|
|
|
Allele Information
|
|
Allele:
|
Lyve1tm1.1(EGFP/cre)Cys
lymphatic vessel endothelial hyaluronan receptor 1;
targeted mutation 1, Jason G Cyster
|
Driver: Lyve1
Type: Targeted
(Recombinase)
|
|
|
Synonym:
|
Lyve-1 Cre+, Lyve-1 EGFP-hCre
|
|
Molecular description:
|
An EGFP fused to a humanized cre (hCre) sequence and preceded by an internal ribosomal entry site (IRES) was inserted into the 3' UTR of the Lyve1 locus by homologous recombination in E14 ES cells. This construct was followed by an FRT-flanked neo selection cassette. Three successfully targeted clones were injected into C57BL/6 blastocysts and chimeras derived from clone 9 were bred to get germline transmission. The neo cassette was deleted in the germline with Flp recombinase. Selective GFP expression in nuclei of Lyve1 +ve cells is detected by antibody staining.
|
|
Find mice (IMSR):
|
Mouse Strains:
1
strain available
Cell Lines:
0 lines available
|
|
Additional Tissues:
|
Lyve1tm1.1(EGFP/cre)Cys activity also observed in:
adipose tissue,
cardiovascular system,
endocrine system,
head,
hemolymphoid system,
integumental system,
liver & biliary system,
muscle,
nervous system,
renal & urinary system,
reproductive system,
respiratory system,
sensory organs,
skeletal system
(less)
|
|
|
Tissue Information
|
|
Alimentary System
|
Other recombinase alleles with activity in Alimentary System tissues:
7630403G23RikTg(Th-cre)1Tmd,
A4gnttm1.1(cre/ERT2)Niba,
Abcg2tm1.1(cre/Esr1*)Jvbe,
Agrptm1(cre)Lowl,
Airetm3(cre)Mmat,
Aldh1b1tm1.1(cre/ERT2)Agav,
Aldh1l1em1(cre/ERT2)Nju,
Alpitm1.1(cre/ERT2)Cle,
Alpltm1(cre)Nagy,
Alx3em1(cre/ERT2)Lanyu,
Amhr2em1(cre/ERT2)Bult,
Amhr2tm3(cre)Bhr,
Anxa10tm1.1(cre/ERT2)Dstan,
Aplnrem3(cre/ERT2)Smoc,
