|
|
|
Allele Information
|
|
Allele:
|
Tg(Ctgf-cre)2Aibs
transgene insertion 2, Ed Lein
|
Driver: Ccn2
Type: Transgenic
(Recombinase)
|
|
|
Synonym:
|
Ctgf-Tg2-Cre
|
|
Molecular description:
|
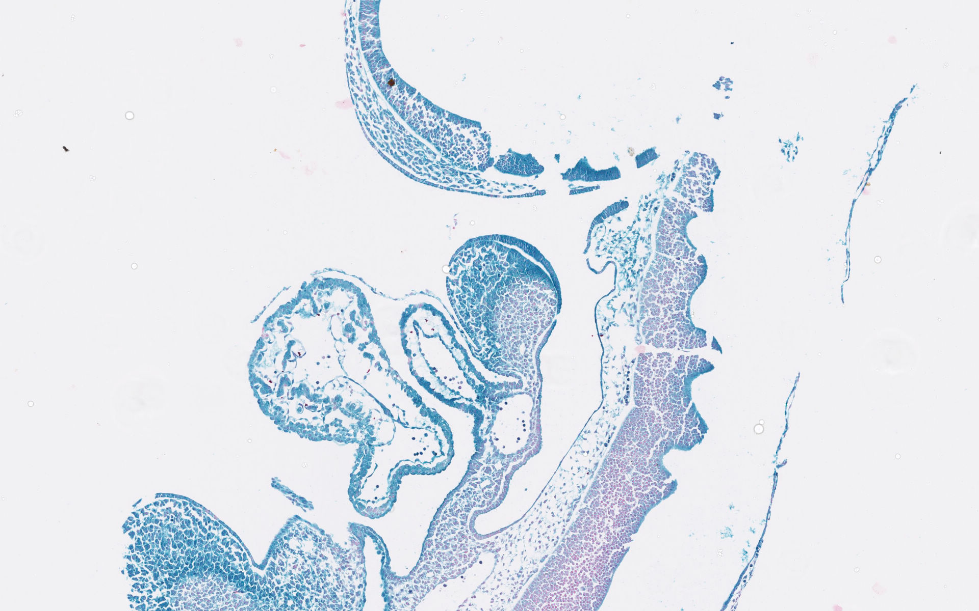
The 189 kb C57BL/6J mouse bacterial artificial chromosome (BAC) RP23-257E12, containing the entire Ctgf locus (and other genes), was modified by targeting a Cre recombinase coding sequence (the CreERT2 sequence modified back to encode the normal Cre recombinase gene), SV40 polyA signal, and frt-flanked neomycin cassette to the ATG start site of the Ctgf locus. The targeted BAC sequences were further modified using FLP recombination to remove the selection cassette and linearized to remove its original vector backbone. Cre expression is directed to cortex and hippocampus by the Ctgf promoter/enhancer regions within the BAC transgene.
