|
|
|
Allele Information
|
|
Allele:
|
Foxd1tm1(GFP/cre)Amc
forkhead box D1;
targeted mutation 1, Andrew P McMahon
|
Driver: Foxd1
Type: Targeted
(Recombinase)
|
|
|
Synonym:
|
FoxD1-cre, Foxd1EGFPcre, Foxd1GC, FoxD1-GC, Foxd1GC, Foxd1-GFP-Cre
|
|
Molecular description:
|
A targeting vector was designed to insert an eGFP/cre (GC) fusion protein coding sequence and frt-flanked PGK-neob-pA selection cassette into the 5' untranslated region of the Forkhead box D1 (Foxd1) targeted gene.
|
|
Find mice (IMSR):
|
Mouse Strains:
1
strain available
Cell Lines:
0 lines available
|
|
Additional Tissues:
|
Foxd1tm1(GFP/cre)Amc activity also observed in:
adipose tissue,
alimentary system,
cardiovascular system,
cavities & their linings,
embryo-other,
endocrine system,
head,
hemolymphoid system,
integumental system,
mesenchyme,
muscle,
nervous system,
renal & urinary system,
respiratory system,
sensory organs,
skeletal system,
tail
(less)
|
|
|
Tissue Information
|
|
Reproductive System
|
Other recombinase alleles with activity in Reproductive System tissues:
Abcg2tm1.1(cre/Esr1*)Jvbe,
Agrptm1(cre)Lowl,
Alpltm1(cre)Nagy,
Amhr2em1(icre)Fjd,
Amhr2tm3(cre)Bhr,
Calb2tm1(cre)Zjh,
Ccktm1.1(cre)Zjh,
Cd19tm1(cre)Cgn,
Cdh5em1(cre/ERT2)Boz,
Cdkn2atm3(cre)Cjs,
Chattm2(cre)Lowl,
Clutm2(EGFP/cre/ERT2)Wtsi,
Commd10Tg(Vav1-icre)A2Kio,
Corttm1(cre)Zjh,
Crhtm1(cre)Zjh,
Ctsktm1(cre)Ska,
Cx3cr1tm2.1(cre/ERT2)Litt,
Cyp11a1tm1(GFP/cre)Pzg,
Ddx4em1(cre/ERT2)Utr,
Ddx4em1(icre)Jobo,
Ddx4tm1.1(cre)Dcp,
Dlx5tm1(cre/ERT2)Zjh,
Dmp1tm1(cre)Msue,
Dmp1tm2(EGFP/cre/ERT2)Wtsi,
Dpep3tm1(EGFP/cre/ERT2)Wtsi,
Dpttm1.1(cre/ERT2)Snjt,
E2f1Tg(Wnt1-cre)2Sor,
Elf5em1(cre)Jilu,
En1tm2(cre)Wrst,
Foxj1tm1.1(cre/ERT2/GFP)Htg,
Foxl2tm1.1(cre/ERT2)Kliu,
Foxl2tm1(GFP/cre/ERT2)Pzg,
Gad2tm2(cre)Zjh,
Gfra1tm4.1(cre/ERT2)Jmi,
Gnao1tm2(EGFP/cre/ERT2)Wtsi,
Golm1tm2(EGFP/cre/ERT2)Wtsi,
Gt(ROSA)26Sortm1.1(Acrv1-icre)Jcoc,
Gt(ROSA)26Sortm1.1(CAG-cre)Jphe,
