|
Allele Information
|
|
Allele:
|
Tg(CAG-cre/Esr1*)5Amc
transgene insertion 5, Andrew P McMahon
|
Driver: CAG
Type: Transgenic
(Inducible, Recombinase)
|
|
|
Inducer:
|
tamoxifen
|
|
Synonym:
|
CAG-Cre, CAG-CreEr, CAGG-Cre, CaggCreER, CAGGCre-ER, CAGGCre-ERTM, CAGGCre-ERtm line 5.8, CAGGS-CreER, CAGGS-CreErT, CMV-creERT, Cre-ER, Cre-ERTM, CreESRT, ER-cre, Tg:Cag-Cre/Esr1, Tg(CAG-cre/Esr1)5Amc, TgCAGGCreER, TgCreER, Tg(cre/Esr1)5Amc, uCreERT
|
|
Molecular description:
|
This transgene expresses a fusion protein consisting of Cre recombinase joined to the ligand-binding domain of a mouse estrogen receptor modified to bind to 4-hydroxytamoxifen, but not to endogenous estrogen. The CAG promoter, containing a chicken beta actin promoter/enhancer coupled with the cytomegalovirus immediate-early (CMV-IE) enhancer, drives high levels of expression in most tissues. In the presence of tamoxifen, the fusion protein is transported into the nucleus, where cre can excise loxP-flanked segments from conditionally modified genes.
|
|
Find mice (IMSR):
|
Mouse Strains:
11
strains available
Cell Lines:
0 lines available
|
|
Additional Tissues:
|
Tg(CAG-cre/Esr1*)5Amc activity also observed in:
adipose tissue,
alimentary system,
branchial arches,
cardiovascular system,
cavities & their linings,
embryo-other,
endocrine system,
hemolymphoid system,
integumental system,
limbs,
liver & biliary system,
mesenchyme,
muscle,
nervous system,
renal & urinary system,
reproductive system,
respiratory system,
sensory organs,
skeletal system,
tail
(less)
|
|
|
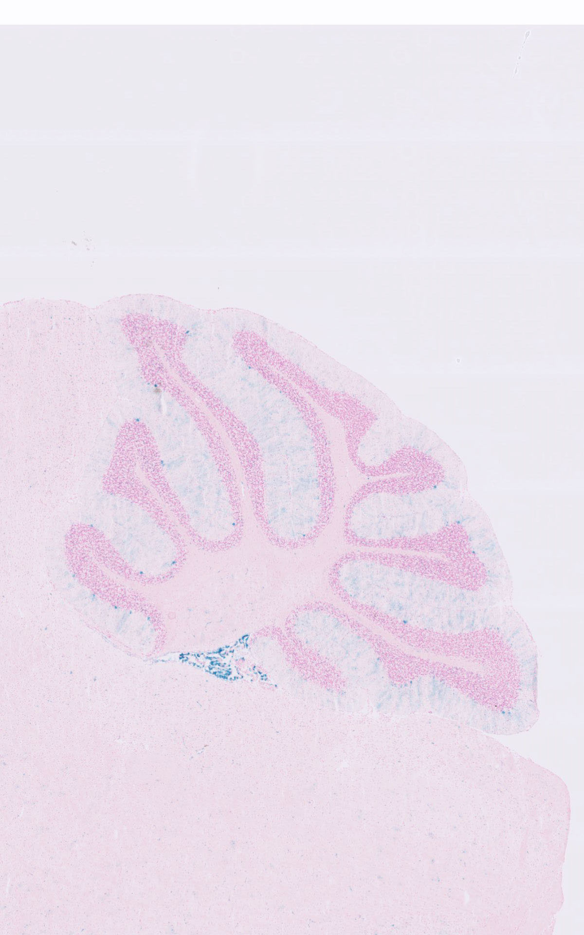
Tissue Information
|
|
Head
|
Other recombinase alleles with activity in Head tissues:
7630403G23RikTg(Th-cre)1Tmd,
Abcg2tm1.1(cre/Esr1*)Jvbe,
Acantm1(cre/ERT2)Crm,
Acsm4tm1(cre)Hsak,
Adcyap1r1tm1.1(cre/GFP)Rpa,
Adcyap1tm1.1(cre)Hze,
Adcyap1tm1.1(cre)Mjkr,
Adora1em1(cre)Rei,
Agrptm1.1(cre/EGFP)Stei,
Agrptm1(cre)Lowl,
Agrptm4.1(cre/EGFP)Rpa,
Agtr1atm1.1(cre)Ekrs,
Aif1tm1.1(cre)Mrc,
Aif1tm1(icre)Mabe,
Airetm3(cre)Mmat,
Aldh1a1em1(icre)Ylu,
Aldh1a1em2(cre)Ylu,
Aldh1a1tm1.1(cre/ERT2)Cai,
Aldh1l1em1(cre/ERT2)Nju,
Alpltm1(cre)Nagy,
Alx3em1(cre/ERT2)Lanyu,
Angpt4tm1.1(cre)Ekl,
Ankfn1tm2.1(cre)Mnw,
Aplnrem3(cre/ERT2)Smoc,
Arctm1.1(cre/ERT2)Luo,
Arr3tm1.1(cre/ERT2)Eye,
Asb4em1(cre/ERT2)Awx,
Ascl1tm1.1(cre/ERT2)Jejo,
Atf3tm1.1(icre/ERT2)Msra,
Atoh1em1(cre)Zyliu,
Atoh1tm1(cre)Gan,