|
|
Find mice (IMSR):
|
Mouse Strains:
1
strain available
Cell Lines:
0 lines available
|
|
Additional Tissues:
|
Tg(Ctgf-cre)2Aibs activity also observed in:
adipose tissue,
branchial arches,
cardiovascular system,
cavities & their linings,
embryo-other,
endocrine system,
head,
hemolymphoid system,
integumental system,
limbs,
liver & biliary system,
mesenchyme,
muscle,
nervous system,
renal & urinary system,
reproductive system,
respiratory system,
sensory organs,
skeletal system,
tail
(less)
|
|
|
Tissue Information
|
|
Alimentary System
|
Other recombinase alleles with activity in Alimentary System tissues:
7630403G23RikTg(Th-cre)1Tmd,
A4gnttm1.1(cre/ERT2)Niba,
Abcg2tm1.1(cre/Esr1*)Jvbe,
Agrptm1(cre)Lowl,
Airetm3(cre)Mmat,
Aldh1b1tm1.1(cre/ERT2)Agav,
Aldh1l1em1(cre/ERT2)Nju,
Alpitm1.1(cre/ERT2)Cle,
Alpltm1(cre)Nagy,
Alx3em1(cre/ERT2)Lanyu,
Amhr2em1(cre/ERT2)Bult,
Amhr2tm3(cre)Bhr,
Anxa10tm1.1(cre/ERT2)Dstan,
Aplnrem3(cre/ERT2)Smoc,
Aqp5tm1.1(cre/ERT2)Niba,
Aqp5tm4.1(cre/ERT2)Niba,
Ascl3tm1(EGFP/cre)Ovi,
Atoh1tm1(cre)Gan,
Atoh8tm1(EGFP/cre)Gasa,
Aurkbtm1.1(cre/ERT2)Deli,
Axin2tm1.1(cre/ERT2)Niba,
Bhlha15tm3(cre/ERT2)Skz,
Bmi1tm1(cre/ERT)Mrc,
Calb2tm1(cre)Zjh,
Calhm1em1(cre)Marun,
Ccktm1.1(cre)Zjh,
Ccr2em1(mNeonGreen,cre)Cya,
Cd19tm1(cre)Cgn,
Cdh5em1(nigri)Bzsh,
Cdkn1cem2(cre/ERT2)Kei,
Cdkn2atm1.1(cre)Dvb,
Cdkn2atm1(cre/ERT2)Mkt,
Cfap126tm1.1(icre)Heli,
Chattm2(cre)Lowl,
Cldn18tm1.1(cre/ERT2)Geno,
Cldn6tm1(cre/ERT2)Dam,
Clec9atm2.1(icre)Crs,
Cluem1.1(cre/ERT2)Algr,
Clutm2(EGFP/cre/ERT2)Wtsi,
Col10a1tm2.1(cre)Ksec,
Commd10Tg(Vav1-icre)A2Kio,
Corttm1(cre)Zjh,
Cpa1tm1(cre/ERT2)Dam,
Crhtm1(cre)Zjh,
Crybb1em1(icre)Cln,
Cx3cr1tm1.1(cre)Jung,
Cx3cr1tm2.1(cre/ERT)Jung,
Dcpp1tm1.1(cre/ERT2)Ovi,
Ddx4em1(cre/ERT2)Utr,
Dmp1tm1(cre)Msue,
Dmp1tm2(EGFP/cre/ERT2)Wtsi,
Dpttm1.1(cre/ERT2)Snjt,