Gt(ROSA)26Sortm1(BEST1-cre/ERT2)Vold,
Gt(ROSA)26Sortm1(cre/ERT2)Tyj,
Gt(ROSA)26Sortm1(cre/ERT)Nat,
Gt(ROSA)26Sortm1(FLP1)Dym,
Gt(ROSA)26Sortm2(icre/ERT2)Jphe,
H2az2Tg(Wnt1-cre)11Rth,
HhatTg(TFAP2A-cre)1Will,
Hic1tm2.1(cre/ERT2)Tmun,
Hnf4atm1(cre)Sdv,
Hprt1tm1(CAG-cre)Mnn,
Hprt1tm364a(CAG-icre/ERT2)Ems,
Hsd11b2tm1(cre)Anft,
Id4tm1(cre)Bcgen,
Ifi208Tg(Cspg4-cre)1Akik,
Igfbp5tm1(icre/ERT2)Murr,
Ihhem1(Tomm20/mKate2,dre)Xya,
Itga8tm1.1(cre/ERT2)Jomm,
Kittm1.1(cre)Jmol,
Kittm2.1(cre/Esr1*)Jmol,
Krt17tm1(cre)Murr,
Krt19tm1(cre)Mmt,
Krt4em1(cre/ERT2)Bcgen,
Krt7tm1(cre/ERT2)Que,
Lcn9em1(cre)Xys,
Leprtm2(cre)Rck,
Lgr5tm1(cre/ERT2)Cle,
Lhx9tm1.1(cre/ERT2)Gan,
Ltftm1(cre)Stw,
Ltftm1(icre)Tdku,
Lyve1tm1.1(EGFP/cre)Cys,
Lyz2tm1(cre)Ifo,
Mapttm1(cre)Nagy,
Mecomtm4.1(cre/ERT2)Aspe,
Mnx1tm4(cre)Tmj,
Ms4a3em2(cre)Fgnx,
Myf5tm3(cre)Sor,
Nanos2em2(cre)Jahe,
Ndor1Tg(UBC-cre/ERT2)1Ejb,
Nkx3-1tm4(cre/ERT2)Mms,
Npvftm1.1(icre)Gand,
Omptm4(cre)Mom,
Osr1tm1(EGFP/cre/ERT2)Amc,
Osr2tm2(cre)Jian,
Oxtrtm3.1(Oxtr*,cre)Knis,
Pax3tm1(cre)Joe,
Pbx3tm1(EGFP/cre/ERT2)Wtsi,
Pgrtm2(cre)Lyd,
Plekha5Tg(AMH-cre)1Flor,
Plvaptm1.1(cre/ERT2)Tng,
Plxnd1tm2(EGFP/cre/ERT2)Wtsi,
Pmelem1(rtTA,tetO-icre)Osaw,
Prlrtm1.1(cre)Uboe,
Prss29em1(cre/EGFP)Tesp,
Pscaem1(cre/ERT2)Smoc,
Pvalbtm1.1(cre)Aibs,
Pvalbtm1(cre)Arbr,
Rtel1tm4.1(cre/ERT2)Hdin,
Runx1tm1(cre/Esr1*)Ims,
Runx1tm2.1(cre/Esr1*)Ims,
Sall4tm1.1(EGFP/cre/ERT2)Ykawa,
Shhtm1(EGFP/cre)Cjt,
Six1tm1(cre)Xli,
Slc17a6tm2(cre)Lowl,
Sohlh1tm1.1(cre/ERT2)Kliu,
Sox17tm1(icre)Heli,
Sox17tm2.1(icre)Heli,
Sox17tm4.1(icre/ERT2)Heli,
Sptbtm2(EGFP/cre/ERT2)Wtsi,
Ssttm2.1(cre)Zjh,
Stra8tm1(EGFP/cre/ERT2)Wtsi,
Taglntm2(cre)Yec,
Tas2r131tm2.1(cre)Uboe,
Tcf21em1(cre/ERT2)Boz,
Tg(Abpa-cre)1Cmal,
Tg(ACTA1-cre)79Jme,
Tg(Acta2-cre/ERT2)12Pcn,
Tg(Acta2-cre/ERT2)51Pcn,
Tg(Acta2-cre/ERT2)#Pcn,
Tg(ACTB-cre)1Tes,
Tg(ACTFLPe)9205Dym,
Tg(Adipoq-cre)1Evdr,
Tg(Alb1-cre)1Dlr,
Tg(Alx4-cre/ERT2)1Bky,
Tg(Amh-cre)8815Reb,
Tg(AMH-cre)#Sinos,
