questions and comments to User Support.
last database update
12/30/2025
MGI 6.24
The Jackson Laboratory