E2f1Tg(Wnt1-cre)2Sor,
Emx1tm1(cre)Krj,
En1tm2(cre)Wrst,
Epxem1(icre)Gpt,
Epxtm1.1(cre)Jlee,
Etv1tm1.1(cre/ERT2)Zjh,
Etv5tm1(cre/ERT2)Brst,
Fgf10tm2.1(cre/ERT2)Sbel,
Fgf15tm1.1(cre)Thor,
Fgf16tm1.1(cre)Sms,
Fgf18tm2.2(cre/ERT2)Dor,
Fgf21em1(cre)Mpot,
Flt4tm2.1(cre/ERT2)Sgo,
Foxa2tm1(cre/ERT2)Hssk,
Foxa2tm1(cre)Heli,
Foxa2tm2.1(cre/Esr1*)Moon,
Foxa2tm3.1(icre)Heli,
Foxd1tm1(GFP/cre)Amc,
Foxg1tm1(cre)Skm,
Foxl1tm2(cre/ERT2)Khk,
Foxl2tm1(GFP/cre/ERT2)Pzg,
Foxn1tm3(cre)Nrm,
Gad2tm2(cre)Zjh,
Gata4tm2(cre/ERT2)Ykaw,
Gcgem1(cre)Utr,
Gcgtm1.1(cre/ERT2)Yasu,
Gfi1tm1(cre)Gan,
Ghsrtm1.1(cre)Jmz,
Giprem1(icre)Reim,
Glp1rtm1.1(cre)Cors,
Gnao1tm2(EGFP/cre/ERT2)Wtsi,
Golm1tm2(EGFP/cre/ERT2)Wtsi,
Grhl3tm1(cre)Cgh,
Gt(ROSA)26Sortm14.1(Thy1-dre)Maoh,
Gt(ROSA)26Sortm1(cre/ERT2)Tyj,
Gt(ROSA)26Sortm1(cre/ERT)Brn,
Gt(ROSA)26Sortm2(cre/ERT2)Brn,
Gt(ROSA)26Sortm5(dre)Dwi,
Gt(ROSA)26Sortm6(dre/PGR*)Dwi,
Gt(ROSA)26Sortm8(CAG-dre/ERT2)Bzsh,
H2az2Tg(Wnt1-cre)11Rth,
Hand2em1(dre)Pjen,
HhatTg(TFAP2A-cre)1Will,
Hnf4atm1(cre)Sdv,
Hprt1tm1(CAG-cre)Mnn,
Hprt1tm1(TG-cre)1Sasr,
Hprt1tm364a(CAG-icre/ERT2)Ems,
Hsd11b2tm1(cre)Anft,
Ifi208Tg(Cspg4-cre)1Akik,
Igfbp5tm1(icre/ERT2)Murr,
Igs2tm1(Cdkn1a-cre/ERT2,-EGFP)Mxu,
Ihhem1(Tomm20/mKate2,dre)Xya,
Il17atm2.1(EGFP/cre/ERT2)Flv,
Il22tm1.1(icre)Stck,
Il25tm2.1(icre)Lky,
Il25tm3.1(cre/ERT2)Lky,
Ins1tm1.1(cre)Thor,
Ins1tm2.1(cre/ERT2)Thor,
Iqgap3tm2.1(cre/ERT2)Itoy,
Islrtm1.1(HBEGF,cre)Mat,
Islrtm2.1(cre/ERT2)Mat,
Itga8tm1.1(cre/ERT2)Jomm,
Kittm1.1(cre)Jmol,
Krt17tm1(cre)Murr,
Krt19tm1(cre/ERT)Ggu,
Krt19tm1(cre)Mmt,
Krt6aem1(icre)Vk,
Krt6aem2(icre/ERT2)Vk,
Leprtm2(cre)Rck,
Lgr4tm1.1(cre/ERT2)Npa,
Lgr5em1(cre/ERT2)Kba,
Lgr5tm1.1(cre/ERT2)Npa,
Lgr5tm1(cre/ERT2)Cle,
Lgr5tm3.1(cre/ERT2)Niba,
Lhx1tm1.1(icre)Rob,
Lrig1tm1.1(cre/ERT2)Rjc,
Lrig1tm1(cre/ERT2)Kjen,
