|
|
|
Allele Information
|
|
Allele:
|
Gnao1tm2(EGFP/cre/ERT2)Wtsi
guanine nucleotide binding protein, alpha O;
targeted mutation 2, Wellcome Trust Sanger Institute
|
Driver: Gnao1
Type: Targeted
(Inducible, Recombinase, Reporter)
|
|
|
Inducer:
|
tamoxifen
|
|
Synonym:
|
|
|
Molecular description:
|
According to the allele molecular image presented by the International Knockout Mouse Consortium, this allele has one loxP sites downstream of exon 3, and inserted into the intron between exons 2 and 3 is one FRT site, an engrailed 2 splice acceptor sequence, an EGFP and cre/ERT2 expression cassette, and a neomycin resistance cassette.
|
|
Collection:
|
EUCOMMTOOLS |
|
Find mice (IMSR):
|
Mouse Strains:
0 strains available
Cell Lines:
0 lines available
|
|
Additional Tissues:
|
Gnao1tm2(EGFP/cre/ERT2)Wtsi activity also observed in:
|
|
|
Tissue Information
|
|
Renal & Urinary System
|
Other recombinase alleles with activity in Renal & Urinary System tissues:
Abcg2tm1.1(cre/Esr1*)Jvbe,
Agrptm1(cre)Lowl,
Alpltm1(cre)Nagy,
Amnem1(cre/ERT2)Fuzh,
Aplnrem3(cre/ERT2)Smoc,
Aqp2tm1(cre/ERT2)Wezh,
Arem1(cre)Zsu,
Bmp7tm6(cre)Rob,
Calb2tm1(cre)Zjh,
Ccktm1.1(cre)Zjh,
Cd19tm1(cre)Cgn,
Cd34tm1.1(cre/ERT2)Lizg,
Cdkn2atm1.1(cre)Dvb,
Cdkn2atm1(cre/ERT2)Mkt,
Chattm2(cre)Lowl,
Cldn6tm1(cre/ERT2)Dam,
Clec9atm2.1(icre)Crs,
Clutm2(EGFP/cre/ERT2)Wtsi,
Commd10Tg(Vav1-icre)A2Kio,
Corttm1(cre)Zjh,
Crybb1em1(icre)Cln,
Cx3cr1tm1.1(cre)Jung,
Cx3cr1tm2.1(cre/ERT2)Litt,
Cx3cr1tm2.1(cre/ERT)Jung,
Ddx4em1(icre)Jobo,
Dmp1tm2(EGFP/cre/ERT2)Wtsi,
Dpep3tm1(EGFP/cre/ERT2)Wtsi,
E2f1Tg(Wnt1-cre)2Sor,
Emx1tm1(cre)Krj,
Eportm1.1(EGFP/icre)Uk,
Etv5tm1(cre/ERT2)Brst,