Aqp5tm1.1(cre/ERT2)Niba,
Aqp5tm4.1(cre/ERT2)Niba,
Ascl3tm1(EGFP/cre)Ovi,
Atoh1tm1(cre)Gan,
Atoh8tm1(EGFP/cre)Gasa,
Aurkbtm1.1(cre/ERT2)Deli,
Axin2tm1.1(cre/ERT2)Niba,
Bhlha15tm3(cre/ERT2)Skz,
Bmi1tm1(cre/ERT)Mrc,
Calb2tm1(cre)Zjh,
Calhm1em1(cre)Marun,
Ccktm1.1(cre)Zjh,
Ccr2em1(mNeonGreen,cre)Cya,
Cd19tm1(cre)Cgn,
Cdh5em1(nigri)Bzsh,
Cdkn1cem2(cre/ERT2)Kei,
Cdkn2atm1.1(cre)Dvb,
Cdkn2atm1(cre/ERT2)Mkt,
Cfap126tm1.1(icre)Heli,
Chattm2(cre)Lowl,
Cldn18tm1.1(cre/ERT2)Geno,
Cldn6tm1(cre/ERT2)Dam,
Clec9atm2.1(icre)Crs,
Cluem1.1(cre/ERT2)Algr,
Clutm2(EGFP/cre/ERT2)Wtsi,
Col10a1tm2.1(cre)Ksec,
Commd10Tg(Vav1-icre)A2Kio,
Corttm1(cre)Zjh,
Cpa1tm1(cre/ERT2)Dam,
Crhtm1(cre)Zjh,
Crybb1em1(icre)Cln,
Cx3cr1tm1.1(cre)Jung,
Cx3cr1tm2.1(cre/ERT)Jung,
Dcpp1tm1.1(cre/ERT2)Ovi,
Ddx4em1(cre/ERT2)Utr,
Dmp1tm1(cre)Msue,
Dmp1tm2(EGFP/cre/ERT2)Wtsi,
Dpttm1.1(cre/ERT2)Snjt,
E2f1Tg(Wnt1-cre)2Sor,
Emx1tm1(cre)Krj,
En1tm2(cre)Wrst,
Epxem1(icre)Gpt,
Epxtm1.1(cre)Jlee,
Etv1tm1.1(cre/ERT2)Zjh,
Etv5tm1(cre/ERT2)Brst,
Fgf10tm2.1(cre/ERT2)Sbel,
Fgf15tm1.1(cre)Thor,
Fgf16tm1.1(cre)Sms,
Fgf18tm2.2(cre/ERT2)Dor,
Fgf21em1(cre)Mpot,
Flt4tm2.1(cre/ERT2)Sgo,
Foxa2tm1(cre/ERT2)Hssk,
Foxa2tm1(cre)Heli,
Foxa2tm2.1(cre/Esr1*)Moon,
Foxa2tm3.1(icre)Heli,
Foxd1tm1(GFP/cre)Amc,
Foxg1tm1(cre)Skm,
Foxl1tm2(cre/ERT2)Khk,
Foxl2tm1(GFP/cre/ERT2)Pzg,
Foxn1tm3(cre)Nrm,
Gad2tm2(cre)Zjh,
Gata4tm2(cre/ERT2)Ykaw,
Gcgem1(cre)Utr,
Gcgtm1.1(cre/ERT2)Yasu,
Gfi1tm1(cre)Gan,
Ghsrtm1.1(cre)Jmz,
Giprem1(icre)Reim,
Glp1rtm1.1(cre)Cors,
Gnao1tm2(EGFP/cre/ERT2)Wtsi,
Golm1tm2(EGFP/cre/ERT2)Wtsi,
Grhl3tm1(cre)Cgh,
Gt(ROSA)26Sortm14.1(Thy1-dre)Maoh,
Gt(ROSA)26Sortm1(cre/ERT2)Tyj,
Gt(ROSA)26Sortm1(cre/ERT)Brn,
Gt(ROSA)26Sortm2(cre/ERT2)Brn,
Gt(ROSA)26Sortm5(dre)Dwi,