Lrig1tm2.1(icre/ERT2)Mrc,
Ltftm1(icre)Tdku,
Ly6atm2.1(cre/Esr1*)Jmol,
Lyve1tm1.1(EGFP/cre)Cys,
Lyz1tm1.1(cre/ERT2)Ngao,
Lyz1tm2.1(cre/ERT2)Cle,
Lyz2tm1(cre)Ifo,
Mcm2tm1(cre/ERT2)Scpr,
Mfsd2aem1(cre/ERT2)Bzsh,
Mnx1tm4(cre)Tmj,
Msi1em1(cre/ERT2)Nju,
Msi2tm1.1(cre/ERT2)Reya,
Myf5tm3(cre)Sor,
Myocdtm1(cre)Dzw,
Ncr1tm1.1(icre)Viv,
Ndor1Tg(UBC-cre/ERT2)1Ejb,
Nkx1-2tm2296.1(cre/ERT2)Arte,
Nkx2-1tm1.1(cre/ERT2)Zjh,
Nkx2-2tm4.1(cre/EGFP)Suss,
Nkx2-5tm1(cre)Rjs,
Nkx2-5tm2(cre)Rph,
Nkx3-2tm1(cre)Wez,
Nkx3-2tm3.1(cre)Tlu,
Nkx3-2tm4.1(cre)Tlu,
Nmur1em1(icre)Hexu,
Nos1tm1.1(cre/ERT2)Zjh,
Notch1tm3(cre)Rko,
Notch1tm5(cre/ERT2)Rko,
Omptm4(cre)Mom,
Osr2tm2(cre)Jian,
P2rx2tm1.1(cre)Ttc,
P2ry12em1(icre/ERT2)Tda,
Pax3tm1(cre)Joe,
Pax7tm2.1(cre/ERT2)Fan,
Pbx3tm1(EGFP/cre/ERT2)Wtsi,
Pdgfctm2.1(cre/ERT2)Hdin,
Pdgfratm1.1(EGFP/cre/ERT2)Hyma,
Pdx1tm1.1(dre)Gkg,
Pdx1tm1.1(flpo)Most,
Pgctm1.1(cre/ERT2)Itoy,
Pgrtm2(cre)Lyd,
Piezo1em2(cre/ERT2)Smoc,
Piptm1.1(cre/ERT2)Ovi,
Plekha5Tg(AMH-cre)1Flor,
Plxnd1tm2(EGFP/cre/ERT2)Wtsi,
Pmelem1(rtTA,tetO-icre)Osaw,
Pms2tm2(cre)Lisk,
Pou2f3tm1.1(cre/ERT2)Imt,
Prdm1tm5.1(cre/ERT2)Rob,
Prlrtm1.1(cre)Uboe,
Prom1tm1.1(cre/ERT2)Cle,
Psmb11tm1.1(icre)Yout,
Ptf1atm1.1(cre)Cvw,
Ptf1atm1(flpo)Hcrd,
Pvalbtm1(cre)Arbr,
Rbpmsem1(cre/ERT2)Yzhe,
Rorcem1.1(cre/ERT2)Ayr,
Rtel1tm4.1(cre/ERT2)Hdin,
Runx1tm1(cre/Esr1*)Ims,
Setd4em1(cre)Wjy,
Setd4tm2.1(cre/ERT2)Wjy,
Sfta3tm1.1(cre/ERT2)Eem,
Shhtm1(EGFP/cre)Cjt,
Shhtm2(cre/ERT2)Cjt,
Shroom3Gt(ROSA53)Sor,
Six1tm1(cre)Xli,
Slc17a6tm2(cre)Lowl,
Slc26a9em1(cre)Sms,
Slc9a3tm1.1(cre/ERT2)Niba,
Slc9a3tm2.1(cre/ERT2)Niba,
Smoc2tm1(cre/ERT2)Cle,
Sox17tm1(icre)Heli,
Sox17tm2.1(icre)Heli,
Sox17tm4.1(icre/ERT2)Heli,
Sox2tm1.1(cre/ERT2)Jpmb,
Sox2tm1.1(cre/ERT2)Ykaw,
Spink1tm3(cre)Kymm,
Spp1tm1.1(cre/ERT2)Niba,
Sptbtm2(EGFP/cre/ERT2)Wtsi,
Ssttm2.1(cre)Zjh,
