|
Allele Information
|
|
Allele:
|
Tg(Tek-cre)1Ywa
transgene insertion 1, Masashi Yanagisawa
|
Driver: Tek
Type: Transgenic
(Hypomorph, Recombinase)
|
|
|
Synonym:
|
T2Cre, TekCre, Tie-2 Cre, Tie2-Cre, Tie2Cre, Tie2Cre+
|
|
Molecular description:
|
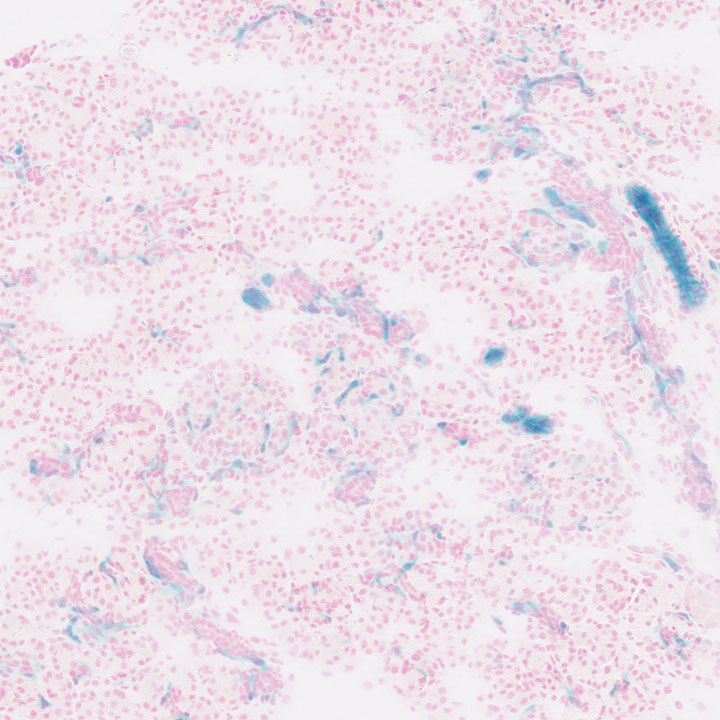
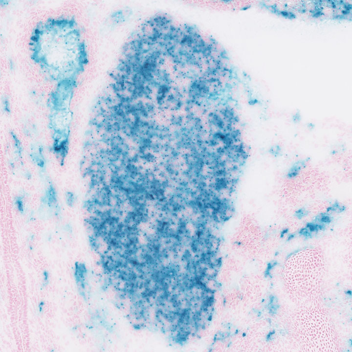
This transgene expresses Cre recombinase under the control of a mouse Tek promoter and enhancer. This promoter is active in endothelial cells. Insertion within intron 1 of Sorcs2 results in the 204 bp deletion (36382105 to 36382309 on mouse chromosome 5; GRCm37/mm9 genome build) leading to reduced and variable expression.