Atoh7tm3(cre/ERT2)Xmu,
Atoh7tm3(cre)Gan,
Aurkbtm1.1(cre/ERT2)Deli,
Aviltm1.1(flpo)Ddg,
Avpr1atm1.1(cre/GFP)Rpa,
Avpr1btm2.1(cre)Wsy,
Avptm1.1(cre)Dolsn,
Avptm1.1(cre)Hze,
Bcl11atm1.1(cre/ERT2)Khal,
Bhlhe22tm2(cre)Gan,
Brs3tm1.1(cre/GFP)Rpa,
Brs3tm3.1(cre/ERT2)Rei,
Btg2tm1.1(cre/ERT2)Wbh,
Btg2tm1.1(cre/ERT2)Zjh,
C1ql2em1(cre)Gfng,
Cacna1htm2.1(cre)Glwn,
Calb1tm1.1(cre)Arte,
Calb1tm1.1(folA/cre)Hze,
Calb2tm1(cre)Zjh,
Calb2tm2.1(cre/ERT2)Zjh,
Calcatm1.1(cre/EGFP)Rpa,
Calcrtm1.1(cre)Mgmj,
Cartpttm1.1(cre)Hze,
Cartpttm1.2(cre/ERT2)Hhz,
Cbln2em1(cre)Pc,
Cbln4tm1.1(cre/GFP)Rpa,
Cckarem1(icre)Shah,
Cckbrtm1.1(cre)Mgmj,
Ccktm1.1(cre)Zjh,
Ccktm2.1(cre/ERT2)Zjh,
Cdh10tm1.1(cre/ERT2)Jrs,
Cdh5em1(cre/ERT2)Smoc,
Cdh5em1(nigri)Bzsh,
Cdh6tm1.1(cre/ERT2)Jrs,
Cdkn2atm1(cre/ERT2)Mkt,
Cdkn2atm3(cre)Cjs,
Cfap126tm1.1(icre)Heli,
Chattm1(cre/ERT)Nat,
Chattm1(cre)Lowl,
Chattm2(cre)Lowl,
Chrna7tm2.1(cre)Swr,
Clec9atm2.1(icre)Crs,
Clutm2(EGFP/cre/ERT2)Wtsi,
Cnptm1(cre)Kan,
Cntn2tm1.1(cre/EGFP)Nmun,
Cochem1(cre)Bcgen,
Col10a1tm2.1(cre)Ksec,
Commd10Tg(Vav1-icre)A2Kio,
Corttm1(cre)Zjh,
Cpne7tm1.1(cre)Sleep,
Crhr1tm1.1(cre/GFP)Lsz,
Crhr1tm4.1(cre)Jde,
Crhtm1.1(cre)Dolsn,
Crhtm1.1(flpo)Bsab,
Crhtm1(cre)Zjh,
Crhtm2(icre)Ksak,
Crybb1em1(icre)Cln,
Cux2tm1.1(cre)Mull,
Cux2tm2.1(cre)Mull,
Cux2tm3.1(cre/ERT2)Mull,
Cx3cr1em1(Ccre)Jung,
Cx3cr1em1(cre)Cya,
Cx3cr1tm1.1(cre)Jung,
Cx3cr1tm2.1(cre/ERT2)Litt,
Cx3cr1tm2.1(cre/ERT)Jung,
Cxcr4tm1.1(cre/ERT2)Stum,
Cyp11a1tm1(GFP/cre)Pzg,
Cyp19a1tm2.1(cre)Shah,
Dbhtm1(cre)Sath,
Dbhtm3.2(cre)Pjen,
Dbx1tm1.1(cre)Mull,
Dbx1tm1(cre/ERT2)Jcor,
Dcttm1(cre)Bee,
Dlx1tm1(cre/ERT2)Zjh,
Dlx5tm1(cre/ERT2)Zjh,
Dmbx1tm3(cre)Aoh,
Dmp1tm1(cre)Msue,
Dmrt3em1(cre)Kldr,
Drd1em1(cre)Phsh,
Drd1tm1(cre)Rpa,
Drd2em1(cre)Phsh,
E2f1Tg(Wnt1-cre)2Sor,
Egr1tm1.1(cre/ERT2)Jglt,
Egr2tm2(cre)Pch,
Elfn1tm2.1(cre/ERT2)Kama,
Emx1tm1(cre)Ito,
Emx1tm1(cre)Krj,
Emx2tm2(cre)Sia,
En1tm2(cre)Wrst,
En1tm7(cre/ESR1)Alj,
En2tm4(cre/ERT2)Alj,
Eomestm3(flpo)Zjh,
Erbb4tm1.1(cre/ERT2)Aibs,
Esm1em1(icre/ERT2)Ben,
Esr1em1(flpo)Shah,
Esr1tm1.1(cre)And,
Esr1tm2.1(cre)And,
Et(cre/ERT2)1382Rdav,
Et(cre/ERT2)1642Rdav,
Et(cre/ERT2)1957Rdav,
Et(cre/ERT2)2007Rdav,
Et(cre/ERT2)21Rdav,
Et(cre/ERT2)278Rdav,
Et(cre/ERT2)296Rdav,
Et(cre/ERT2)398Rdav,
Et(cre/ERT2)6691Rdav,
Et(cre/ERT2)6959Rdav,
Et(cre/ERT2)7089Rdav,
Et(cre/ERT2)7149Rdav,
Et(cre/ERT2)8120Rdav,
Et(cre/ERT2)8131Rdav,