Gt(ROSA)26Sortm6(dre/PGR*)Dwi,
Gt(ROSA)26Sortm8(CAG-dre/ERT2)Bzsh,
H2az2Tg(Wnt1-cre)11Rth,
Hand2em1(dre)Pjen,
HhatTg(TFAP2A-cre)1Will,
Hnf4atm1(cre)Sdv,
Hprt1tm1(CAG-cre)Mnn,
Hprt1tm1(TG-cre)1Sasr,
Hprt1tm364a(CAG-icre/ERT2)Ems,
Hsd11b2tm1(cre)Anft,
Ifi208Tg(Cspg4-cre)1Akik,
Igfbp5tm1(icre/ERT2)Murr,
Igs2tm1(Cdkn1a-cre/ERT2,-EGFP)Mxu,
Ihhem1(Tomm20/mKate2,dre)Xya,
Il17atm2.1(EGFP/cre/ERT2)Flv,
Il22tm1.1(icre)Stck,
Il25tm2.1(icre)Lky,
Il25tm3.1(cre/ERT2)Lky,
Ins1tm1.1(cre)Thor,
Ins1tm2.1(cre/ERT2)Thor,
Iqgap3tm2.1(cre/ERT2)Itoy,
Islrtm1.1(HBEGF,cre)Mat,
Islrtm2.1(cre/ERT2)Mat,
Itga8tm1.1(cre/ERT2)Jomm,
Kittm1.1(cre)Jmol,
Krt17tm1(cre)Murr,
Krt19tm1(cre/ERT)Ggu,
Krt19tm1(cre)Mmt,
Krt6aem1(icre)Vk,
Krt6aem2(icre/ERT2)Vk,
Leprtm2(cre)Rck,
Lgr4tm1.1(cre/ERT2)Npa,
Lgr5em1(cre/ERT2)Kba,
Lgr5tm1.1(cre/ERT2)Npa,
Lgr5tm1(cre/ERT2)Cle,
Lgr5tm3.1(cre/ERT2)Niba,
Lhx1tm1.1(icre)Rob,
Lrig1tm1.1(cre/ERT2)Rjc,
Lrig1tm1(cre/ERT2)Kjen,
Lrig1tm2.1(icre/ERT2)Mrc,
Ltftm1(icre)Tdku,
Ly6atm2.1(cre/Esr1*)Jmol,
Lyz1tm1.1(cre/ERT2)Ngao,
Lyz1tm2.1(cre/ERT2)Cle,
Lyz2tm1(cre)Ifo,
Mcm2tm1(cre/ERT2)Scpr,
Mfsd2aem1(cre/ERT2)Bzsh,
Mnx1tm4(cre)Tmj,
Msi1em1(cre/ERT2)Nju,
Msi2tm1.1(cre/ERT2)Reya,
Myf5tm3(cre)Sor,
Myocdtm1(cre)Dzw,
Ncr1tm1.1(icre)Viv,
Ndor1Tg(UBC-cre/ERT2)1Ejb,
Nkx1-2tm2296.1(cre/ERT2)Arte,
Nkx2-1tm1.1(cre/ERT2)Zjh,
Nkx2-2tm4.1(cre/EGFP)Suss,
Nkx2-5tm1(cre)Rjs,
Nkx2-5tm2(cre)Rph,
Nkx3-2tm1(cre)Wez,
Nkx3-2tm3.1(cre)Tlu,
Nkx3-2tm4.1(cre)Tlu,
Nmur1em1(icre)Hexu,
Nos1tm1.1(cre/ERT2)Zjh,
Notch1tm3(cre)Rko,
Notch1tm5(cre/ERT2)Rko,
Omptm4(cre)Mom,
Osr2tm2(cre)Jian,
P2rx2tm1.1(cre)Ttc,
P2ry12em1(icre/ERT2)Tda,
Pax3tm1(cre)Joe,
Pax7tm2.1(cre/ERT2)Fan,
Pbx3tm1(EGFP/cre/ERT2)Wtsi,
Pdgfctm2.1(cre/ERT2)Hdin,