|
|
Find mice (IMSR):
|
Mouse Strains:
7
strains available
Cell Lines:
0 lines available
|
|
Additional Tissues:
|
Tg(Tek-cre)1Ywa activity also observed in:
adipose tissue,
branchial arches,
cardiovascular system,
cavities & their linings,
endocrine system,
extraembryonic component,
head,
hemolymphoid system,
integumental system,
limbs,
liver & biliary system,
mesenchyme,
mouse-other,
muscle,
nervous system,
renal & urinary system,
reproductive system,
respiratory system,
sensory organs,
skeletal system
(less)
|
|
|
Tissue Information
|
|
Alimentary System
|
Other recombinase alleles with activity in Alimentary System tissues:
7630403G23RikTg(Th-cre)1Tmd,
A4gnttm1.1(cre/ERT2)Niba,
Abcg2tm1.1(cre/Esr1*)Jvbe,
Agrptm1(cre)Lowl,
Airetm3(cre)Mmat,
Aldh1b1tm1.1(cre/ERT2)Agav,
Aldh1l1em1(cre/ERT2)Nju,
Alpitm1.1(cre/ERT2)Cle,
Alpltm1(cre)Nagy,
Alx3em1(cre/ERT2)Lanyu,
Amhr2em1(cre/ERT2)Bult,
Amhr2tm3(cre)Bhr,
Anxa10tm1.1(cre/ERT2)Dstan,
Aplnrem3(cre/ERT2)Smoc,
Aqp5tm1.1(cre/ERT2)Niba,
Aqp5tm4.1(cre/ERT2)Niba,
Ascl3tm1(EGFP/cre)Ovi,
Atoh1tm1(cre)Gan,
Atoh8tm1(EGFP/cre)Gasa,
Aurkbtm1.1(cre/ERT2)Deli,
Axin2tm1.1(cre/ERT2)Niba,
Bhlha15tm3(cre/ERT2)Skz,
Bmi1tm1(cre/ERT)Mrc,
Calb2tm1(cre)Zjh,
Calhm1em1(cre)Marun,
Ccktm1.1(cre)Zjh,
Ccr2em1(mNeonGreen,cre)Cya,
Cd19tm1(cre)Cgn,
Cdh5em1(nigri)Bzsh,
Cdkn1cem2(cre/ERT2)Kei,
Cdkn2atm1.1(cre)Dvb,
Cdkn2atm1(cre/ERT2)Mkt,
Cfap126tm1.1(icre)Heli,
Chattm2(cre)Lowl,
Cldn18tm1.1(cre/ERT2)Geno,
Cldn6tm1(cre/ERT2)Dam,
Clec9atm2.1(icre)Crs,
Cluem1.1(cre/ERT2)Algr,
Clutm2(EGFP/cre/ERT2)Wtsi,
Col10a1tm2.1(cre)Ksec,
Commd10Tg(Vav1-icre)A2Kio,
Corttm1(cre)Zjh,
Cpa1tm1(cre/ERT2)Dam,
Crhtm1(cre)Zjh,
Crybb1em1(icre)Cln,
Cx3cr1tm1.1(cre)Jung,
Cx3cr1tm2.1(cre/ERT)Jung,
Dcpp1tm1.1(cre/ERT2)Ovi,
Ddx4em1(cre/ERT2)Utr,
Dmp1tm1(cre)Msue,