Et(cre/ERT2)837Rdav,
Et(cre/ERT2)9699Rdav,
Et(EGFP/cre)16055Rdav,
Et(EGFP/cre)16102Rdav,
Et(EGFP/cre)16218Rdav,
Et(EGFP/cre)16250Rdav,
Et(EGFP/cre)16255Rdav,
Et(EGFP/cre)16261Rdav,
Et(icre)1402Rdav,
Et(icre)1470Rdav,
Et(icre)1555Rdav,
Et(icre)754Rdav,
Et(icre/ERT2)10596Rdav,
Et(icre/ERT2)10727Rdav,
Etv1tm1.1(cre/ERT2)Zjh,
Etv5tm1(cre/ERT2)Brst,
Fezf2tm1.1(cre/ERT2)Zjh,
Fezf2tm2.1(flpo)Zjh,
Fgf10tm2.1(cre/ERT2)Sbel,
Fgf15tm1.1(cre)Thor,
Fgf16tm1.1(cre)Sms,
Fgf18tm2.2(cre/ERT2)Dor,
Fgf21em1(cre)Mpot,
Fgf8em1(flpo)Thore,
Fgf8tm3.1(cre/Esr1*)Moon,
Flrt3tm4(cre/ERT2)Kln,
Flt4tm2.1(cre/ERT2)Sgo,
Fostm1.1(cre/ERT2)Luo,
Fostm1.1(cre/folA)Mmay,
Fostm2.1(icre/ERT2)Luo,
Foxa2tm2.1(cre/Esr1*)Moon,
Foxd1tm1(GFP/cre)Amc,
Foxg1tm1(cre)Skm,
Foxj1tm1.1(cre/ERT2/GFP)Htg,
Foxl2tm1(GFP/cre/ERT2)Pzg,
Fpr-rs3tm1.1(cre)Irod,
Gabra6tm2(cre)Wwis,
Gad1tm2(cre)Tama,
Gad1tm3(cre/PGR*)Tama,
Gad2tm1(cre)Bvz,
Gad2tm1(cre/ERT2)Zjh,
Gad2tm2(cre)Zjh,
Gata3tm1.1(cre)Gmlz,
Gbx2tm1.1(cre/ERT2)Jyhl,
Gcgem1(cre)Utr,
Gcktm2885(icre)Thor,
Gfi1tm1(cre)Gan,
Gfi1tm2.1(GFP/cre/ERT2)Gan,
Ghem1(cre)Jmz,
Ghrhtm1.1(cre)Mgmj,
Ghsrtm1.1(cre)Jmz,
Giprem1(icre)Reim,
Gja10tm1.1(icre)Aah,
Gli1tm3(cre/ERT2)Alj,
Gnao1tm2(EGFP/cre/ERT2)Wtsi,
Gnat2tm1.1(cre/ERT2)Eye,
Gng8tm1.1(cre)Irod,
Golm1tm2(EGFP/cre/ERT2)Wtsi,
Gper1em1(cre)Smoc,
Gpr4tm1(cre)Skas,
Grid2tm1(cre/PGR*)Ksak,
Grik4tm1(cre)Ksak,
Grprem1(icre/ERT2)Ygs,
Grprem2(flpo)Ygs,
Grptm1.1(icre)Himo,
Gsx2em1(flpo)Bche,
Gt(ROSA)26Sorem1(CAG-Ncre/vvd*,-vvd*/Ccre)Larc,
Gt(ROSA)26Sortm1.1(CAG-cre)Jphe,
Gt(ROSA)26Sortm1.1(rtTA,tetO-cre)Bkmn,
Gt(ROSA)26Sortm13(dre)Maoh,
Gt(ROSA)26Sortm14.1(Thy1-dre)Maoh,
Gt(ROSA)26Sortm1(BEST1-cre/ERT2)Vold,
Gt(ROSA)26Sortm1(cre/ERT2)Tyj,
Gt(ROSA)26Sortm1(cre/ERT)Nat,
Gt(ROSA)26Sortm1(FLP1)Dym,
Gt(ROSA)26Sortm2(cre/ERT2)Brn,
Gt(ROSA)26Sortm2(icre/ERT2)Jphe,
Gt(ROSA)26Sortm8(CAG-dre/ERT2)Bzsh,
H2az2Tg(Wnt1-cre)11Rth,
Hand2em1(dre)Pjen,
Hcrttm1.1(cre)Ldl,
Hcrttm1.1(flpo)Ksak,
Hdctm1.1(icre)Wwis,
Hes1tm1(cre/ERT2)Lcm,
Hexbem2(cre/ERT2)Mp,
HhatTg(TFAP2A-cre)1Will,
Hhiptm1(cre/ERT2)Wtsi,
Hlfem2(cre/ERT2)Suda,
Hoxa3tm1(cre)Moon,
Hoxb1tm1(cre)Og,
Hprt1tm10(Ple162-EGFP/cre)Ems,
Hprt1tm14(Ple103-EGFP/cre)Ems,
Hprt1tm16(Ple167-EGFP/cre)Ems,
Hprt1tm1(CAG-cre)Mnn,
Hprt1tm364a(CAG-icre/ERT2)Ems,
Hprt1tm9(Ple178-EGFP/cre)Ems,
Hsd11b2tm1.1(cre/GFP)Rpa,
Hsd11b2tm1(cre)Anft,
Htr2cem1(icre)Ylu,
Htr2ctm1.1(cre)Heis,
Htr2ctm1.1(icre)Jwso,