Tg(Aqp2-cre)1Dek,
Tg(ARR2/Pbsn-icre)58Atai,
Tg(Atoh1-cre/Esr1*)14Fsh,
Tg(ATP6V1B1-cre)45Rnel,
Tg(Bmx-cre/ERT2)1Rha,
Tg(CAG-cre/Esr1*)1Lbe,
Tg(CAG-cre/Esr1*)5Amc,
Tg(Camk2a-cre)T29-1Stl,
Tg(CD2-icre)4Kio,
Tg(Cdh16-cre)91Igr,
Tg(Cdh5-cre)7Mlia,
Tg(Cdh5-cre/ERT2)CIVE23Mlia,
Tg(CDX2-cre)101Erf,
Tg(Cga-cre)3Sac,
Tg(Cga-icre)961Sac,
Tg(Chst4-cre)1Hkwa,
Tg(Ckmm-cre)5Khn,
Tg(Col1a1-cre/ERT2)1Crm,
Tg(Col1a2-cre/ERT,-ALPP)7Cpd,
Tg(Col2a1-cre/ERT)KA3Smac,
Tg(Cspg4-cre/Esr1*)BAkik,
Tg(Ctgf-cre)2Aibs,
Tg(Cyp11a1-cre)16Mchu,
Tg(Cyp17a1-icre)AJako,
Tg(CYP19A1-cre)1Jri,
Tg(Cyp19a1-cre)5909Gle,
Tg(Cyp19a1-cre)5912Gle,
Tg(Cyp39a1-cre)1Aibs,
Tg(Ddx4-cre)1Dcas,
Tg(Ddx4-cre)1Ptch,
Tg(Ddx4-cre/ERT2)1Dcas,
Tg(Dhh-cre)1Mejr,
Tg(dlx5a-cre)1Mekk,
Tg(DMRT1-cre)1Svs,
Tg(EIIa-cre)C5379Lmgd,
Tg(Elf5-cre/ERT2,-GFP)2Rcha,
Tg(Eno2-cre)2Lfp,
Tg(Eno2-cre)39Jme,
Tg(Fabp4-cre)1Abel,
Tg(Fabp4-cre)1Rev,
Tg(Figla-EGFP,-icre)ZP3Dean,
Tg(FOXJ1-cre)F26Htzm,
Tg(Fshr-cre)1Ldu,
Tg(Gata1-cre)1Sho,
Tg(Gcm1-cre)1Chrn,
Tg(Gdf9-icre)5092Coo,
Tg(GFAP-cre)25Mes,
Tg(Gfap-cre)73.12Mvs,
Tg(Gfap-cre)77.6Mvs,
Tg(GFAP-cre/Esr1*,-lacZ)ASbk,
Tg(GFAP-cre/Esr1*,-lacZ)BSbk,
Tg(GH1-cre)1Sac,
Tg(Gh1-cre)bKnmn,
Tg(Ghrl-cre)E7Jmz,
Tg(Grik4-cre)G32-4Stl,
Tg(Hoxa5-cre)444CLjea,
Tg(Hoxa5-cre)447BLjea,
Tg(Hoxb7-cre)13Amc,
Tg(Hsd17b1-icre/ERT2)3Casa,
Tg(Hspa2-cre)1Eddy,
Tg(Inha-cre)1Zuk,
Tg(Inha-cre)2Zuk,
Tg(Inha-cre)3Zuk,
Tg(Ins1-cre)25Utr,
Tg(Ins2-cre)25Mgn,
Tg(Islr-cre/ERT2)#Tobe,
Tg(Itga2b-cre)NE1/21Emam,
Tg(Itgax-cre)1-1Reiz,
Tg(Kap-icre)29066/2Sig,
Tg(Kera-cre)KC4.3Wwk,
Tg(Kit-cre)143Hmb,
Tg(KLK3-cre)13Saa,
Tg(Krt13-cre)139Gaff,
Tg(KRT14-cre)1Amc,
Tg(KRT14-cre)1Cgn,
Tg(KRT14-cre/ERT)20Efu,
Tg(KRT18-cre/ERT2)1Rgo,
Tg(Krt18-EGFP,Krt8-cre/ERT)HCmch,
Tg(KRT5-cre)5132Jlj,
Tg(KRT5-cre/ERT)ICmch,
Tg(KRT5-cre/ERT)SCmch,
Tg(Krt8-cre/ERT2,-GFP)1Xin,
Tg(Lck-cre)548Jxm,
Tg(Lck-icre)3779Nik,
Tg(Lcn5-cre/ERT2)#Sxie,
Tg(Lhb-cre)1Sac,
Tg(LTF-EGFP/cre/PGR)15Klin,
Tg(Mbp-cre)6Gvn,