Pdgfratm1.1(EGFP/cre/ERT2)Hyma,
Pdx1tm1.1(dre)Gkg,
Pdx1tm1.1(flpo)Most,
Pgctm1.1(cre/ERT2)Itoy,
Pgrtm2(cre)Lyd,
Piezo1em2(cre/ERT2)Smoc,
Piptm1.1(cre/ERT2)Ovi,
Plekha5Tg(AMH-cre)1Flor,
Plxnd1tm2(EGFP/cre/ERT2)Wtsi,
Pmelem1(rtTA,tetO-icre)Osaw,
Pms2tm2(cre)Lisk,
Pou2f3tm1.1(cre/ERT2)Imt,
Prdm1tm5.1(cre/ERT2)Rob,
Prlrtm1.1(cre)Uboe,
Prom1tm1.1(cre/ERT2)Cle,
Psmb11tm1.1(icre)Yout,
Ptf1atm1.1(cre)Cvw,
Ptf1atm1(flpo)Hcrd,
Pvalbtm1(cre)Arbr,
Rbpmsem1(cre/ERT2)Yzhe,
Rorcem1.1(cre/ERT2)Ayr,
Rtel1tm4.1(cre/ERT2)Hdin,
Runx1tm1(cre/Esr1*)Ims,
Setd4em1(cre)Wjy,
Setd4tm2.1(cre/ERT2)Wjy,
Sfta3tm1.1(cre/ERT2)Eem,
Shhtm1(EGFP/cre)Cjt,
Shhtm2(cre/ERT2)Cjt,
Shroom3Gt(ROSA53)Sor,
Six1tm1(cre)Xli,
Slc17a6tm2(cre)Lowl,
Slc26a9em1(cre)Sms,
Slc9a3tm1.1(cre/ERT2)Niba,
Slc9a3tm2.1(cre/ERT2)Niba,
Smoc2tm1(cre/ERT2)Cle,
Sox17tm1(icre)Heli,
Sox17tm2.1(icre)Heli,
Sox17tm4.1(icre/ERT2)Heli,
Sox2tm1.1(cre/ERT2)Jpmb,
Sox2tm1.1(cre/ERT2)Ykaw,
Spink1tm3(cre)Kymm,
Spp1tm1.1(cre/ERT2)Niba,
Sptbtm2(EGFP/cre/ERT2)Wtsi,
Ssttm2.1(cre)Zjh,
Stra8tm1(EGFP/cre/ERT2)Wtsi,
Taglntm1(cre/ERT2)Feil,
Taglntm2(cre)Yec,
Tas2r131tm2.1(cre)Uboe,
Tbx1tm1.1(cre/ERT2)Zzhg,
Tbx21tm1.1(cre/ERT2)Ayr,
Tbx21tm1.1(cre)Gmld,
Tcf7l1tm1.1(cre/ERT2)Hng,
Tekem1(dre)Bzsh,
Tektm1.1(icre/Esr1*)Hrr,
Tfcp2l1tm1.1(cre/ERT2)Ovi,
Tg(Acan-cre/ERT2,-luc)1Gbg,
Tg(Acp5-cre)3Rda,
Tg(Acp5-cre)4Rda,
Tg(ACTA1-cre)79Jme,
Tg(Acta2-cre/ERT2)12Pcn,
Tg(Acta2-cre/ERT2)1Tcw,
Tg(Acta2-cre/ERT2)51Pcn,
Tg(ACTB-cre)1Tes,
Tg(ACTC1-cre)1Miwa,
Tg(Actl6b-cre)4092Jiwu,
Tg(Acvrl1-cre)L1Spo,
Tg(ADGRG1-cre/ERT2)#Tcw,
Tg(Adipoq-cre)1Evdr,
Tg(Aicda-cre)1Rcas,
Tg(Aire-cre)410-5Mmat,
Tg(Alb1-cre)1Dlr,
Tg(Alb1-cre)1Khk,
Tg(Aldh1l1-cre/ERT2)02Kan,
Tg(AMELX-cre)A1Kul,
Tg(Amelx-icre)854Ppap,
Tg(Amelx-icre)863Ppap,