Stra8tm1(EGFP/cre/ERT2)Wtsi,
Taglntm1(cre/ERT2)Feil,
Taglntm2(cre)Yec,
Tas2r131tm2.1(cre)Uboe,
Tbx1tm1.1(cre/ERT2)Zzhg,
Tbx21tm1.1(cre/ERT2)Ayr,
Tbx21tm1.1(cre)Gmld,
Tcf7l1tm1.1(cre/ERT2)Hng,
Tekem1(dre)Bzsh,
Tektm1.1(icre/Esr1*)Hrr,
Tfcp2l1tm1.1(cre/ERT2)Ovi,
Tg(Acan-cre/ERT2,-luc)1Gbg,
Tg(Acp5-cre)3Rda,
Tg(Acp5-cre)4Rda,
Tg(ACTA1-cre)79Jme,
Tg(Acta2-cre/ERT2)12Pcn,
Tg(Acta2-cre/ERT2)1Tcw,
Tg(Acta2-cre/ERT2)51Pcn,
Tg(ACTB-cre)1Tes,
Tg(ACTC1-cre)1Miwa,
Tg(Actl6b-cre)4092Jiwu,
Tg(Acvrl1-cre)L1Spo,
Tg(ADGRG1-cre/ERT2)#Tcw,
Tg(Adipoq-cre)1Evdr,
Tg(Aicda-cre)1Rcas,
Tg(Aire-cre)410-5Mmat,
Tg(Alb1-cre)1Dlr,
Tg(Alb1-cre)1Khk,
Tg(Aldh1l1-cre/ERT2)02Kan,
Tg(AMELX-cre)A1Kul,
Tg(Amelx-icre)854Ppap,
Tg(Amelx-icre)863Ppap,
Tg(Amelx-icre)872Ppap,
Tg(Amelx-icre)876Ppap,
Tg(Amelx-icre)#Ppap,
Tg(Amh-cre)8815Reb,
Tg(Amy2-cre)1Herr,
Tg(Atp4b-cre)1Jig,
Tg(Atp4b-cre)3Xya,
Tg(ATP6V1B1-cre)45Rnel,
Tg(Avil-cre)1Phep,
Tg(Bmx-cre/ERT2)1Rha,
Tg(CA2-cre)1Subw,
Tg(CA2-cre/Esr1*)1Subw,
Tg(CAG-cre/Esr1*)1Lbe,
Tg(CAG-cre/Esr1*)5Amc,
Tg(CAG-cre/Esr1*)86Lbgn,
Tg(Camk2a-cre/ERT2)1Aibs,
Tg(Camk2a-cre)T29-1Stl,
Tg(Capn8-cre)1Xya,
Tg(Car1-cre)5Flt,
Tg(Cckbr-cre/ERT2)#Tcw,
Tg(CD2-icre)4Kio,
Tg(Cdh16-cre)91Igr,
Tg(Cdh5-cre)7Mlia,
Tg(Cdh5-cre/ERT2)CIVE23Mlia,
Tg(CDX2-cre)101Erf,
Tg(CDX2-cre*)189Erf,
Tg(Cdx2-cre)R337Npln,
Tg(Cela1-cre/ERT)1Lgdn,
Tg(Cela1-cre/ERT2)1Stof,
Tg(Cela1-cre/ERT)2Lgdn,
Tg(Chst4-cre)1Hkwa,
Tg(Ckmm-cre)5Khn,
Tg(CMA1-cre)6Thhe,
Tg(CMV-cre)1Cgn,
Tg(Col1a1-cre/ERT2)1Crm,
Tg(Col1a2-cre)23Angl,
Tg(Col1a2-cre/ERT,-ALPP)7Cpd,
Tg(Col2a1-cre)1Asz,
Tg(Col6a1-cre)1Gkl,
Tg(Csf1r-icre)1Jwp,
Tg(Cspg4-cre/Esr1*)BAkik,
Tg(Ctsk-cre)1Rda,
Tg(Ctsk-cre)8Rda,
Tg(Cyp1a1-cre)1Dwi,
Tg(Cyp1a1-cre/ERT)1Dwi,
Tg(Cyp39a1-cre)1Aibs,
Tg(DBH-cre)6-8Koba,
Tg(DBH-cre)9-9Koba,
Tg(Dbh-icre)1Gsc,
Tg(Dclk1-cre/ERT2)#Tcw,
Tg(Ddx4-cre)1Dcas,