Dmp1tm2(EGFP/cre/ERT2)Wtsi,
Dpttm1.1(cre/ERT2)Snjt,
E2f1Tg(Wnt1-cre)2Sor,
Emx1tm1(cre)Krj,
En1tm2(cre)Wrst,
Epxem1(icre)Gpt,
Epxtm1.1(cre)Jlee,
Etv1tm1.1(cre/ERT2)Zjh,
Etv5tm1(cre/ERT2)Brst,
Fgf10tm2.1(cre/ERT2)Sbel,
Fgf15tm1.1(cre)Thor,
Fgf16tm1.1(cre)Sms,
Fgf18tm2.2(cre/ERT2)Dor,
Fgf21em1(cre)Mpot,
Flt4tm2.1(cre/ERT2)Sgo,
Foxa2tm1(cre/ERT2)Hssk,
Foxa2tm1(cre)Heli,
Foxa2tm2.1(cre/Esr1*)Moon,
Foxa2tm3.1(icre)Heli,
Foxd1tm1(GFP/cre)Amc,
Foxg1tm1(cre)Skm,
Foxl1tm2(cre/ERT2)Khk,
Foxl2tm1(GFP/cre/ERT2)Pzg,
Foxn1tm3(cre)Nrm,
Gad2tm2(cre)Zjh,
Gata4tm2(cre/ERT2)Ykaw,
Gcgem1(cre)Utr,
Gcgtm1.1(cre/ERT2)Yasu,
Gfi1tm1(cre)Gan,
Ghsrtm1.1(cre)Jmz,
Giprem1(icre)Reim,
Glp1rtm1.1(cre)Cors,
Gnao1tm2(EGFP/cre/ERT2)Wtsi,
Golm1tm2(EGFP/cre/ERT2)Wtsi,
Grhl3tm1(cre)Cgh,
Gt(ROSA)26Sortm14.1(Thy1-dre)Maoh,
Gt(ROSA)26Sortm1(cre/ERT2)Tyj,
Gt(ROSA)26Sortm1(cre/ERT)Brn,
Gt(ROSA)26Sortm2(cre/ERT2)Brn,
Gt(ROSA)26Sortm5(dre)Dwi,
Gt(ROSA)26Sortm6(dre/PGR*)Dwi,
Gt(ROSA)26Sortm8(CAG-dre/ERT2)Bzsh,
H2az2Tg(Wnt1-cre)11Rth,
Hand2em1(dre)Pjen,
HhatTg(TFAP2A-cre)1Will,
Hnf4atm1(cre)Sdv,
Hprt1tm1(CAG-cre)Mnn,
Hprt1tm1(TG-cre)1Sasr,
Hprt1tm364a(CAG-icre/ERT2)Ems,
Hsd11b2tm1(cre)Anft,
Ifi208Tg(Cspg4-cre)1Akik,
Igfbp5tm1(icre/ERT2)Murr,
Igs2tm1(Cdkn1a-cre/ERT2,-EGFP)Mxu,
Ihhem1(Tomm20/mKate2,dre)Xya,
Il17atm2.1(EGFP/cre/ERT2)Flv,
Il22tm1.1(icre)Stck,
Il25tm2.1(icre)Lky,
Il25tm3.1(cre/ERT2)Lky,
Ins1tm1.1(cre)Thor,
Ins1tm2.1(cre/ERT2)Thor,
Iqgap3tm2.1(cre/ERT2)Itoy,
Islrtm1.1(HBEGF,cre)Mat,
Islrtm2.1(cre/ERT2)Mat,
Itga8tm1.1(cre/ERT2)Jomm,
Kittm1.1(cre)Jmol,
Krt17tm1(cre)Murr,
Krt19tm1(cre/ERT)Ggu,
Krt19tm1(cre)Mmt,
Krt6aem1(icre)Vk,
Krt6aem2(icre/ERT2)Vk,
Leprtm2(cre)Rck,
Lgr4tm1.1(cre/ERT2)Npa,
Lgr5em1(cre/ERT2)Kba,
Lgr5tm1.1(cre/ERT2)Npa,
Lgr5tm1(cre/ERT2)Cle,
Lgr5tm3.1(cre/ERT2)Niba,