Id2tm1.1(cre/ERT2)Blh,
Ifi208Tg(Cspg4-cre)1Akik,
Igs2tm1(Cdkn1a-cre/ERT2,-EGFP)Mxu,
Ihhem1(Tomm20/mKate2,dre)Xya,
Irs4tm1.1(cre)Dolsn,
Itga8tm1.1(cre/ERT2)Jomm,
Kcng4tm1.1(cre)Jrs,
Kcnip2tm1(cre/ERT2)Yifz,
Kdm2bem1(cre/ERT2)Bcgen,
Kiss1tm1.1(cre/EGFP)Rpa,
Kiss1tm1.1(cre/EGFP)Stei,
Kiss1tm2(cre/GFP)Coll,
Kittm1(cre/ERT2)Dsa,
Klbtm1(cre)Mglm,
Krt12tm3(cre)Wwk,
Krt17tm1(cre)Murr,
Krt19tm1(cre)Mmt,
Krt6aem1(icre)Vk,
Krt6aem2(icre/ERT2)Vk,
Lbhd2em1(cre/ERT2)Fuki,
Leprtm2(cre)Rck,
Leprtm3(cre)Mgmj,
Lgr6tm2.1(cre/ERT2)Cle,
Lhx1tm1.1(icre)Rob,
Lhx6tm1(cre/ERT2)Zjh,
Lhx9tm1.1(cre/ERT2)Gan,
Lrig1tm2.1(icre/ERT2)Mrc,
Lrp4tm1.1(GFP/cre/ERT2)Gan,
Lyve1em1(Ncre)Jung,
Lyve1em3(cre/ERT2)Gpt,
Lyve1tm1.1(EGFP/cre)Cys,
Lyz2tm1(cre)Ifo,
Mapttm1(cre)Nagy,
Mapttm2(cre)Aha,
Mapttm3(cre/PGR)Aha,
Mc3rtm1.1(cre)Dolsn,
Mc4rem2(cre)Vai,
Mc4rtm3.1(cre)Lowl,
Mcm2tm1(cre/ERT2)Scpr,
Megf10tm1.1(cre)Jnk,
Megf6em3(cre)Zzhg,
Meis1tm3.1(cre/ERT2)Mtor,
Meox1tm1(cre)Jpa,
Mfsd2aem1(cre/ERT2)Bzsh,
Mfsd2aem2(cre/ERT2)Bzsh,
Mgptm1.1(cre)Borr,
Mlc1tm2.1(cre/ERT2)Jhmc,
Mnx1tm4(cre)Tmj,
Mogtm1(cre)Gkl,
Mrc1em1(cre/ERT2)Mp,
Msi2tm1.1(cre/ERT2)Reya,
Myf5tm1(cre/Esr1*)Trdo,
Myf5tm1(cre)Mrc,
Myf5tm3(cre)Sor,
Myf6tm1.1(cre/ERT2)Lepr,
Myl1tm1.1(cre/ERT2)Lepr,
Myocdtm1(cre)Dzw,
Myocdtm1(cre)Jomm,
Myod1tm1.1(cre/ERT2)Lepr,
Myod1tm2.1(icre)Glh,
Myogtm1.1(cre/ERT2)Lepr,
Ndnftm1.1(cre/ERT2)Ispgl,
Ndnftm1.1(cre)Rudy,
Ndor1Tg(UBC-cre/ERT2)1Ejb,
Necab1tm1(cre)Ahan,
Nefltm1(cre/ERT)Nat,
Nesem1(flpo)Awar,
Neto1tm1.1(cre)Jrs,
Neurod6tm1(cre)Kan,
Nkx1-2tm2296.1(cre/ERT2)Arte,
Nkx2-1tm1.1(cre/ERT2)Zjh,
Nkx2-2tm4.1(cre/EGFP)Suss,
Nkx2-5tm1(cre)Rjs,
Nkx2-5tm2(cre)Rph,
Nkx3-2tm3.1(cre)Tlu,
Nkx3-2tm4.1(cre)Tlu,
Nos1tm1.1(cre/ERT2)Zjh,
Notch1tm3(cre)Rko,
Nox3tm1.1(cre)Kobio,
Npfftm1.1(icre)Xen,
Npsem1(cre)Jgeer,
Npvftm1.1(icre)Gand,
Npwtm1.1(icre)Ymf,
Nrltm1(cre/ERT2)Jpea,
Ntng1em1(cre)Kfra,
Ntsr1tm1.1(cre/GFP)Rpa,
Ntsr1tm1.1(cre)Giml,
Ntsr1tm1(cre)Giml,
Ntsr2tm1.1(cre)Giml,
Ntsr2tm1(cre)Giml,
Ntstm1(cre)Mgmj,
Ntstm1(flpo)Giml,
Nxph4em1(cre)Zak,
Nxph4tm1.1(cre/ERT2)Hze,
Olig1tm1(cre)Rth,
Omptm12.1(cre/ERT2)Mom,
Omptm4(cre)Mom,
Opalintm1(cre)Pfw,
Opn4tm1.1(cre)Saha,
Opn4tm1(cre)Sapa,
Opn5em1(cre)Lan,
Oprk1tm1.1(cre)Sros,
Oprm1em1(icre/ERT2)Ygs,
Oprm1tm1.1(cre/ERT2)Dwata,
Oprm1tm1.1(cre/GFP)Rpa,
Oprm1tm1(cre)Kmel,
Oprm1tm2.1(EGFP/cre)Ics,
Or2b4tm5(cre)Mom,
Or8a1tm28(cre)Mom,
Osr2tm2(cre)Jian,