Fgf18tm2.2(cre/ERT2)Dor,
Foxd1tm1(GFP/cre)Amc,
Gad2tm2(cre)Zjh,
Gdf15tm1(cre/ERT2)Amc,
Gfi1tm1(cre)Gan,
Glp1rtm1.1(cre)Cors,
Golm1tm2(EGFP/cre/ERT2)Wtsi,
Gt(ROSA)26Sorem1(CAG-Ncre/vvd*,-vvd*/Ccre)Larc,
Gt(ROSA)26Sortm1.1(CAG-cre)Jphe,
Gt(ROSA)26Sortm1.1(rtTA,tetO-cre)Bkmn,
Gt(ROSA)26Sortm14.1(Thy1-dre)Maoh,
Gt(ROSA)26Sortm1(cre/ERT2)Tyj,
Gt(ROSA)26Sortm1(cre/ERT)Brn,
Gt(ROSA)26Sortm2(cre/ERT2)Brn,
Gt(ROSA)26Sortm2(icre/ERT2)Jphe,
Gt(ROSA)26Sortm5(dre)Dwi,
Gt(ROSA)26Sortm6(dre/PGR*)Dwi,
Gt(ROSA)26Sortm8(CAG-dre/ERT2)Bzsh,
H2az2Tg(Wnt1-cre)11Rth,
Hnf4atm1(cre)Sdv,
Hprt1tm1(CAG-cre)Mnn,
Hprt1tm364a(CAG-icre/ERT2)Ems,
Hsd11b2tm1(cre)Anft,
Ifi208Tg(Cspg4-cre)1Akik,
Igs2tm1(Cdkn1a-cre/ERT2,-EGFP)Mxu,
Ihhem1(Tomm20/mKate2,dre)Xya,
Itga8tm1.1(cre/ERT2)Jomm,
Kittm2.1(cre/Esr1*)Jmol,
Krt14tm1(cre/ERT2)Akli,
Krt17tm1(cre)Murr,
Krt19tm1(cre/ERT)Ggu,
Krt4em1(cre/ERT2)Bcgen,
Krt7tm1(cre/ERT2)Que,
Leprtm2(cre)Rck,
Lgals3em1(cre)Cya,
Lgr5tm1.1(cre/ERT2)Npa,
Lgr5tm1(cre/ERT2)Cle,
Lgr6tm2.1(cre/ERT2)Cle,
Ltftm1(icre)Tdku,
Ly6atm1.1(cre/ERT2)Geno,
Ly6atm2.1(cre/Esr1*)Jmol,
Lyve1tm1.1(EGFP/cre)Cys,
Lyz2tm1(cre)Ifo,
Mecomtm4.1(cre/ERT2)Aspe,
Mnx1tm4(cre)Tmj,
Msi2tm1.1(cre/ERT2)Reya,
Myf5tm3(cre)Sor,
Myh6em2(cre)Smoc,
Myocdtm1(cre)Dzw,
Myocdtm1(cre)Jomm,
Ndor1Tg(UBC-cre/ERT2)1Ejb,
Ndrg1tm1(cre/ERT2)Myan,
Nkx3-1tm4(cre/ERT2)Mms,
Nos1tm1.1(cre/ERT2)Zjh,
Notch1tm3(cre)Rko,
Nphs2tm1.1(icre)Ptb,
Npvftm1.1(icre)Gand,
Omptm4(cre)Mom,
Oprk1tm1.1(cre)Sros,
Osr1tm1(EGFP/cre/ERT2)Amc,
Osr2tm2(cre)Jian,
Oxtrtm3.1(Oxtr*,cre)Knis,
Pax3tm1(cre)Joe,
Pbx3tm1(EGFP/cre/ERT2)Wtsi,
Pdgfctm2.1(cre/ERT2)Hdin,
Pdgfratm1.1(EGFP/cre/ERT2)Hyma,
Piezo1em2(cre/ERT2)Smoc,