Lhx1tm1.1(icre)Rob,
Lrig1tm1.1(cre/ERT2)Rjc,
Lrig1tm1(cre/ERT2)Kjen,
Lrig1tm2.1(icre/ERT2)Mrc,
Ltftm1(icre)Tdku,
Ly6atm2.1(cre/Esr1*)Jmol,
Lyve1tm1.1(EGFP/cre)Cys,
Lyz1tm1.1(cre/ERT2)Ngao,
Lyz1tm2.1(cre/ERT2)Cle,
Lyz2tm1(cre)Ifo,
Mcm2tm1(cre/ERT2)Scpr,
Mfsd2aem1(cre/ERT2)Bzsh,
Mnx1tm4(cre)Tmj,
Msi1em1(cre/ERT2)Nju,
Msi2tm1.1(cre/ERT2)Reya,
Myf5tm3(cre)Sor,
Myocdtm1(cre)Dzw,
Ncr1tm1.1(icre)Viv,
Ndor1Tg(UBC-cre/ERT2)1Ejb,
Nkx1-2tm2296.1(cre/ERT2)Arte,
Nkx2-1tm1.1(cre/ERT2)Zjh,
Nkx2-2tm4.1(cre/EGFP)Suss,
Nkx2-5tm1(cre)Rjs,
Nkx2-5tm2(cre)Rph,
Nkx3-2tm1(cre)Wez,
Nkx3-2tm3.1(cre)Tlu,
Nkx3-2tm4.1(cre)Tlu,
Nmur1em1(icre)Hexu,
Nos1tm1.1(cre/ERT2)Zjh,
Notch1tm3(cre)Rko,
Notch1tm5(cre/ERT2)Rko,
Omptm4(cre)Mom,
Osr2tm2(cre)Jian,
P2rx2tm1.1(cre)Ttc,
P2ry12em1(icre/ERT2)Tda,
Pax3tm1(cre)Joe,
Pax7tm2.1(cre/ERT2)Fan,
Pbx3tm1(EGFP/cre/ERT2)Wtsi,
Pdgfctm2.1(cre/ERT2)Hdin,
Pdgfratm1.1(EGFP/cre/ERT2)Hyma,
Pdx1tm1.1(dre)Gkg,
Pdx1tm1.1(flpo)Most,
Pgctm1.1(cre/ERT2)Itoy,
Pgrtm2(cre)Lyd,
Piezo1em2(cre/ERT2)Smoc,
Piptm1.1(cre/ERT2)Ovi,
Plekha5Tg(AMH-cre)1Flor,
Plxnd1tm2(EGFP/cre/ERT2)Wtsi,
Pmelem1(rtTA,tetO-icre)Osaw,
Pms2tm2(cre)Lisk,
Pou2f3tm1.1(cre/ERT2)Imt,
Prdm1tm5.1(cre/ERT2)Rob,
Prlrtm1.1(cre)Uboe,
Prom1tm1.1(cre/ERT2)Cle,
Psmb11tm1.1(icre)Yout,
Ptf1atm1.1(cre)Cvw,
Ptf1atm1(flpo)Hcrd,
Pvalbtm1(cre)Arbr,
Rbpmsem1(cre/ERT2)Yzhe,
Rorcem1.1(cre/ERT2)Ayr,
Rtel1tm4.1(cre/ERT2)Hdin,
Runx1tm1(cre/Esr1*)Ims,
Setd4em1(cre)Wjy,
Setd4tm2.1(cre/ERT2)Wjy,
Sfta3tm1.1(cre/ERT2)Eem,
Shhtm1(EGFP/cre)Cjt,
Shhtm2(cre/ERT2)Cjt,
Shroom3Gt(ROSA53)Sor,
Six1tm1(cre)Xli,
Slc17a6tm2(cre)Lowl,
Slc26a9em1(cre)Sms,
Slc9a3tm1.1(cre/ERT2)Niba,
Slc9a3tm2.1(cre/ERT2)Niba,
Smoc2tm1(cre/ERT2)Cle,
Sox17tm1(icre)Heli,
Sox17tm2.1(icre)Heli,
Sox17tm4.1(icre/ERT2)Heli,
Sox2tm1.1(cre/ERT2)Jpmb,