Otoftm1.1(cre)Mull,
Otoftm2.1(cre/ERT2)Mull,
Oxtrem2(icre)Yinn,
Oxtrem4(icre/ERT2)Yinn,
Oxtrtm3.1(Oxtr*,cre)Knis,
Oxttm1.1(cre)Dolsn,
Oxttm1.1(flpo)Cya,
Oxttm1.1(icre)Ksak,
P2rx2tm1.1(cre)Ttc,
P2ry12em1(cre/ERT2)Peng,
P2ry12em1(icre/ERT2)Tda,
Pax3tm1.1(cre/ERT2)Lepr,
Pax3tm1(cre)Joe,
Pax7tm1(cre)Mrc,
Pax7tm2.1(cre/ERT2)Fan,
Pax9tm1.1(cre)Sbam,
Pbx3tm1(EGFP/cre/ERT2)Wtsi,
Pcp2tm1(cre)Nobs,
Pdcd1em1(cre)Cya,
Pde6gtm1(cre/ERT2)Eye,
Pdgfctm2.1(cre/ERT2)Hdin,
Pdgfratm1.1(EGFP/cre/ERT2)Hyma,
Pdgfratm1.1(flpo)Leol,
Pdgfrbtm1.1(cre/ERT2)Csln,
Pdyntm1.1(cre/GFP)Rpa,
Pdyntm1.1(cre)Mjkr,
Penktm1.1(cre/ERT2)Hze,
Pgrem1(flpo)Shah,
Piezo1em2(cre/ERT2)Smoc,
Piezo2tm1.1(cre)Apat,
Pitx2tm4(cre)Jfm,
Pkibem1(cre)Fuki,
Plxnd1tm2(EGFP/cre/ERT2)Wtsi,
Pmelem1(rtTA,tetO-icre)Osaw,
Pnoctm1.1(cre)Mrbr,
Pomctm1.1(cre)Lowl,
Pou4f1tm1.1(cre)Tcba,
Pou4f1tm1(flpo/ERT2)Past,
Pou4f2tm1.1(cre)Tcba,
Pou4f2tm1.2(cre)Tcba,
Pou4f3em1(cre/ERT2)Yss,
Pou4f3tm1.1(cre)Tcba,
Pou4f3tm1.2(cre)Tcba,
Prdm1tm3(icre)Rob,
Prdm1tm5.1(cre/ERT2)Rob,
Prlhem1(cre)Mgmj,
Prlhtm1(cre)Smln,
Prlrtm1.1(cre)Uboe,
Prox1tm3(cre/ERT2)Gco,
Ptger3tm1.1(cre/GFP)Rpa,
Ptntm1(cre/ERT2)Zjh,
Pvalbtm1.1(cre/ERT2)Hze,
Pvalbtm1(cre)Arbr,
Pvalbtm1(cre)Bvz,
Pvalbtm1(cre/ERT2)Zjh,
Pvalbtm2(cre/ERT2)Zjh,
Pvalbtm5.1(cre/folA)Hze,
Qrfptm2.1(icre)Stak,
Rasgrf2tm1(cre/folA)Hze,
Raxtm1.1(cre/ERT2)Sbls,
Rbpmsem1(cre/ERT2)Yzhe,
Rgs9tm1.1(cre)Yql,
Rln3tm1.1(cre/GFP)Et,
Rorbtm1.1(cre)Hze,
Rpe65tm1.1(cre/ERT2)Kser,
Runx1tm1(cre/Esr1*)Ims,
Rxfp1em1(cre)Ngai,
Sall1em1(Ncre)Jung,
Sall1tm5(cre/ERT2)Ryn,
Sall4tm1.1(EGFP/cre/ERT2)Ykawa,
Satb2tm1.1(cre/GFP)Rpa,
Sdk1em1(cre/GFP)Jrs,
Sema6atm1(cre/ERT2)Alk,
Sfta3tm1.1(cre/ERT2)Eem,
Sh2b1tm3(cre)Lr,
Shhtm1(EGFP/cre)Cjt,
Shhtm2(cre/ERT2)Cjt,
Shroom3Gt(ROSA53)Sor,
Sim1tm1.1(cre)Lowl,
Six1tm1(cre)Xli,
Slc12a8em2(cre/ERT2)Imai,
Slc17a6em1(phiC31)Bklim,
Slc17a6tm1.1(icre/ERT2)Bcgen,
Slc17a6tm2(cre)Lowl,
Slc17a7tm1.1(cre)Ahan,
Slc17a7tm1.1(icre/ERT2)Bcgen,
Slc17a8em1(icre/ERT2)Zyliu,
Slc1a3tm1.1(cre/ERT2)Wsj,
Slc1a3tm1(cre/ERT2)Mgoe,
Slc26a9em1(cre)Sms,
Slc32a1tm2(cre)Lowl,
Slc6a2em1(cre)Zhanc,
Slc6a3em1(flpo)Hbat,
Slc6a3tm1.1(cre)Bkmn,
Slc6a3tm1(cre)Xz,
Slc6a4em1(phiC31)Bklim,
Slc6a4tm1(cre)Xz,
Slc6a5tm1.1(cre)Ksak,
Smoc2tm1(cre/ERT2)Cle,
Sox14tm2.1(cre)Tmj,
Sox17tm1(icre)Heli,
Sox17tm2.1(icre)Heli,
Sox2tm1.1(cre/ERT2)Jpmb,
Sox2tm1(cre/ERT2)Hoch,
Sp9tm2(cre)Zyan,
Sptbtm2(EGFP/cre/ERT2)Wtsi,