Tg(Dhh-cre)1Mejr,
Tg(Dhh-cre/ERT2)1Heno,
Tg(Dll1-cre)33Dchp,
Tg(Dlx1-cre)RB27Gsat,
Tg(dlx5a-cre)1Mekk,
Tg(Dmp1-cre)1Jqfe,
Tg(Dspp-cre)1Kul,
Tg(ED-L2-cre)267Jkat,
Tg(EIIa-cre)C5379Lmgd,
Tg(Ela1-cre)16Eps,
Tg(Elf5-cre/ERT2,-GFP)2Rcha,
Tg(Eno2-cre)2Lfp,
Tg(Eno2-cre)39Jme,
Tg(Epcam-cre/ERT2)#Hmar,
Tg(Fabp1-cre)1Jig,
Tg(Fabp1-cre-GH1)1Jig,
Tg(Fabp4-cre)1Rev,
Tg(Fabp4-cre/ERT2)1Ipc,
Tgfb3tm1(cre)Vk,
Tg(Fev-cre)FF3Pasq,
Tg(Fev-cre)FF9Pasq,
Tg(Fev-cre)FM3Pasq,
Tg(Fgfr3-icre/ERT2)4-2Wdr,
Tg(Flt1-cre/ERT2)1Tmak,
Tg(Foxa2*-cre)#Mku,
Tg(Foxa3-cre)1Khk,
Tg(Foxl1-cre)1Khk,
Tg(Foxl1-cre/ERT2)#Khk,
Tg(Gcg-cre)1Herr,
Tg(Gcg-cre)1Slib,
Tg(Gcg-icre)12Fmgb,
Tg(Gcg-icre)23Cshi,
Tg(Gcg-icre/ERT2)9Reim,
Tg(GFAP-cre)25Mes,
Tg(Gfap-cre)73.12Mvs,
Tg(Gfap-cre)77.6Mvs,
Tg(GFAP-cre/Esr1*,-lacZ)ASbk,
Tg(GFAP-cre/Esr1*,-lacZ)BSbk,
Tg(Ghrl-cre)E7Jmz,
Tg(Ghrl-icre)#Weiz,
Tg(Gjb6-cre/ERT2)53-33Fwp,
Tg(Glp1r-icre)#Fmgb,
Tg(Grem1-cre/ERT)3Tcw,
Tg(Grik4-cre)G32-4Stl,
Tg(Hand2-cre)7-1Clou,
Tg(Hdnr-icre)5Phg,
Tg(Hhex-cre,-GFP)1Ksz,
Tg(Hoxa1-cre)1Tlu,
Tg(Hoxa5-cre)444CLjea,
Tg(Hoxa5-cre)447BLjea,
Tg(Hoxb3-cre)1Pkht,
Tg(Hoxb6-cre)C33Mku,
Tg(Hoxb7-cre)13Amc,
Tg(Hspa2-cre)1Eddy,
Tg(Il7-cre)CRche,
Tg(Ins1-cre)25Utr,
Tg(Ins1-cre,-DsRed*T3)#Caoy,
Tg(Ins1-cre/ERT)1Lphi,
Tg(Ins1-cre/ERT2)#Pesch,
Tg(Ins2-cre)23Herr,
Tg(Ins2-cre)25Mgn,
Tg(Ins2-cre/ERT)1Dam,
Tg(Ins2-tTA,tetO-cre)1Ctlh,
Tg(INS-icre)18Msdr,
Tg(Islr-cre/ERT2)#Tobe,
Tg(Itgax-cre)1-1Reiz,
Tg(Kdr-cre)15962Brei,
Tg(Krt1-15-cre/PGR*)22Cot,
Tg(Krt13-cre)139Gaff,
Tg(KRT14-cre)1Amc,
Tg(KRT14-cre)1Cgn,
Tg(KRT14-cre)1Efu,
Tg(KRT14-cre)1Ipc,
Tg(KRT14-cre)43Smr,
Tg(KRT14-cre)8Brn,
Tg(Krt17-cre)#Mjd,
Tg(Krt19-cre/ERT2)#Tcw,
Tg(Krt19-cre)#Tcw,
Tg(Krt19-icre)2Hirt,
Tg(Krt2-6a-cre)1Ism,
Tg(KRT5-cre)5132Jlj,
Tg(KRT5-cre/ERT2)2Blh,
Tg(KRT5-cre/ERT2)#Mym,
Tg(KRT5-cre/ERT)ICmch,
