About   Help   FAQ
Slc26a9tm1Sole
Targeted Allele Detail
Summary
Symbol: Slc26a9tm1Sole
Name: solute carrier family 26, member 9; targeted mutation 1, Manoocher Soleimani
MGI ID: MGI:3822918
Gene: Slc26a9  Location: Chr1:131671760-131699242 bp, + strand  Genetic Position: Chr1, 57.18 cM
Alliance: Slc26a9tm1Sole page
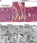
Gastric mucosa abnormalities in Slc26a9tm1Sole/Slc26a9tm1Sole mice

Show the 1 phenotype image(s) involving this allele.

Mutation
origin
Germline Transmission:  Earliest citation of germline transmission: J:142516
Parent Cell Line:  Not Specified (ES Cell)
Strain of Origin:  129S/SvEv
Mutation
description
Allele Type:    Targeted (Null/knockout)
Mutations:    Insertion, Intragenic deletion
 
Mutation detailsExons 2 through 5 were replaced with a neo cassette. The absence of transcript expression was confirmed by northern blot analysis on stomach and lung extracts. (J:142516)
Phenotypes
Loading...
View phenotypes and curated references for all genotypes (concatenated display).
Expression
In Structures Affected by this Mutation: 4 anatomical structure(s)
Find Mice (IMSR)
Mouse strains and cell lines available from the International Mouse Strain Resource (IMSR)
Carrying this Mutation:  Mouse Strains: 0 strains available      Cell Lines: 0 lines available
Carrying any Slc26a9 Mutation:  78 strains or lines available
References
Original:  J:142516 Xu J, et al., Deletion of the chloride transporter Slc26a9 causes loss of tubulovesicles in parietal cells and impairs acid secretion in the stomach. Proc Natl Acad Sci U S A. 2008 Nov 18;105(46):17955-60
All:  6 reference(s)

Contributing Projects:
Mouse Genome Database (MGD), Gene Expression Database (GXD), Mouse Models of Human Cancer database (MMHCdb) (formerly Mouse Tumor Biology (MTB)), Gene Ontology (GO)
Citing These Resources
Funding Information
Warranty Disclaimer, Privacy Notice, Licensing, & Copyright
Send questions and comments to User Support.
last database update
12/30/2025
MGI 6.24
The Jackson Laboratory