Plxnd1tm2(EGFP/cre/ERT2)Wtsi,
Pmelem1(rtTA,tetO-icre)Osaw,
Pms2tm2(cre)Lisk,
Prlrtm1.1(cre)Uboe,
Pscaem1(cre/ERT2)Smoc,
Pvalbtm1(cre)Arbr,
Ren1tm2(cre)Gom,
Shhtm1(EGFP/cre)Cjt,
Six1tm1(cre)Xli,
Slc12a3tm1(icre)Juha,
Slc17a6tm2(cre)Lowl,
Slc26a9em1(cre)Sms,
Sox17tm1(icre)Heli,
Sox17tm2.1(icre)Heli,
Sox17tm4.1(icre/ERT2)Heli,
Spink1tm3(cre)Kymm,
Sptbtm2(EGFP/cre/ERT2)Wtsi,
Ssttm2.1(cre)Zjh,
Taglntm2(cre)Yec,
Tfcp2l1tm1.1(cre/ERT2)Ovi,
Tg(ACTA1-cre)79Jme,
Tg(Acta2-cre)1Rkl,
Tg(Acta2-cre/ERT2)12Pcn,
Tg(Acta2-cre/ERT2)51Pcn,
Tg(ACTB-cre)1Tes,
Tg(Acvrl1-cre)B1Spo,
Tg(Acvrl1-cre)L1Spo,
Tg(Aire-cre)410-5Mmat,
Tg(Akr1b7-cre)1Anm,
Tg(Aldh1l1-cre/ERT2)02Kan,
Tg(Alx4-cre/ERT2)1Bky,
Tg(Amh-cre)8815Reb,
Tg(APOE-cre)VITew,
Tg(Aqp2-cre)1Dek,
Tg(AQP2-cre)2Dek,
Tg(Aqp2-icre)1Gsc,
Tg(ARR2/Pbsn-icre)58Atai,
Tg(ATP6V1B1-cre)45Rnel,
Tg(CAG-cre/Esr1*)1Lbe,
Tg(CAG-cre/Esr1*)5Amc,
Tg(CAG-cre/Esr1*)86Lbgn,
Tg(Camk2a-cre/ERT2)1Aibs,
Tg(Camk2a-cre)T29-1Stl,
Tg(CD2-icre)4Kio,
Tg(Cdh16-cre)91Igr,
Tg(Cdh16-cre/ERT2)24Igr,
Tg(Cdh16-cre/ERT2)F427Djmp,
Tg(Cdh5-cre)7Mlia,
Tg(Cdh5-cre/ERT2)CIVE23Mlia,
Tg(CDX2-cre)101Erf,
Tg(Cga-cre)3Sac,
Tg(Cited1-cre/ERT2,-EGFP)1Mdca,
Tg(Ckmm-cre)5Khn,
Tg(CLCNKB-cre)#Ttok,
Tg(CMV-cre)1Cgn,
Tg(Col1a2-cre)23Angl,
Tg(Col1a2-cre/ERT,-ALPP)7Cpd,
Tg(Csf1r-icre)1Jwp,
Tg(Cspg4-cre)1Rkl,
Tg(Cspg4-cre/Esr1*)BAkik,
Tg(Csrp1-cre)1Sjc,
Tg(Ctgf-cre)2Aibs,
Tg(Cyp17a1-icre)AJako,
Tg(Cyp1a1-cre)1Dwi,
Tg(Cyp1a1-cre/ERT)1Dwi,
Tg(Cyp39a1-cre)1Aibs,
Tg(Ddx4-cre)1Dcas,
Tg(Dll1-cre)33Dchp,
Tg(dlx5a-cre)1Mekk,
Tg(EIIa-cre)C5379Lmgd,
Tg(Elf5-cre/ERT2,-GFP)2Rcha,
Tg(Eno2-cre)26Fsky,
Tg(Eno2-cre)2Lfp,
Tg(Eno2-cre)39Jme,
Tg(Epo-cre)1Weng,
Tg(Epo-cre)241Weng,
Tg(Epo-cre)44Mym,