Tg(KRT5-cre/ERT)SCmch,
Tg(Krt8-cre/ERT2,-GFP)1Xin,
Tg(Lck-cre)548Jxm,
Tg(Lck-icre)3779Nik,
Tg(LTF-EGFP/cre/PGR)15Klin,
Tg(Lyve1-cre/ERT2)49Rtem,
Tg(Lyz1-cre/ERT2)#Ngao,
Tgm3tm2(EGFP/cre/ERT2)Wtsi,
Tg(Mafg-Nrf2/cre,-EGFP)737Hozu,
Tg(MMTV-cre)1Mam,
Tg(MMTV-cre)4Mam,
Tg(MMTV-flpo)11Gcr,
Tg(MMTV-flpo)29542Kuw,
Tg(MMTV-flpo)9Gcr,
Tg(Mnx1-cre/ERT2)8Rbro,
Tg(Mpz-cre)94Imeg,
Tg(Msx2-cre/ERT2)2Nono,
Tg(Mx1-cre)1Cgn,
Tg(Mx1-cre)29-4Her,
Tg(Myh11-cre)5013Gko,
Tg(Myh11-cre,-EGFP)2Mik,
Tg(Myh11-icre/ERT2)1Soff,
Tg(Myh6-cre)2182Mds,
Tg(MYOD1-cre)M23Glh,
Tg(Nes-cre)1Atp,
Tg(Nes-cre)1Kln,
Tg(Nes-cre/ERT2)73Lfp,
Tg(Neurod1-cre)1Able,
Tg(Neurod1-cre/ERT2)M1Fcal,
Tg(Neurog3-cre)1Dam,
Tg(NEUROG3-cre)1Herr,
Tg(Neurog3-cre)C1Able,
Tg(Neurog3-cre/ERT2)1Able,
Tg(Neurog3-cre/Esr1*)1Dam,
Tg(Nkx2-1-cre)2Sand,
Tg(Nkx2-5-cre)9Eno,
Tg(NKX2-5-cre)#Kyuhl,
Tg(NKX2-5*-cre)#Kyuhl,
Tg(Nmur1-icre,-EGFP)1Dart,
Tg(NPHS2-cre)295Lbh,
Tg(Nr5a1-cre)2Lowl,
Tg(Osr1-cre)4Mrt,
Tg(Pax4-cre)1Dam,
Tg(Pax6-cre)1Rilm,
Tg(Pax6-cre,GFP)1Pgr,
Tg(Pcp2-cre)2Mpin,
Tg(Pdgfb-icre/ERT2,-EGFP)1Frut,
Tg(Pdpn-cre)HRkl,
Tg(Pdx1-cre)1Herr,
Tg(Pdx1-cre)6Cvw,
Tg(Pdx1-cre)6Tuv,
Tg(Pdx1-cre)89.1Dam,
Tg(Pdx1-cre/Esr1*)1Mga,
Tg(Pdx1-cre/Esr1*)35.10Dam,
Tg(Pdx1-cre/Esr1*)35.6Dam,
Tg(Pdx1-cre/Esr1*)#Dam,
Tg(Pdx1-flpo)#Koli,
Tg(Pdx1-flpo)#Ybi,
Tg(Pf4-icre)Q3Rsko,
Tg(Pgk1-cre)1Lni,
Tg(Pitx3-cre/ERT2)1Yqd,
Tg(Pkd2l1-cre)#Csz,
Tg(Plp1-cre/ERT2)1Ueli,
Tg(Plp1-cre/ERT)3Pop,
Tg(Prdm1-cre)1Masu,
Tg(Prm-cre)58Og,
Tg(Prop1-icre)517Sac,
Tg(Prrx1-cre)1Cjt,
Tg(PTH-cre)4167Slib,
Tg(Relb-cre)53Rie,
Tg(Ren-cre)#Kwg,
Tg(Retnla-cre)#Voeh,
Tg(Rr291-cre)6-2Clou,
Tg(Rr355-cre)1Jlr,
Tg(rtetR-tetO-cre)40Mhz,
Tg(Runx1/Hspa1a-cre/ERT2)5-2Itoy,
Tg(Runx1/Hspa1a-cre/ERT2)#Itoy,
Tg(S100a4-cre)1Egn,
Tg(S100a4-flpo)3Lba,
Tg(Scnn1a-cre)3Aibs,
Tg(Scx-cre)HShuk,
Tg(Sema3a-cre)#Ryba,