Sox2tm1.1(cre/ERT2)Ykaw,
Spink1tm3(cre)Kymm,
Spp1tm1.1(cre/ERT2)Niba,
Sptbtm2(EGFP/cre/ERT2)Wtsi,
Ssttm2.1(cre)Zjh,
Stra8tm1(EGFP/cre/ERT2)Wtsi,
Taglntm1(cre/ERT2)Feil,
Taglntm2(cre)Yec,
Tas2r131tm2.1(cre)Uboe,
Tbx1tm1.1(cre/ERT2)Zzhg,
Tbx21tm1.1(cre/ERT2)Ayr,
Tbx21tm1.1(cre)Gmld,
Tcf7l1tm1.1(cre/ERT2)Hng,
Tekem1(dre)Bzsh,
Tektm1.1(icre/Esr1*)Hrr,
Tfcp2l1tm1.1(cre/ERT2)Ovi,
Tg(Acan-cre/ERT2,-luc)1Gbg,
Tg(Acp5-cre)3Rda,
Tg(Acp5-cre)4Rda,
Tg(ACTA1-cre)79Jme,
Tg(Acta2-cre/ERT2)12Pcn,
Tg(Acta2-cre/ERT2)1Tcw,
Tg(Acta2-cre/ERT2)51Pcn,
Tg(ACTB-cre)1Tes,
Tg(ACTC1-cre)1Miwa,
Tg(Actl6b-cre)4092Jiwu,
Tg(Acvrl1-cre)L1Spo,
Tg(ADGRG1-cre/ERT2)#Tcw,
Tg(Adipoq-cre)1Evdr,
Tg(Aicda-cre)1Rcas,
Tg(Aire-cre)410-5Mmat,
Tg(Alb1-cre)1Dlr,
Tg(Alb1-cre)1Khk,
Tg(Aldh1l1-cre/ERT2)02Kan,
Tg(AMELX-cre)A1Kul,
Tg(Amelx-icre)854Ppap,
Tg(Amelx-icre)863Ppap,
Tg(Amelx-icre)872Ppap,
Tg(Amelx-icre)876Ppap,
Tg(Amelx-icre)#Ppap,
Tg(Amh-cre)8815Reb,
Tg(Amy2-cre)1Herr,
Tg(Atp4b-cre)1Jig,
Tg(Atp4b-cre)3Xya,
Tg(ATP6V1B1-cre)45Rnel,
Tg(Avil-cre)1Phep,
Tg(Bmx-cre/ERT2)1Rha,
Tg(CA2-cre)1Subw,
Tg(CA2-cre/Esr1*)1Subw,
Tg(CAG-cre/Esr1*)1Lbe,
Tg(CAG-cre/Esr1*)5Amc,
Tg(CAG-cre/Esr1*)86Lbgn,
Tg(Camk2a-cre/ERT2)1Aibs,
Tg(Camk2a-cre)T29-1Stl,
Tg(Capn8-cre)1Xya,
Tg(Car1-cre)5Flt,
Tg(Cckbr-cre/ERT2)#Tcw,
Tg(CD2-icre)4Kio,
Tg(Cdh16-cre)91Igr,
Tg(Cdh5-cre)7Mlia,
Tg(Cdh5-cre/ERT2)CIVE23Mlia,
Tg(CDX2-cre)101Erf,
Tg(CDX2-cre*)189Erf,
Tg(Cdx2-cre)R337Npln,
Tg(Cela1-cre/ERT)1Lgdn,
Tg(Cela1-cre/ERT2)1Stof,
Tg(Cela1-cre/ERT)2Lgdn,
Tg(Chst4-cre)1Hkwa,
Tg(Ckmm-cre)5Khn,
Tg(CMA1-cre)6Thhe,
Tg(CMV-cre)1Cgn,
Tg(Col1a1-cre/ERT2)1Crm,
Tg(Col1a2-cre)23Angl,
Tg(Col1a2-cre/ERT,-ALPP)7Cpd,
Tg(Col2a1-cre)1Asz,
Tg(Col6a1-cre)1Gkl,
Tg(Csf1r-icre)1Jwp,
Tg(Cspg4-cre/Esr1*)BAkik,
Tg(Ctgf-cre)2Aibs,
Tg(Ctsk-cre)1Rda,
Tg(Ctsk-cre)8Rda,
