About   Help   FAQ
Sgpl1Gt(OST58278)Lex
Gene trapped Allele Detail
Summary
Symbol: Sgpl1Gt(OST58278)Lex
Name: sphingosine phosphate lyase 1; gene trap OST58278, Lexicon Genetics
MGI ID: MGI:3833931
Synonyms: S1PL-
Gene: Sgpl1  Location: Chr10:60934421-60983463 bp, - strand  Genetic Position: Chr10, 32.14 cM
Alliance: Sgpl1Gt(OST58278)Lex page
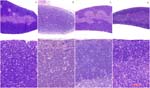
Thymus abnormalities in Sgpl1Gt(OST58278)Lex/Sgpl1Gt(OST58278)Lex, Sgpl1tm1(SGPL1)Lex/Sgpl1tm1(SGPL1)Lex and Sgpl1tm1(SGPL1)Lex/Sgpl1Gt(OST58278)Lex mice

Show the 6 phenotype image(s) involving this allele.

Mutation
origin
Mutant Cell Line:  OST58278
Germline Transmission:  Earliest citation of germline transmission: J:145159
Parent Cell Line:  Lex-1 (ES Cell)
Strain of Origin:  129S5/SvEvBrd
Project Collection: Lexicon
Mutation
description
Allele Type:    Gene trapped (Null/knockout)
Mutation:    Insertion of gene trap vector
 
Mutation detailsThe gene trap vector containing a beta-geo cassette was inserted downstream of exon 2. The absence of functional protein was confirmed by enzymatic assay and spleen extracts. (J:145159)
Phenotypes
Loading...
View phenotypes and curated references for all genotypes (concatenated display).
Expression
In Structures Affected by this Mutation: 14 anatomical structure(s)
Find Mice (IMSR)
Mouse strains and cell lines available from the International Mouse Strain Resource (IMSR)
Carrying this Mutation:  Mouse Strains: 0 strains available      Cell Lines: 0 lines available
Carrying any Sgpl1 Mutation:  34 strains or lines available
References
Original:  J:145159 Vogel P, et al., Incomplete inhibition of sphingosine 1-phosphate lyase modulates immune system function yet prevents early lethality and non-lymphoid lesions. PLoS One. 2009;4(1):e4112
All:  10 reference(s)

Contributing Projects:
Mouse Genome Database (MGD), Gene Expression Database (GXD), Mouse Models of Human Cancer database (MMHCdb) (formerly Mouse Tumor Biology (MTB)), Gene Ontology (GO)
Citing These Resources
Funding Information
Warranty Disclaimer, Privacy Notice, Licensing, & Copyright
Send questions and comments to User Support.
last database update
12/09/2025
MGI 6.24
The Jackson Laboratory