Tg(Amelx-icre)872Ppap,
Tg(Amelx-icre)876Ppap,
Tg(Amelx-icre)#Ppap,
Tg(Amh-cre)8815Reb,
Tg(Amy2-cre)1Herr,
Tg(Atp4b-cre)1Jig,
Tg(Atp4b-cre)3Xya,
Tg(ATP6V1B1-cre)45Rnel,
Tg(Avil-cre)1Phep,
Tg(Bmx-cre/ERT2)1Rha,
Tg(CA2-cre)1Subw,
Tg(CA2-cre/Esr1*)1Subw,
Tg(CAG-cre/Esr1*)1Lbe,
Tg(CAG-cre/Esr1*)5Amc,
Tg(CAG-cre/Esr1*)86Lbgn,
Tg(Camk2a-cre/ERT2)1Aibs,
Tg(Camk2a-cre)T29-1Stl,
Tg(Capn8-cre)1Xya,
Tg(Car1-cre)5Flt,
Tg(Cckbr-cre/ERT2)#Tcw,
Tg(CD2-icre)4Kio,
Tg(Cdh16-cre)91Igr,
Tg(Cdh5-cre)7Mlia,
Tg(Cdh5-cre/ERT2)CIVE23Mlia,
Tg(CDX2-cre)101Erf,
Tg(CDX2-cre*)189Erf,
Tg(Cdx2-cre)R337Npln,
Tg(Cela1-cre/ERT)1Lgdn,
Tg(Cela1-cre/ERT2)1Stof,
Tg(Cela1-cre/ERT)2Lgdn,
Tg(Chst4-cre)1Hkwa,
Tg(Ckmm-cre)5Khn,
Tg(CMA1-cre)6Thhe,
Tg(CMV-cre)1Cgn,
Tg(Col1a1-cre/ERT2)1Crm,
Tg(Col1a2-cre)23Angl,
Tg(Col1a2-cre/ERT,-ALPP)7Cpd,
Tg(Col2a1-cre)1Asz,
Tg(Col6a1-cre)1Gkl,
Tg(Csf1r-icre)1Jwp,
Tg(Cspg4-cre/Esr1*)BAkik,
Tg(Ctgf-cre)2Aibs,
Tg(Ctsk-cre)1Rda,
Tg(Ctsk-cre)8Rda,
Tg(Cyp1a1-cre)1Dwi,
Tg(Cyp1a1-cre/ERT)1Dwi,
Tg(Cyp39a1-cre)1Aibs,
Tg(DBH-cre)6-8Koba,
Tg(DBH-cre)9-9Koba,
Tg(Dbh-icre)1Gsc,
Tg(Dclk1-cre/ERT2)#Tcw,
Tg(Ddx4-cre)1Dcas,
Tg(Dhh-cre)1Mejr,
Tg(Dhh-cre/ERT2)1Heno,
Tg(Dll1-cre)33Dchp,
Tg(Dlx1-cre)RB27Gsat,
Tg(dlx5a-cre)1Mekk,
Tg(Dmp1-cre)1Jqfe,
Tg(Dspp-cre)1Kul,
Tg(ED-L2-cre)267Jkat,
Tg(EIIa-cre)C5379Lmgd,
Tg(Ela1-cre)16Eps,
Tg(Elf5-cre/ERT2,-GFP)2Rcha,
Tg(Eno2-cre)2Lfp,
Tg(Eno2-cre)39Jme,
Tg(Epcam-cre/ERT2)#Hmar,
Tg(Fabp1-cre)1Jig,
Tg(Fabp1-cre-GH1)1Jig,
Tg(Fabp4-cre)1Rev,
Tg(Fabp4-cre/ERT2)1Ipc,
Tgfb3tm1(cre)Vk,
Tg(Fev-cre)FF3Pasq,
Tg(Fev-cre)FF9Pasq,
Tg(Fev-cre)FM3Pasq,
Tg(Fgfr3-icre/ERT2)4-2Wdr,
Tg(Flt1-cre/ERT2)1Tmak,
Tg(Foxa2*-cre)#Mku,
Tg(Foxa3-cre)1Khk,
Tg(Foxl1-cre)1Khk,
Tg(Foxl1-cre/ERT2)#Khk,
Tg(Gcg-cre)1Herr,