Tg(Cyp1a1-cre)1Dwi,
Tg(Cyp1a1-cre/ERT)1Dwi,
Tg(Cyp39a1-cre)1Aibs,
Tg(DBH-cre)6-8Koba,
Tg(DBH-cre)9-9Koba,
Tg(Dbh-icre)1Gsc,
Tg(Dclk1-cre/ERT2)#Tcw,
Tg(Ddx4-cre)1Dcas,
Tg(Dhh-cre)1Mejr,
Tg(Dhh-cre/ERT2)1Heno,
Tg(Dll1-cre)33Dchp,
Tg(Dlx1-cre)RB27Gsat,
Tg(dlx5a-cre)1Mekk,
Tg(Dmp1-cre)1Jqfe,
Tg(Dspp-cre)1Kul,
Tg(ED-L2-cre)267Jkat,
Tg(EIIa-cre)C5379Lmgd,
Tg(Ela1-cre)16Eps,
Tg(Elf5-cre/ERT2,-GFP)2Rcha,
Tg(Eno2-cre)2Lfp,
Tg(Eno2-cre)39Jme,
Tg(Epcam-cre/ERT2)#Hmar,
Tg(Fabp1-cre)1Jig,
Tg(Fabp1-cre-GH1)1Jig,
Tg(Fabp4-cre)1Rev,
Tg(Fabp4-cre/ERT2)1Ipc,
Tgfb3tm1(cre)Vk,
Tg(Fev-cre)FF3Pasq,
Tg(Fev-cre)FF9Pasq,
Tg(Fev-cre)FM3Pasq,
Tg(Fgfr3-icre/ERT2)4-2Wdr,
Tg(Flt1-cre/ERT2)1Tmak,
Tg(Foxa2*-cre)#Mku,
Tg(Foxa3-cre)1Khk,
Tg(Foxl1-cre)1Khk,
Tg(Foxl1-cre/ERT2)#Khk,
Tg(Gcg-cre)1Herr,
Tg(Gcg-cre)1Slib,
Tg(Gcg-icre)12Fmgb,
Tg(Gcg-icre)23Cshi,
Tg(Gcg-icre/ERT2)9Reim,
Tg(GFAP-cre)25Mes,
Tg(Gfap-cre)73.12Mvs,
Tg(Gfap-cre)77.6Mvs,
Tg(GFAP-cre/Esr1*,-lacZ)ASbk,
Tg(GFAP-cre/Esr1*,-lacZ)BSbk,
Tg(Ghrl-cre)E7Jmz,
Tg(Ghrl-icre)#Weiz,
Tg(Gjb6-cre/ERT2)53-33Fwp,
Tg(Glp1r-icre)#Fmgb,
Tg(Grem1-cre/ERT)3Tcw,
Tg(Grik4-cre)G32-4Stl,
Tg(Hand2-cre)7-1Clou,
Tg(Hdnr-icre)5Phg,
Tg(Hhex-cre,-GFP)1Ksz,
Tg(Hoxa1-cre)1Tlu,
Tg(Hoxa5-cre)444CLjea,
Tg(Hoxa5-cre)447BLjea,
Tg(Hoxb3-cre)1Pkht,
Tg(Hoxb6-cre)C33Mku,
Tg(Hoxb7-cre)13Amc,
Tg(Hspa2-cre)1Eddy,
Tg(Il7-cre)CRche,
Tg(Ins1-cre)25Utr,
Tg(Ins1-cre,-DsRed*T3)#Caoy,
Tg(Ins1-cre/ERT)1Lphi,
Tg(Ins1-cre/ERT2)#Pesch,
Tg(Ins2-cre)23Herr,
Tg(Ins2-cre)25Mgn,
Tg(Ins2-cre/ERT)1Dam,
Tg(Ins2-tTA,tetO-cre)1Ctlh,
Tg(INS-icre)18Msdr,
Tg(Islr-cre/ERT2)#Tobe,
Tg(Itgax-cre)1-1Reiz,
Tg(Kdr-cre)15962Brei,
Tg(Krt1-15-cre/PGR*)22Cot,
Tg(Krt13-cre)139Gaff,
Tg(KRT14-cre)1Amc,
Tg(KRT14-cre)1Cgn,
Tg(KRT14-cre)1Efu,
Tg(KRT14-cre)1Ipc,
Tg(KRT14-cre)43Smr,