Sstem1(flpo)Bcgen,
Ssttm1.1(cre)Mony,
Ssttm1(cre)Bvz,
Ssttm1(cre/ERT2)Zjh,
Ssttm2.1(cre)Zjh,
St18em1(cre)Yili,
Syn1em1(cre/ERT2)Iiis,
Tac1em1(flp)Pc,
Tac1tm1.1(cre)Hze,
Tacr1tm1.1(cre/ERT2)Sros,
Tacr1tm1.1(cre/GFP)Rpa,
Taglntm2(cre)Yec,
Tas2r131tm2.1(cre)Uboe,
Tbr1tm1.1(cre/ERT2)Maoc,
Tbx1tm1.1(cre/ERT2)Zzhg,
Tbx2tm1.1(cre)Vmc,
Tbx3em1(cre)Mhts,
Tbx3tm1.1(cre)Vmc,
Tbx3tm4(cre/Esr1*)Moon,
Tbx5tm1.1(cre/ERT2)Bbr,
Tekem1(dre)Bzsh,
Tfap2atm1(cre)Moon,
Tfap2etm1(cre)Will,
Tfcp2l1tm1.1(cre/ERT2)Ovi,
Tg(A230065H16Rik-cre)RA13Gsat,
Tg(A830010M20Rik-cre)KJ227Gsat,
Tg(Acan-cre/ERT2,-luc)1Gbg,
Tg(Acp5-cre)3Rda,
Tg(Acp5-cre)4Rda,
Tg(ACTA1-cre)79Jme,
Tg(ACTA1-cre/Esr1*)2Kesr,
Tg(ACTA2-cre)1Miwa,
Tg(Acta2-cre/ERT2)12Pcn,
Tg(Acta2-cre/ERT2)51Pcn,
Tg(ACTB-cre)1Tes,
Tg(ACTFLPe)9205Dym,
Tg(Actl6b-cre)4092Jiwu,
Tg(Acvrl1-cre)B1Spo,
Tg(Acvrl1-cre)L1Spo,
Tg(Adora2a-cre)2MDkde,
Tg(Adora2a-cre)KG126Gsat,
Tg(ADRB1-cre)#Ljp,
Tg(Agrp-cre)1Gsb,
Tg(Agrp-cre)2Gsb,
Tg(Aire-cre)410-5Mmat,
Tg(Alb1-cre)1Dlr,
Tg(Aldh1l1-cre/ERT2)02Kan,
Tg(Aldh1l1-cre/ERT2)1Khakh,
Tg(Aldh3a1-cre)1Zkoz,
Tg(Amh-cre)8815Reb,
Tg(Amigo2-icre/ERT2)1Ehs,
Tg(Amigo2-icre/ERT2)2Ehs,
Tg(Anks1-cre/ERT2)#Sopa,
Tg(Aqp2-cre)1Dek,
Tg(Arc-cre/ERT2)MRhn,
Tg(Arhgef6-cre)NL189Gsat,
Tg(Arpp21-cre)OL90Gsat,
Tg(Ascl1-cre)1Fgu,
Tg(Ascl1-cre/Esr1*)1Jejo,
Tg(Ascl1-EGFP,-cre)1Jejo,
Tg(Atf3-GFP*,-cre)#Hiki,
Tg(Atoh1-cre)1Bfri,
Tg(Atoh1-cre/ERT)1Sbk,
Tg(Atoh1-cre/ERT2)45Fmr,
Tg(Atoh1-cre/Esr1*)14Fsh,
Tg(ATP6V1B1-cre)45Rnel,
Tg(Avil-cre)1Phep,
Tg(Avp-icre)#Meid,
Tg(BEST1-cre)1Jdun,
Tg(BEST1-rtTA,tetO-cre)1Yzl,
Tg(BGLAP-cre)1Clem,
Tg(Bglap-cre/ERT)#Hmk,
Tg(Bsx-icre)1Kess,
Tg(Cacng5-cre)181Tjmc,
Tg(CAG-cre)13Miya,
Tg(CAG-cre/ERT2/Hif1a)#Heh,
Tg(CAG-cre/Esr1*)1Lbe,
Tg(Calcr-cre)379Oyak,
Tg(Camk2a-cre)159Kln,
Tg(Camk2a-cre)1Gsc,
Tg(Camk2a-cre)1Lfr,
Tg(Camk2a-cre)1Nobs,
Tg(Camk2a-cre)1Szi,
Tg(Camk2a-cre)2834Lusc,
Tg(Camk2a-cre)2Gsc,
Tg(Camk2a-cre)2Szi,
Tg(Camk2a-cre)3487Cnl,
Tg(Camk2a-cre/ERT2)1Aibs,
Tg(Camk2a-cre/ERT2)1Casa,
Tg(Camk2a-cre/ERT2)2Gsc,
Tg(Camk2a-cre/ERT2/Hif1a)#Heh,
Tg(Camk2a-cre)M34Stl,
Tg(Camk2a-cre/PGR*)1Gsc,
Tg(Camk2a-cre)T17Stl,
Tg(Camk2a-cre)T29-1Stl,
Tg(Camk2a-cre)T29-2Stl,
Tg(Camk2a-cre)T50Stl,
Tg(Cartpt-cre)RY16Gsat,
Tg(Ccdc3-cre)PO24Gsat,
Tg(Cck-cre)AKres,
Tg(Cck-cre)BKres,
Tg(Cck-cre)CKres,
Tg(Cck-cre,-lacZ)1Mini,
Tg(Ccr2-cre/ERT2)12Kuan,
Tg(CD2-icre)4Kio,
Tg(Cdh5-cre)7Mlia,