Tg(Mbp-cre)9Gvn,
Tg(MMTV-cre)1Mam,
Tg(MMTV-cre)4Mam,
Tg(MMTV-cre)FMam,
Tg(Msx2-cre)5Rem,
Tg(Mx1-cre)1Cgn,
Tg(Mx1-cre)29-4Her,
Tg(Myh11-cre,-EGFP)2Mik,
Tg(Myh6-cre)2182Mds,
Tg(Nes-cre)1Atp,
Tg(Nes-cre)1Kln,
Tg(Neurog3-cre)24Syos,
Tg(Neurog3-cre)C1Able,
Tg(Neurog3-cre/Esr1*)1Dam,
Tg(NPHS2-cre)295Lbh,
Tg(Nr5a1-cre)1Kmor,
Tg(Nr5a1-cre)2Klp,
Tg(Nr5a1-cre)2Lowl,
Tg(Nr5a1-cre)7Lowl,
Tg(Osr1-cre)4Mrt,
Tg(Pax2-cre)10Shwl,
Tg(Pbsn-cre)20Fwan,
Tg(Pbsn-cre)4Prb,
Tg(Pcp2-cre)1Amc,
Tg(Pcp2-cre)2Mpin,
Tg(Pf4-icre)Q3Rsko,
Tg(Pgk2-cre)1Yna,
Tg(Plp1-cre/ERT)3Pop,
Tg(Pomc1-cre)16Lowl,
Tg(Prdm1-cre)1Masu,
Tg(Pres-cre)1Jnz,
Tg(Prm1-cre)1Osb,
Tg(Prm-cre)58Og,
Tg(Prnp-cre/ERT)28.8Ics,
Tg(Prrx1-cre)1Cjt,
Tg(Ptprc-cre)#Mez,
Tg(Rarb-cre)1Bhr,
Tg(RARE/Hspa1b-cre/ERT2)#Asc,
Tg(REN-cre)1Haca,
Tg(Retnla-cre)#Voeh,
Tg(Rxfp2-cre)1Aia,
Tg(Rxfp2-cre)5Aia,
Tg(S100a4-cre)1Egn,
Tg(Scnn1a-cre)3Aibs,
Tg(Scx-cre)HShuk,
Tg(Sim1-cre)1Lowl,
Tg(Slc26a5-cre)#Jnz,
Tg(Slco1c1-icre/ERT2)1Mash,
Tg(Sox3-cre/ERT2)#Syos,
Tg(Sprr2f-cre)1Dcas,
Tg(Sprr2f-cre)2Dcas,
Tg(Sry-cre)#Masi,
Tg(Stra8-icre)1Reb,
Tg(Sycp1-cre)4Min,
Tg(Syn1-cre)671Jxm,
Tg(Tagln-cre)1Her,
Tg(Tas2r105-EGFP/cre)#Feli,
Tg(Tas2r143-cre/ERT2)#Soff,
Tg(Tbx18-icre)3Fech,
Tg(Tek-cre)12Flv,
Tg(Tek-cre)1Ywa,
Tg(Tek-cre)5326Sato,
Tg(Tek-icre/ERT2)1Soff,
Tg(Tex101-icre)2Lzj,
Tg(Thy1-cre)1Vln,
Tg(Tie1-cre)9Ref,
Tg(Tmem100-EGFP/cre/ERT2)30Amc,
Tg(TNS4-cre)1Shlo,
Tg(Tshb-cre)4Sac,
Tg(TSPY1-cre)33aYfcl,
Tg(Ucp1-cre)1Evdr,
Tg(Vav1-cre)1Awr,
Tg(Vav1-cre)8Cgp,
Tg(Vil1-cre)20Syr,
Tg(Vil1-cre)997Gum,
Tg(Wfs1-cre/ERT2)3Aibs,
Tg(Wnt7a-EGFP/cre)#Bhr,
Tg(Zbtb16-mCherry,-cre/ERT2)#Rhob,
Tg(Zp3-cre)93Knw,
Thtm1(cre)Te,
Tmprss2tm1.1(cre/ERT2)Ychen,
Trp63tm1.1(cre/ERT2)Jxu,
Trpv4em1(cre/ERT2)Amc,
Ttm1(cre/ERT2)Hssk,
Twist2tm1.1(cre)Dor,
Viptm1(cre)Zjh,
Wt1tm1(EGFP/cre)Wtp
(less)
|
|
|
Images
|
Drag images to compare to others or to data in the table below. Drag corners to resize images for more detail.