Tg(Gcg-cre)1Slib,
Tg(Gcg-icre)12Fmgb,
Tg(Gcg-icre)23Cshi,
Tg(Gcg-icre/ERT2)9Reim,
Tg(GFAP-cre)25Mes,
Tg(Gfap-cre)73.12Mvs,
Tg(Gfap-cre)77.6Mvs,
Tg(GFAP-cre/Esr1*,-lacZ)ASbk,
Tg(GFAP-cre/Esr1*,-lacZ)BSbk,
Tg(Ghrl-cre)E7Jmz,
Tg(Ghrl-icre)#Weiz,
Tg(Gjb6-cre/ERT2)53-33Fwp,
Tg(Glp1r-icre)#Fmgb,
Tg(Grem1-cre/ERT)3Tcw,
Tg(Grik4-cre)G32-4Stl,
Tg(Hand2-cre)7-1Clou,
Tg(Hdnr-icre)5Phg,
Tg(Hhex-cre,-GFP)1Ksz,
Tg(Hoxa1-cre)1Tlu,
Tg(Hoxa5-cre)444CLjea,
Tg(Hoxa5-cre)447BLjea,
Tg(Hoxb3-cre)1Pkht,
Tg(Hoxb6-cre)C33Mku,
Tg(Hoxb7-cre)13Amc,
Tg(Hspa2-cre)1Eddy,
Tg(Il7-cre)CRche,
Tg(Ins1-cre)25Utr,
Tg(Ins1-cre,-DsRed*T3)#Caoy,
Tg(Ins1-cre/ERT)1Lphi,
Tg(Ins1-cre/ERT2)#Pesch,
Tg(Ins2-cre)23Herr,
Tg(Ins2-cre)25Mgn,
Tg(Ins2-cre/ERT)1Dam,
Tg(Ins2-tTA,tetO-cre)1Ctlh,
Tg(INS-icre)18Msdr,
Tg(Islr-cre/ERT2)#Tobe,
Tg(Itgax-cre)1-1Reiz,
Tg(Kdr-cre)15962Brei,
Tg(Krt1-15-cre/PGR*)22Cot,
Tg(Krt13-cre)139Gaff,
Tg(KRT14-cre)1Amc,
Tg(KRT14-cre)1Cgn,
Tg(KRT14-cre)1Efu,
Tg(KRT14-cre)1Ipc,
Tg(KRT14-cre)43Smr,
Tg(KRT14-cre)8Brn,
Tg(Krt17-cre)#Mjd,
Tg(Krt19-cre/ERT2)#Tcw,
Tg(Krt19-cre)#Tcw,
Tg(Krt19-icre)2Hirt,
Tg(Krt2-6a-cre)1Ism,
Tg(KRT5-cre)5132Jlj,
Tg(KRT5-cre/ERT2)2Blh,
Tg(KRT5-cre/ERT2)#Mym,
Tg(KRT5-cre/ERT)ICmch,
Tg(KRT5-cre/ERT)SCmch,
Tg(Krt8-cre/ERT2,-GFP)1Xin,
Tg(Lck-cre)548Jxm,
Tg(Lck-icre)3779Nik,
Tg(LTF-EGFP/cre/PGR)15Klin,
Tg(Lyve1-cre/ERT2)49Rtem,
Tg(Lyz1-cre/ERT2)#Ngao,
Tgm3tm2(EGFP/cre/ERT2)Wtsi,
Tg(Mafg-Nrf2/cre,-EGFP)737Hozu,
Tg(MMTV-cre)1Mam,
Tg(MMTV-cre)4Mam,
Tg(MMTV-flpo)11Gcr,
Tg(MMTV-flpo)29542Kuw,
Tg(MMTV-flpo)9Gcr,
Tg(Mnx1-cre/ERT2)8Rbro,
Tg(Mpz-cre)94Imeg,
Tg(Msx2-cre/ERT2)2Nono,
Tg(Mx1-cre)1Cgn,
Tg(Mx1-cre)29-4Her,
Tg(Myh11-cre)5013Gko,
Tg(Myh11-cre,-EGFP)2Mik,
Tg(Myh11-icre/ERT2)1Soff,