Tg(Cdh5-cre/ERT2)CIVE23Mlia,
Tg(CDX2-cre)101Erf,
Tg(Cdx2-cre)R337Npln,
Tg(Cga-cre)3Sac,
Tg(Cga-icre)961Sac,
Tg(Chat-cre)GM24Gsat,
Tg(Chat-cre)GM53Gsat,
Tg(Chat-cre)GM60Gsat,
Tg(Chrna2-cre)OE25Gsat,
Tg(Chrna3-cre)NO196Gsat,
Tg(Chrna5-cre)1Et,
Tg(Chrna5-cre)2Et,
Tg(Chrna5-cre)3Et,
Tg(Chrna5-cre)NP306Gsat,
Tg(Chrna7-cre)NP366Gsat,
Tg(Chst4-cre)1Hkwa,
Tg(Chx10-cre)5Tfur,
Tg(Chx10-EGFP/cre,-ALPP)2Clc,
Tg(Ckmm-cre)5Khn,
Tg(Cmtm5-cre)GM160Gsat,
Tg(CMV-cre)1And,
Tg(CMV-cre)1Cgn,
Tg(Cnnm2-cre)KD18Gsat,
Tg(Col10a1-cre)1427Vdm,
Tg(Col11a2-cre)4Nhzi,
Tg(Col1a1-cre)1Bek,
Tg(Col1a1-cre)1Kry,
Tg(Col1a1-cre)2Bek,
Tg(Col1a1-cre/ERT2)1Crm,
Tg(Col1a1-cre/Esr1*)1Mis,
Tg(Col1a1-cre)#Xya,
Tg(Col1a2-cre)23Angl,
Tg(Col1a2-cre/ERT,-ALPP)7Cpd,
Tg(Col2a1-cre)10Amc,
Tg(Col2a1-cre)15Amc,
Tg(Col2a1-cre)1Asz,
Tg(Col2a1-cre)1Bhr,
Tg(COL2A1-cre)1Wag,
Tg(Col2a1-cre)3Amc,
Tg(Col2a1-cre/ERT)KA3Smac,
Tg(Colgalt2-cre)NF107Gsat,
Tg(Cort-cre)IM42Gsat,
Tg(Crh-cre)1Kres,
Tg(Crh-cre)KN282Gsat,
Tg(Crhr1-icre,-tdTomato)3Njus,
Tg(Crhr2-EGFP/cre)#And,
Tg(Crx-cre)1Tfur,
Tg(Crx-cre)352Gla,
Tg(Crx-cre/ERT2)1Tfur,
Tg(Cryaa-cre)10Mlr,
Tg(Cryaa-cre,Tyr)39Mlr,
Tg(Csf1r-cre/Esr1*)1Jwp,
Tg(Csf2rb2-cre)252Tjmc,
Tg(Cspg4-cre/Esr1*)BAkik,
Tg(Csrp1-cre)1Sjc,
Tg(Ctgf-cre)2Aibs,
Tg(Ctsk-cre)1Rda,
Tg(Ctsk-cre)8Rda,
Tg(Cx3cl1-cre)RA63Gsat,
Tg(Cyp11a1-cre)16Mchu,
Tg(Cyp17a1-icre)AJako,
Tg(Cyp19a1-cre)5909Gle,
Tg(Cyp19a1-cre)5912Gle,
Tg(Cyp39a1-cre)1Aibs,
Tg(Dach1-cre)1Krs,
Tg(DBH-cre)1Cse,
Tg(DBH-cre)6-8Koba,
Tg(DBH-cre)9-9Koba,
Tg(Dbh-cre/ERT2)198.1Hroh,
Tg(Dbh-cre)KH212Gsat,
Tg(Dbh-icre)1Gsc,
Tg(Dbp-cre)MN120Gsat,
Tg(Dct-cre)1Apdn,
Tg(DCX-cre)35Mull,
Tg(DCX-cre)38Mull,
Tg(DCX-cre/ERT2)1Mull,
Tg(Dcx-icre/ERT2)1Mash,
Tg(Ddx4-cre)1Dcas,
Tg(Dhh-cre)1Mejr,
Tg(Dkk3-cre)D9Tfur,
Tg(Dlg3-cre)KG118Gsat,
Tg(Dll4-cre)#Xia,
Tg(Dlx1-cre)RB27Gsat,
Tg(dlx5a-cre)1Mekk,
Tg(Dmp1-cre)1Jqfe,
Tg(DMRT1-cre)1Svs,
Tg(Drd1a-cre)1Gsc,
Tg(Drd1a-cre)AGsc,
Tg(Drd1-cre)120Mxu,
Tg(Drd1-cre)EY217Gsat,
Tg(Drd1-cre)EY262Gsat,
Tg(Drd1-cre)EY266Gsat,
Tg(Drd1-cre)FK150Gsat,
Tg(Drd1-cre)FK164Gsat,
Tg(Drd2-cre)ER43Gsat,
Tg(Drd2-cre)ER44Gsat,
Tg(Drd3-cre)KI196Gsat,
Tg(Drd3-cre)KI198Gsat,
Tg(Drd3-cre)KJ291Gsat,
Tg(Ebf2-cre)NP183Gsat,
Tg(Ebf2-EGFP/icre)1Ggc,
Tg(Efr3a-cre)NO108Gsat,
Tg(EIIa-cre)C5379Lmgd,
Tg(Emx1-cre)1Ito,
Tg(Emx1-cre)1Wdr,
Tg(Emx1-cre)2Ito,
Tg(Emx1-cre)3Ito,
Tg(Emx1-cre)5Yql,
Tg(Emx1-cre/ERT2)1Kess,
Tg(En2-cre)11Alj,
