About   Help   FAQ
Gata1Plt13
Chemically induced Allele Detail
Summary
Symbol: Gata1Plt13
Name: GATA binding protein 1; Plt13
MGI ID: MGI:3687875
Gene: Gata1  Location: ChrX:7825504-7842844 bp, - strand  Genetic Position: ChrX, 3.59 cM, cytoband A2
Alliance: Gata1Plt13 page
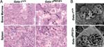
Gata1Plt13/Gata1+ mice exhibit megakaryocytosis and abnormal megakaryocyte maturation.

Show the 1 phenotype image(s) involving this allele.

Mutation
origin
Strain of Origin:  BALB/c
Mutation
description
Allele Type:    Chemically induced (ENU)
Mutation:    Single point mutation
 
Mutation detailsA T to A transversion in exon 2 disrupts the translation initiation codon. Wild-type protein was not detected in mutants. (J:113720)
Phenotypes
Loading...
View phenotypes and curated references for all genotypes (concatenated display).
Expression
In Structures Affected by this Mutation: 3 anatomical structure(s)
Find Mice (IMSR)
Mouse strains and cell lines available from the International Mouse Strain Resource (IMSR)
Carrying this Mutation:  Mouse Strains: 0 strains available      Cell Lines: 0 lines available
Carrying any Gata1 Mutation:  47 strains or lines available
References
Original:  J:113720 Majewski IJ, et al., A mutation in the translation initiation codon of Gata-1 disrupts megakaryocyte maturation and causes thrombocytopenia. Proc Natl Acad Sci U S A. 2006 Sep 19;103(38):14146-51
All:  2 reference(s)

Contributing Projects:
Mouse Genome Database (MGD), Gene Expression Database (GXD), Mouse Models of Human Cancer database (MMHCdb) (formerly Mouse Tumor Biology (MTB)), Gene Ontology (GO)
Citing These Resources
Funding Information
Warranty Disclaimer, Privacy Notice, Licensing, & Copyright
Send questions and comments to User Support.
last database update
04/07/2026
MGI 6.24
The Jackson Laboratory