Tg(Myh6-cre)2182Mds,
Tg(MYOD1-cre)M23Glh,
Tg(Nes-cre)1Atp,
Tg(Nes-cre)1Kln,
Tg(Nes-cre/ERT2)73Lfp,
Tg(Neurod1-cre)1Able,
Tg(Neurod1-cre/ERT2)M1Fcal,
Tg(Neurog3-cre)1Dam,
Tg(NEUROG3-cre)1Herr,
Tg(Neurog3-cre)C1Able,
Tg(Neurog3-cre/ERT2)1Able,
Tg(Neurog3-cre/Esr1*)1Dam,
Tg(Nkx2-1-cre)2Sand,
Tg(Nkx2-5-cre)9Eno,
Tg(NKX2-5-cre)#Kyuhl,
Tg(NKX2-5*-cre)#Kyuhl,
Tg(Nmur1-icre,-EGFP)1Dart,
Tg(NPHS2-cre)295Lbh,
Tg(Nr5a1-cre)2Lowl,
Tg(Osr1-cre)4Mrt,
Tg(Pax4-cre)1Dam,
Tg(Pax6-cre)1Rilm,
Tg(Pax6-cre,GFP)1Pgr,
Tg(Pcp2-cre)2Mpin,
Tg(Pdgfb-icre/ERT2,-EGFP)1Frut,
Tg(Pdpn-cre)HRkl,
Tg(Pdx1-cre)1Herr,
Tg(Pdx1-cre)6Cvw,
Tg(Pdx1-cre)6Tuv,
Tg(Pdx1-cre)89.1Dam,
Tg(Pdx1-cre/Esr1*)1Mga,
Tg(Pdx1-cre/Esr1*)35.10Dam,
Tg(Pdx1-cre/Esr1*)35.6Dam,
Tg(Pdx1-cre/Esr1*)#Dam,
Tg(Pdx1-flpo)#Koli,
Tg(Pdx1-flpo)#Ybi,
Tg(Pf4-icre)Q3Rsko,
Tg(Pgk1-cre)1Lni,
Tg(Pitx3-cre/ERT2)1Yqd,
Tg(Pkd2l1-cre)#Csz,
Tg(Plp1-cre/ERT2)1Ueli,
Tg(Plp1-cre/ERT)3Pop,
Tg(Prdm1-cre)1Masu,
Tg(Prm-cre)58Og,
Tg(Prop1-icre)517Sac,
Tg(Prrx1-cre)1Cjt,
Tg(PTH-cre)4167Slib,
Tg(Relb-cre)53Rie,
Tg(Ren-cre)#Kwg,
Tg(Retnla-cre)#Voeh,
Tg(Rr291-cre)6-2Clou,
Tg(Rr355-cre)1Jlr,
Tg(rtetR-tetO-cre)40Mhz,
Tg(Runx1/Hspa1a-cre/ERT2)5-2Itoy,
Tg(Runx1/Hspa1a-cre/ERT2)#Itoy,
Tg(S100a4-cre)1Egn,
Tg(S100a4-flpo)3Lba,
Tg(Scnn1a-cre)3Aibs,
Tg(Scx-cre)HShuk,
Tg(Sema3a-cre)#Ryba,
Tg(Sftpa1-cre)1Xya,
Tg(Sim1-cre)1Lowl,
Tg(Six1-cre)2Kwk,
Tg(Smad7-cre)1Sjc,
Tg(Sox10-ERT2/cre/ERT2)17Sor,
Tg(Sox10-icre/ERT2)388Wdr,
Tg(Sp7-cre/ERT2)#Hmk,
Tg(Stab2-icre)1.2Cger,
Tg(Stra8-icre)1Reb,
Tg(Sycp1-cre)4Min,
Tg(Syn1-cre)671Jxm,
Tg(Tagln-cre)1Her,
Tg(Tagln-cre)1Jjl,
Tg(Tal1-cre/ERT)1Jrg,
Tg(Tal1-cre/ERT)42-056Jrg,
Tg(Tas2r105-EGFP/cre)#Feli,
Tg(Tas2r143-cre/ERT2)#Soff,
Tg(Tbx6-cre)#Rsam,
Tg(Tcfap2a-cre)1Will,