Tg(Epo-cre)#Weng,
Tg(Fabp1-cre-GH1)1Jig,
Tg(Fabp4-cre)1Rev,
Tg(Fev-cre)FF3Pasq,
Tg(Fev-cre)FF9Pasq,
Tg(Fev-cre)FM3Pasq,
Tg(Fzd9-cre)1Chzh,
Tg(Gata1-cre)1Sho,
Tg(GATA5-cre)1Krc,
Tg(GFAP-cre)25Mes,
Tg(Gfap-cre)73.12Mvs,
Tg(Gfap-cre)77.6Mvs,
Tg(GFAP-cre/Esr1*,-lacZ)ASbk,
Tg(GFAP-cre/Esr1*,-lacZ)BSbk,
Tg(Ggt1-cre/ERT2)1Pepe,
Tg(Ggt1-cre)M3Egn,
Tg(GH1-cre)1Sac,
Tg(Glp1r-icre)#Fmgb,
Tg(Grik4-cre)G32-4Stl,
Tg(Hoxb7-cre)13Amc,
Tg(Hoxb7-cre)1Rob,
Tg(Hoxb7-cre)5526Cmb,
Tg(Hoxb7-cre)5530Cmb,
Tg(Hoxb8-cre)1403Uze,
Tg(Hsp70-1-cre)6Arge,
Tg(Hspa2-cre)1Eddy,
Tg(Ins1-cre)25Utr,
Tg(Ins2-cre)25Mgn,
Tg(INS-icre)18Msdr,
Tg(Islr-cre/ERT2)#Tobe,
Tg(Itgax-cre)1-1Reiz,
Tg(Kap-cre)1Isa,
Tg(Kap-icre)29066/2Sig,
Tg(Kdr-cre)15962Brei,
Tg(KLK3-cre)13Saa,
Tg(KRT14-cre)1Amc,
Tg(KRT18-cre/ERT2)1Rgo,
Tg(Krt18-EGFP,Krt8-cre/ERT)HCmch,
Tg(KRT5-cre/ERT2)2Ipc,
Tg(KRT5-cre/ERT)ICmch,
Tg(KRT5-cre/ERT)SCmch,
Tg(Krt8-cre/ERT2,-GFP)1Xin,
Tg(Lck-icre)3779Nik,
Tg(Lhb-cre)1Sac,
Tg(Mafg-Nrf2/cre,-EGFP)737Hozu,
Tg(MMTV-cre)4Mam,
Tg(Mx1-cre)1Cgn,
Tg(Mx1-cre)29-4Her,
Tg(Myh11-cre)5013Gko,
Tg(Myh11-cre,-EGFP)2Mik,
Tg(Myh11-dre/ERT2)#Cya,
Tg(Myh11-icre/ERT2)1Soff,
Tg(Myh6-cre)2182Mds,
Tg(Nes-cre)1Atp,
Tg(Nes-cre)1Kln,
Tg(Neurog3-cre)C1Able,
Tg(Nphs1-cre)1Seq,
Tg(Nphs1-cre)33Mska,
Tg(Nphs2-cre)1Seq,
Tg(NPHS2-cre)295Lbh,
Tg(Nphs2-cre)#Anec,
Tg(NPHS2-cre/ERT2)#Mkas,
Tg(NPHS2-icre/ERT2)1Dnsh,
Tg(NPHS2-rtTA,tetO-cre)1Holt,
Tg(Osr1-cre)4Mrt,
Tg(Pax2-cre)10Shwl,
Tg(Pax2-cre)1Akg,
Tg(Pbsn-cre)20Fwan,
Tg(Pbsn-cre)4Prb,
Tg(Pcp2-cre)2Mpin,
Tg(Pdgfb-icre/ERT2,-EGFP)1Frut,
Tg(Pf4-icre)Q3Rsko,
Tg(Pkhd1-cre)1Igr,
Tg(Pomc1-cre)16Lowl,
Tg(Prdm1-cre)1Masu,
Tg(Prm-cre)58Og,
Tg(Prrx1-cre)1Cjt,