Tg(KRT14-cre)8Brn,
Tg(Krt17-cre)#Mjd,
Tg(Krt19-cre/ERT2)#Tcw,
Tg(Krt19-cre)#Tcw,
Tg(Krt19-icre)2Hirt,
Tg(Krt2-6a-cre)1Ism,
Tg(KRT5-cre)5132Jlj,
Tg(KRT5-cre/ERT2)2Blh,
Tg(KRT5-cre/ERT2)#Mym,
Tg(KRT5-cre/ERT)ICmch,
Tg(KRT5-cre/ERT)SCmch,
Tg(Krt8-cre/ERT2,-GFP)1Xin,
Tg(Lck-cre)548Jxm,
Tg(Lck-icre)3779Nik,
Tg(LTF-EGFP/cre/PGR)15Klin,
Tg(Lyve1-cre/ERT2)49Rtem,
Tg(Lyz1-cre/ERT2)#Ngao,
Tgm3tm2(EGFP/cre/ERT2)Wtsi,
Tg(Mafg-Nrf2/cre,-EGFP)737Hozu,
Tg(MMTV-cre)1Mam,
Tg(MMTV-cre)4Mam,
Tg(MMTV-flpo)11Gcr,
Tg(MMTV-flpo)29542Kuw,
Tg(MMTV-flpo)9Gcr,
Tg(Mnx1-cre/ERT2)8Rbro,
Tg(Mpz-cre)94Imeg,
Tg(Msx2-cre/ERT2)2Nono,
Tg(Mx1-cre)1Cgn,
Tg(Mx1-cre)29-4Her,
Tg(Myh11-cre)5013Gko,
Tg(Myh11-cre,-EGFP)2Mik,
Tg(Myh11-icre/ERT2)1Soff,
Tg(Myh6-cre)2182Mds,
Tg(MYOD1-cre)M23Glh,
Tg(Nes-cre)1Atp,
Tg(Nes-cre)1Kln,
Tg(Nes-cre/ERT2)73Lfp,
Tg(Neurod1-cre)1Able,
Tg(Neurod1-cre/ERT2)M1Fcal,
Tg(Neurog3-cre)1Dam,
Tg(NEUROG3-cre)1Herr,
Tg(Neurog3-cre)C1Able,
Tg(Neurog3-cre/ERT2)1Able,
Tg(Neurog3-cre/Esr1*)1Dam,
Tg(Nkx2-1-cre)2Sand,
Tg(Nkx2-5-cre)9Eno,
Tg(NKX2-5-cre)#Kyuhl,
Tg(NKX2-5*-cre)#Kyuhl,
Tg(Nmur1-icre,-EGFP)1Dart,
Tg(NPHS2-cre)295Lbh,
Tg(Nr5a1-cre)2Lowl,
Tg(Osr1-cre)4Mrt,
Tg(Pax4-cre)1Dam,
Tg(Pax6-cre)1Rilm,
Tg(Pax6-cre,GFP)1Pgr,
Tg(Pcp2-cre)2Mpin,
Tg(Pdgfb-icre/ERT2,-EGFP)1Frut,
Tg(Pdpn-cre)HRkl,
Tg(Pdx1-cre)1Herr,
Tg(Pdx1-cre)6Cvw,
Tg(Pdx1-cre)6Tuv,
Tg(Pdx1-cre)89.1Dam,
Tg(Pdx1-cre/Esr1*)1Mga,
Tg(Pdx1-cre/Esr1*)35.10Dam,
Tg(Pdx1-cre/Esr1*)35.6Dam,
Tg(Pdx1-cre/Esr1*)#Dam,
Tg(Pdx1-flpo)#Koli,
Tg(Pdx1-flpo)#Ybi,
Tg(Pf4-icre)Q3Rsko,
Tg(Pgk1-cre)1Lni,
Tg(Pitx3-cre/ERT2)1Yqd,
Tg(Pkd2l1-cre)#Csz,
Tg(Plp1-cre/ERT2)1Ueli,
Tg(Plp1-cre/ERT)3Pop,
Tg(Prdm1-cre)1Masu,
Tg(Prm-cre)58Og,
Tg(Prop1-icre)517Sac,
Tg(Prrx1-cre)1Cjt,
Tg(PTH-cre)4167Slib,
Tg(Relb-cre)53Rie,
Tg(Ren-cre)#Kwg,
Tg(Retnla-cre)#Voeh,