Tg(Sftpa1-cre)1Xya,
Tg(Sim1-cre)1Lowl,
Tg(Six1-cre)2Kwk,
Tg(Smad7-cre)1Sjc,
Tg(Sox10-ERT2/cre/ERT2)17Sor,
Tg(Sox10-icre/ERT2)388Wdr,
Tg(Sp7-cre/ERT2)#Hmk,
Tg(Stab2-icre)1.2Cger,
Tg(Stra8-icre)1Reb,
Tg(Sycp1-cre)4Min,
Tg(Syn1-cre)671Jxm,
Tg(Tagln-cre)1Her,
Tg(Tagln-cre)1Jjl,
Tg(Tal1-cre/ERT)1Jrg,
Tg(Tal1-cre/ERT)42-056Jrg,
Tg(Tas2r105-EGFP/cre)#Feli,
Tg(Tas2r143-cre/ERT2)#Soff,
Tg(Tbx6-cre)#Rsam,
Tg(Tcfap2a-cre)1Will,
Tg(T-cre)1Lwd,
Tg(Tek-cre)12Flv,
Tg(Tek-cre)1Arnd,
Tg(Tek-cre)1Ywa,
Tg(Tek-cre)5326Sato,
Tg(Tek-cre/ERT2)1Arnd,
Tg(tetO-cre)1Jaw,
Tg(tetO-cre)3Jig,
Tg(Tff1-cre)1Kko,
Tg(Tff1-cre)2Kko,
Tg(Tff1-cre)#Kko,
Tg(Tff2-EGFP,-cre)3aTcw,
Tg(Tff2-Hbegf,-cre/ERT2)#Tcw,
Tg(Tg-cre)1Soff,
Tg(Tg-cre/ERT2)1Kero,
Tg(Thy1-cre)1Vln,
Tg(Thy1-cre)703Vaw,
Tg(Tlx2-cre)#Ymor,
Tg(Tnni3-cre/GFP)1Mknn,
Tg(TNS4-cre)1Shlo,
Tg(Tph1-EGFP/cre/ERT2)#Jmer,
Tg(TPO-cre)1Shk,
Tg(Tyr-cre)1Gfk,
Tg(Tyr-cre/ERT2)13Bos,
Tg(Tyrp1-cre)1Ipc,
Tg(Vav1-cre)1Cgp,
Tg(Vav1-cre)8Cgp,
Tg(Vil1-cre)1000Gum,
Tg(Vil1-cre)20Syr,
Tg(Vil1-cre)997Gum,
Tg(Vil1-cre/ERT2)23Syr,
Tg(Vil1-cre)#Gum,
Tg(Vil-cre)1Mka,
Tg(Wap-cre)11738Mam,
Tg(Wfs1-cre/ERT2)3Aibs,
Tg(Wnt11-cre/ERT2)1Jwng,
Tg(WT1-cre)AG11Dbdr,
Thtm1(cre)Te,
Tlr2tm1(cre)Dfil,
Tlx1tm1.1(cre/ERT2)Rygo,
Tmprss2tm1.1(cre/ERT2)Ychen,
Tnfrsf19tm1.1(cre/ERT2)Cle,
Trpa1tm1.1(cre)Kzim,
Trpc5tm1.1(cre)Dbru,
Trpm5tm1.1(cre)Uboe,
Trpv4em1(cre/ERT2)Amc,
Twist2tm1.1(cre)Dor,
Twist2tm1(cre/ERT2)Eno,
Uri1tm2.1(cre/ERT2)Ndj,
Vdrem1(cre)Ssis,
Vil1em1(flpo)Lbrl,
Viptm1(cre)Zjh,
Vsx2tm2(EGFP/cre/ERT2)Wtsi,
Wt1tm1(EGFP/cre)Wtp
(less)
|
|
|
Images
|
Drag images to compare to others or to data in the table below. Drag corners to resize images for more detail.
Reset Images
|
|
Recombinase Activity
|
Click heading to re-sort table.
Assays
Genotypic Background
Result Notes
|
|
References
|
|