Tg(T-cre)1Lwd,
Tg(Tek-cre)12Flv,
Tg(Tek-cre)1Arnd,
Tg(Tek-cre)1Ywa,
Tg(Tek-cre)5326Sato,
Tg(Tek-cre/ERT2)1Arnd,
Tg(tetO-cre)1Jaw,
Tg(tetO-cre)3Jig,
Tg(Tff1-cre)1Kko,
Tg(Tff1-cre)2Kko,
Tg(Tff1-cre)#Kko,
Tg(Tff2-EGFP,-cre)3aTcw,
Tg(Tff2-Hbegf,-cre/ERT2)#Tcw,
Tg(Tg-cre)1Soff,
Tg(Tg-cre/ERT2)1Kero,
Tg(Thy1-cre)1Vln,
Tg(Thy1-cre)703Vaw,
Tg(Tlx2-cre)#Ymor,
Tg(Tnni3-cre/GFP)1Mknn,
Tg(TNS4-cre)1Shlo,
Tg(Tph1-EGFP/cre/ERT2)#Jmer,
Tg(TPO-cre)1Shk,
Tg(Tyr-cre)1Gfk,
Tg(Tyr-cre/ERT2)13Bos,
Tg(Tyrp1-cre)1Ipc,
Tg(Vav1-cre)1Cgp,
Tg(Vav1-cre)8Cgp,
Tg(Vil1-cre)1000Gum,
Tg(Vil1-cre)20Syr,
Tg(Vil1-cre)997Gum,
Tg(Vil1-cre/ERT2)23Syr,
Tg(Vil1-cre)#Gum,
Tg(Vil-cre)1Mka,
Tg(Wap-cre)11738Mam,
Tg(Wfs1-cre/ERT2)3Aibs,
Tg(Wnt11-cre/ERT2)1Jwng,
Tg(WT1-cre)AG11Dbdr,
Thtm1(cre)Te,
Tlr2tm1(cre)Dfil,
Tlx1tm1.1(cre/ERT2)Rygo,
Tmprss2tm1.1(cre/ERT2)Ychen,
Tnfrsf19tm1.1(cre/ERT2)Cle,
Trpa1tm1.1(cre)Kzim,
Trpc5tm1.1(cre)Dbru,
Trpm5tm1.1(cre)Uboe,
Trpv4em1(cre/ERT2)Amc,
Twist2tm1.1(cre)Dor,
Twist2tm1(cre/ERT2)Eno,
Uri1tm2.1(cre/ERT2)Ndj,
Vdrem1(cre)Ssis,
Vil1em1(flpo)Lbrl,
Viptm1(cre)Zjh,
Vsx2tm2(EGFP/cre/ERT2)Wtsi,
Wt1tm1(EGFP/cre)Wtp
(less)
|
|
|
Images
|
Drag images to compare to others or to data in the table below. Drag corners to resize images for more detail.
Reset Images
J:206504
Full Image
Fig. Lyve1 Gut P56
J:206504
Full Image
Fig. Lyve1 Intestine P56
J:206504
Full Image
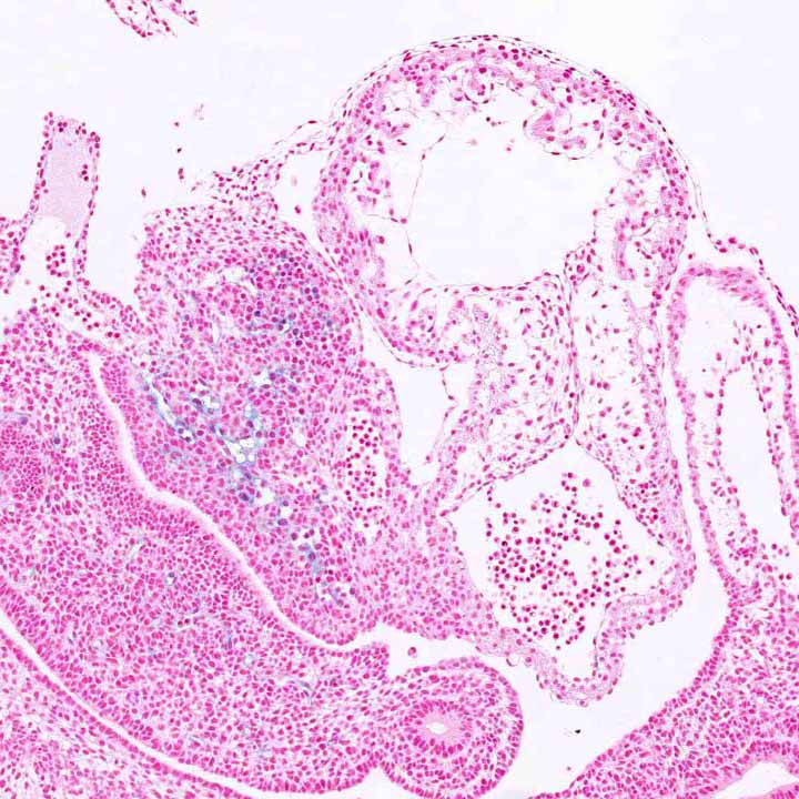
Fig. Lyve1 Liver E10.5
J:206504
Full Image
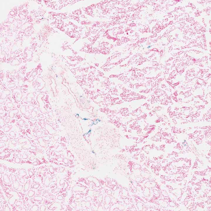
Fig. Lyve1 Pancreas P56
J:206504
Full Image
Fig. Lyve1 Salivary Gland P56
J:206504
Fig. Lyve1 wholemount E10.5
|
|
Recombinase Activity
|
Click heading to re-sort table.
Assays
Genotypic Background
Result Notes
|
|
References
|
|