Tg(Rr291-cre)6-2Clou,
Tg(Rr355-cre)1Jlr,
Tg(rtetR-tetO-cre)40Mhz,
Tg(Runx1/Hspa1a-cre/ERT2)5-2Itoy,
Tg(Runx1/Hspa1a-cre/ERT2)#Itoy,
Tg(S100a4-cre)1Egn,
Tg(S100a4-flpo)3Lba,
Tg(Scnn1a-cre)3Aibs,
Tg(Scx-cre)HShuk,
Tg(Sema3a-cre)#Ryba,
Tg(Sftpa1-cre)1Xya,
Tg(Sim1-cre)1Lowl,
Tg(Six1-cre)2Kwk,
Tg(Smad7-cre)1Sjc,
Tg(Sox10-ERT2/cre/ERT2)17Sor,
Tg(Sox10-icre/ERT2)388Wdr,
Tg(Sp7-cre/ERT2)#Hmk,
Tg(Stab2-icre)1.2Cger,
Tg(Stra8-icre)1Reb,
Tg(Sycp1-cre)4Min,
Tg(Syn1-cre)671Jxm,
Tg(Tagln-cre)1Her,
Tg(Tagln-cre)1Jjl,
Tg(Tal1-cre/ERT)1Jrg,
Tg(Tal1-cre/ERT)42-056Jrg,
Tg(Tas2r105-EGFP/cre)#Feli,
Tg(Tas2r143-cre/ERT2)#Soff,
Tg(Tbx6-cre)#Rsam,
Tg(Tcfap2a-cre)1Will,
Tg(T-cre)1Lwd,
Tg(Tek-cre)12Flv,
Tg(Tek-cre)1Arnd,
Tg(Tek-cre)5326Sato,
Tg(Tek-cre/ERT2)1Arnd,
Tg(tetO-cre)1Jaw,
Tg(tetO-cre)3Jig,
Tg(Tff1-cre)1Kko,
Tg(Tff1-cre)2Kko,
Tg(Tff1-cre)#Kko,
Tg(Tff2-EGFP,-cre)3aTcw,
Tg(Tff2-Hbegf,-cre/ERT2)#Tcw,
Tg(Tg-cre)1Soff,
Tg(Tg-cre/ERT2)1Kero,
Tg(Thy1-cre)1Vln,
Tg(Thy1-cre)703Vaw,
Tg(Tlx2-cre)#Ymor,
Tg(Tnni3-cre/GFP)1Mknn,
Tg(TNS4-cre)1Shlo,
Tg(Tph1-EGFP/cre/ERT2)#Jmer,
Tg(TPO-cre)1Shk,
Tg(Tyr-cre)1Gfk,
Tg(Tyr-cre/ERT2)13Bos,
Tg(Tyrp1-cre)1Ipc,
Tg(Vav1-cre)1Cgp,
Tg(Vav1-cre)8Cgp,
Tg(Vil1-cre)1000Gum,
Tg(Vil1-cre)20Syr,
Tg(Vil1-cre)997Gum,
Tg(Vil1-cre/ERT2)23Syr,
Tg(Vil1-cre)#Gum,
Tg(Vil-cre)1Mka,
Tg(Wap-cre)11738Mam,
Tg(Wfs1-cre/ERT2)3Aibs,
Tg(Wnt11-cre/ERT2)1Jwng,
Tg(WT1-cre)AG11Dbdr,
Thtm1(cre)Te,
Tlr2tm1(cre)Dfil,
Tlx1tm1.1(cre/ERT2)Rygo,
Tmprss2tm1.1(cre/ERT2)Ychen,
Tnfrsf19tm1.1(cre/ERT2)Cle,
Trpa1tm1.1(cre)Kzim,
Trpc5tm1.1(cre)Dbru,
Trpm5tm1.1(cre)Uboe,
Trpv4em1(cre/ERT2)Amc,
Twist2tm1.1(cre)Dor,
Twist2tm1(cre/ERT2)Eno,
Uri1tm2.1(cre/ERT2)Ndj,
Vdrem1(cre)Ssis,
Vil1em1(flpo)Lbrl,
Viptm1(cre)Zjh,
Vsx2tm2(EGFP/cre/ERT2)Wtsi,
Wt1tm1(EGFP/cre)Wtp
(less)
|
|