Tg(Rarb-cre)1Bhr,
Tg(Relb-cre)53Rie,
Tg(Ren1-cre)1Sjs,
Tg(Ren1-cre/ERT2)1Sjs,
Tg(REN-cre)1Haca,
Tg(Ren-cre)#Kwg,
Tg(Retnla-cre)#Voeh,
Tg(Rr291-cre)6-2Clou,
Tg(S100a4-cre)1Egn,
Tg(Scnn1a-cre)3Aibs,
Tg(Scx-cre)HShuk,
Tg(Sim1-cre)1Lowl,
Tg(Sim1-cre)#Lowl,
Tg(Six2-GFP/cre)1Amc,
Tg(Slc12a1-EGFP/cre)#Ruli,
Tg(Slc5a2-cre)1Tauc,
Tg(Slc5a2-cre)#Tka,
Tg(Sp7-cre/ERT2)#Hmk,
Tg(Sprr2f-cre)1Dcas,
Tg(Stra8-icre)1Reb,
Tg(Syn1-cre)671Jxm,
Tg(Tagln-cre)1Her,
Tg(Tagln-cre)1Jjl,
Tg(Tal1-cre/ERT)1Jrg,
Tg(Tal1-cre/ERT)42-056Jrg,
Tg(Tas2r143-cre/ERT2)#Soff,
Tg(Tbx18-icre)3Fech,
Tg(T-cre)1Lwd,
Tg(Tek-cre)12Flv,
Tg(Tek-cre)1Arnd,
Tg(Tek-cre)1Ywa,
Tg(Tek-cre)5326Sato,
Tg(Tek-cre/ERT2)1Arnd,
Tg(Tek-icre/ERT2)1Soff,
Tg(tetO-cre)LC1Bjd,
Tg(Tex101-icre)2Lzj,
Tg(Thy1-cre)1Vln,
Tg(Tie1-cre)9Ref,
Tg(Tmem100-EGFP/cre/ERT2)30Amc,
Tg(TNS4-cre)1Shlo,
Tg(TPO-cre)1Shk,
Tg(Tshb-cre)4Sac,
Tg(Ucp1-cre)1Evdr,
Tg(Umod-cre)1Dek,
Tg(Upk2-cre)1Rkl,
Tg(Upk2-cre)6Xrw,
Tg(Upk2-icre/ERT2)1Ccc,
Tg(Vav1-cre)1Awr,
Tg(Vav1-cre)8Cgp,
Tg(Vil1-cre)20Syr,
Tg(Vil1-cre)997Gum,
Tg(Wfs1-cre/ERT2)3Aibs,
Thtm1(cre)Te,
Tmprss2tm1.1(cre/ERT2)Ychen,
Tnctm1(cre/ERT2)Cmha,
Tnfrsf19tm1.1(cre/ERT2)Cle,
Trp63tm1.1(cre/ERT2)Jxu,
Trpm5tm1.1(cre)Uboe,
Trpv4em1(cre/ERT2)Amc,
Twist2tm1.1(cre)Dor,
Vdrem1(cre)Ssis,
Viptm1(cre)Zjh,
Vsx2tm2(EGFP/cre/ERT2)Wtsi,
Wt1tm1(EGFP/cre)Wtp,
Zfyve27tm1.1(cre/ERT2)Qaa
(less)
|
|
|
Images
|
Drag images to compare to others or to data in the table below. Drag corners to resize images for more detail.
Reset Images
|
|
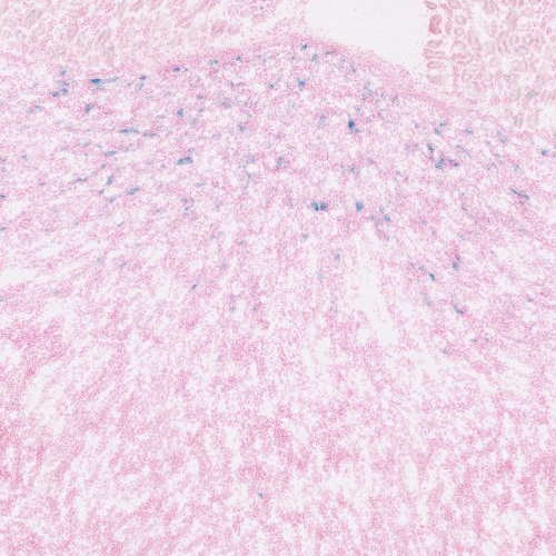
Recombinase Activity
|
Click heading to re-sort table.
Assays
Genotypic Background
Result Notes
|
|
References
|
|