About   Help   FAQ
Gene Expression Data
Assay Details
Assay
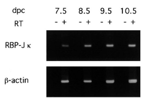
Reference: J:29277 Oka C, et al., Disruption of the mouse RBP-J kappa gene results in early embryonic death. Development. 1995 Oct;121(10):3291-301
Assay type: RT-PCR
MGI Accession ID: MGI:1335340
Gene symbol: Rbpj
Gene name: recombination signal binding protein for immunoglobulin kappa J region
Probe: Rbpsuh-pA, Rbpsuh-pB
Probe preparation: DNA
Visualized with: Ethidium bromide
Results
Image: 6 ©

 Sample Information Bands Other Sample Information
Lane AgeStructure Size Not Specified Amount Genetic BackgroundMutant Allele(s)Sex
7.5- Control
7.5+ E7.5 TS11: embryo Present 1.00 µg; total RNA Not Specified Not Specified
8.5- Control
8.5+ E8.5 TS13: embryo Present 1.00 µg; total RNA Not Specified Not Specified
9.5- Control
9.5+ E9.5 TS15: embryo Present 1.00 µg; total RNA Not Specified Not Specified
10.5- Control
10.5+ E10.5 TS17: embryo Present 1.00 µg; total RNA Not Specified Not Specified

Contributing Projects:
Mouse Genome Database (MGD), Gene Expression Database (GXD), Mouse Models of Human Cancer database (MMHCdb) (formerly Mouse Tumor Biology (MTB)), Gene Ontology (GO)
Citing These Resources
Funding Information
Warranty Disclaimer, Privacy Notice, Licensing, & Copyright
Send questions and comments to User Support.
last database update
01/20/2026
MGI 6.24
The Jackson Laboratory