About   Help   FAQ
Sirpatm1Nog
Targeted Allele Detail
Summary
Symbol: Sirpatm1Nog
Name: signal-regulatory protein alpha; targeted mutation 1, Tetsuya Noguchi
MGI ID: MGI:2388979
Synonyms: SHPS-1-cyto(-), SHPS-1 MT, SirpaCT-, SIRPalpha-, SIRPalpha MT, SIRP CT-
Gene: Sirpa  Location: Chr2:129434755-129474148 bp, + strand  Genetic Position: Chr2, 63.19 cM, cytoband F3
Alliance: Sirpatm1Nog page
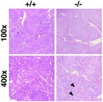
Presence of megakaryocytes in the spleen of 11 week old Sirpatm1Nog/Sirpatm1Nog mice

Show the 1 phenotype image(s) involving this allele.

Mutation
origin
Germline Transmission:  Earliest citation of germline transmission: J:79824
Parent Cell Line:  E14.1 (ES Cell)
Strain of Origin:  129P2/OlaHsd
Mutation
description
Allele Type:    Targeted (Null/knockout)
Mutations:    Insertion, Intragenic deletion
 
Mutation detailsExons 7 and 8 were replaced by a neomycin selection cassette inserted by homologous recombination. The deleted region encoded the majority of the cytoplasmic region. A low level of production of a truncated protein was identified by expression analyses of brain tissue and peritoneal macrophages. Biochemical assays showed that the mutant protein did not undergo tyrosine phosphorylation nor did it associate with Hcph. (J:79592, J:79824)
Phenotypes
Loading...
View phenotypes and curated references for all genotypes (concatenated display).
Expression
In Structures Affected by this Mutation: 2 anatomical structure(s)
Find Mice (IMSR)
Mouse strains and cell lines available from the International Mouse Strain Resource (IMSR)
Carrying this Mutation:  Mouse Strains: 2 strains available      Cell Lines: 0 lines available
Carrying any Sirpa Mutation:  39 strains or lines available
References
Original:  J:79824 Inagaki K, et al., SHPS-1 regulates integrin-mediated cytoskeletal reorganization and cell motility. EMBO J. 2000 Dec 15;19(24):6721-31
All:  44 reference(s)

Contributing Projects:
Mouse Genome Database (MGD), Gene Expression Database (GXD), Mouse Models of Human Cancer database (MMHCdb) (formerly Mouse Tumor Biology (MTB)), Gene Ontology (GO)
Citing These Resources
Funding Information
Warranty Disclaimer, Privacy Notice, Licensing, & Copyright
Send questions and comments to User Support.
last database update
05/12/2026
MGI 6.24
The Jackson Laboratory