Reset Images
|
|
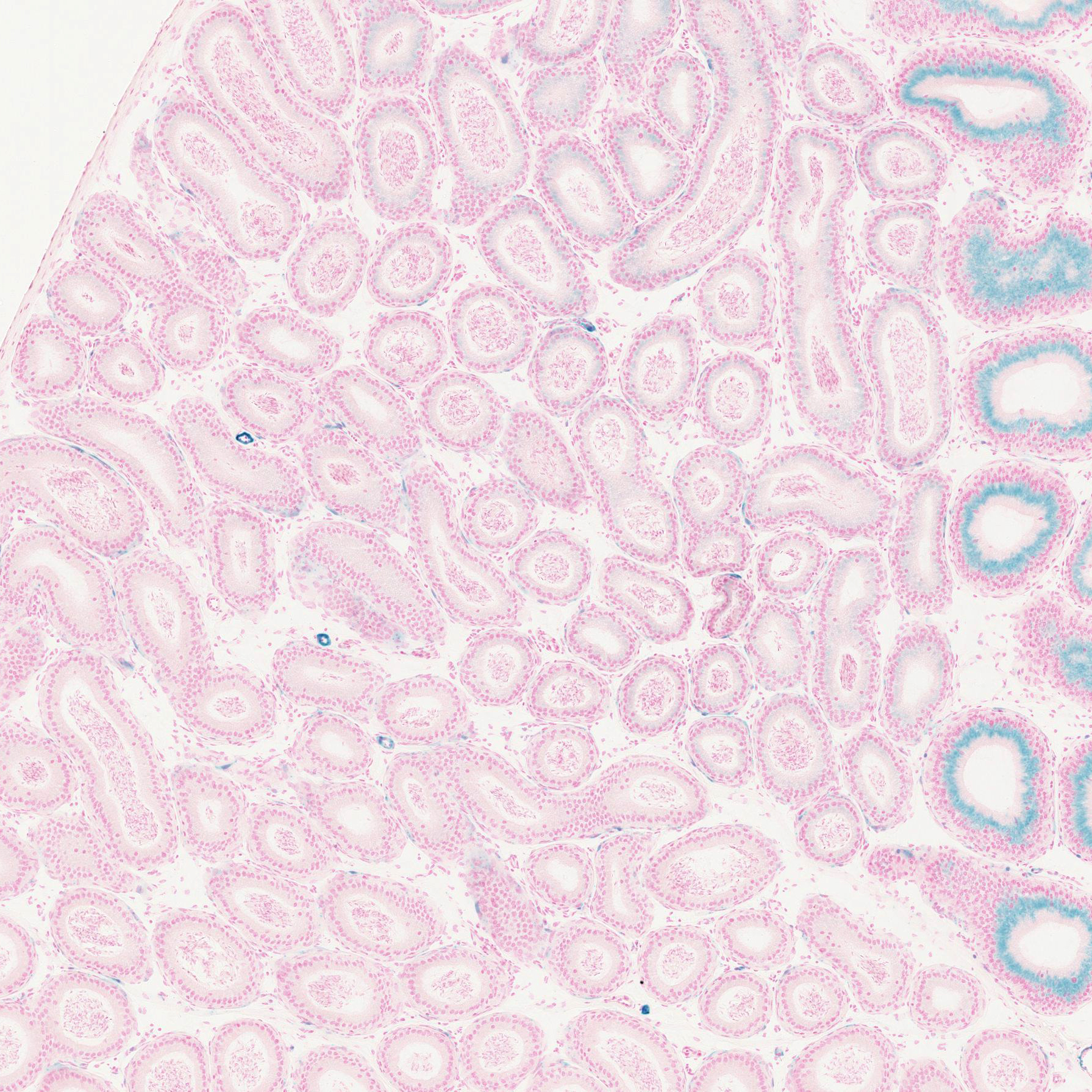
Recombinase Activity
|
Click heading to re-sort table.
Assays
Genotypic Background
Result Notes
|
|
References
|
|