Tg(En2-cre)22Alj,
Tg(En2-cre)3Alj,
Tg(En2-cre)4Alj,
Tg(En2-cre)6Alj,
Tg(En2-cre/ERT)1Alj,
Tg(Eno2-cre)1Lfp,
Tg(Eno2-cre)26Fsky,
Tg(Eno2-cre)2Lfp,
Tg(Eno2-cre)39Jme,
Tg(Eno2-cre/ERT2)1Pohlk,
Tg(Eno2-EGFP/cre)1Ngc,
Tg(Eno2-EGFP/cre)25kb1Ngc,
Tg(Eno2-EGFP/cre)25kb2Ngc,
Tg(Epo-cre)44Mym,
Tg(Epyc-cre)KR363Gsat,
Tg(Esm1-icre/ERT2)27Rha,
Tg(Etv1-cre,-GFP)#Stoy,
Tg(Etv1-cre)GM225Gsat,
Tg(Fabp4-cre)1Rev,
Tg(Fabp7-cre)1Htz,
Tg(Fabp7-cre/Esr1*)#Hoso,
Tg(Fabp7-cre,-lacZ)3Gtm,
Tgfb3tm1(cre)Vk,
Tg(Fev-cre)1Esd,
Tg(Fev-cre)2Esd,
Tg(Fev-cre)FF3Pasq,
Tg(Fev-cre)FF9Pasq,
Tg(Fev-cre)FM3Pasq,
Tg(Fev-flpe)1Dym,
Tg(Fezf2-cre/ERT2)#Bche,
Tg(Fgfr3-icre/ERT2)4-2Wdr,
Tg(Flt1-cre/ERT2)1Tmak,
Tg(FOXJ1-cre)F26Htzm,
Tg(Fpr-rs3-cre,-GFP)2Irod,
Tg(Fpr-rs3-cre,-GFP)#Irod,
Tg(Fpr-rs3-Venus,-cre)5Irod,
Tg(Fpr-rs3-Venus,-cre)#Irod,
Tg(Frzb-cre)1Tylz,
Tg(Frzb-cre)2Tylz,
Tg(Frzb-cre)3Tylz,
Tg(Fstl4-cre/ERT)1Jrs,
Tg(Fzd10-cre/Esr1*)1Chzh,
Tg(Fzd9-cre)1Chzh,
Tg(Gabra6-cre)B1Lfr,
Tg(Gabra6-cre)CWwis,
Tg(Gabrr3-cre)KC112Gsat,
Tg(Gad2-Ncre)1Jhi,
Tg(Gad2-Ncre/ERT2)1Jhi,
Tg(Galnt18-cre/ERT2)10Yyan,
Tg(Gata1-cre)1Sho,
Tg(Gata3-cre)2471Jeng,
Tg(Gata3-cre)2476Jeng,
Tg(Gata3*-cre)2481Jeng,
Tg(Gcg-icre)23Cshi,
Tg(Gcm2-cre)OC103Gsat,
Tg(GFAP-Ccre)FFki,
Tg(GFAP-cre)1Gtm,
Tg(GFAP-cre)1Kdmc,
Tg(GFAP-cre)25Mes,
Tg(Gfap-cre)2Brn,
Tg(Gfap-cre)73.12Mvs,
Tg(Gfap-cre)77.6Mvs,
Tg(GFAP-cre)8Gtm,
Tg(GFAP-cre/ERT2)13Kdmc,
Tg(GFAP-cre/ERT2)505Fmv,
Tg(GFAP-cre/Esr1*)10Kdmc,
Tg(GFAP-cre/Esr1*,-lacZ)ASbk,
Tg(GFAP-cre/Esr1*,-lacZ)BSbk,
Tg(Gfap-flpo)62Thara,
Tg(GFAP-Ncre)VFki,
Tg(Gfy-cre)1Yyos,
Tg(Gfy-cre,-Gap43/Venus)#Juhi,
Tg(GH1-cre)1Sac,
Tg(Gh1-cre)bKnmn,
Tg(Ghrhr-cre)3242Lsk,
Tg(Gja10-cre)14Brsk,
Tg(Gja10-cre/ERT2)#Tfur,
Tg(Gjb6-cre/ERT2)53-33Fwp,
Tg(Glp1r-icre)#Fmgb,
Tg(Gng7-cre)KH71Gsat,
Tg(Gnrh1-cre)1Dlc,
Tg(Gnrh1-cre)1Gsc,
Tg(Gnrh1-cre)1Rsp,
Tg(Gnrh1-cre)35Awo,
Tg(Gnrh1-icre/ERT2)9Jde,
Tg(Gnrh1-icre/Esr1*)1Rsp,
Tg(Gnrh1-tetO-cre,CMV-tetR)1Awo,
Tg(Gpr151-cre)#Ito,
Tg(Gpr17-icre/ERT2)#Ldim,
Tg(Gpr26-cre)KO250Gsat,
Tg(Gpr26-cre)KO273Gsat,
Tg(Gpr52-cre)116FKohi,
Tg(Gpr88-cre)1Kmik,
Tg(Gpr88-cre)RX50Gsat,
Tg(Grik4-cre)1Phs,
Tg(Grik4-cre)G32-4Stl,
Tg(Grik4-cre)G35-3Stl,
Tg(Grin2c-cre/PGR)25Mim,
Tg(Grm2-cre)MR90Gsat,
Tg(Grm6-cre)7Tfur,
Tg(Grm6-cre)#Brsk,
Tg(Grm6-cre)#Rolw,
Tg(Grm6-icre)1Rlbn,
Tg(Grp-cre)KH288Gsat,
Tg(Grpr-icre)#Mlag,
Tg(GSX2-cre,-EGFP)4Kc,
Tg(Gsx2-icre)1Kess,
Tg(Hand2-cre)7-1Clou,
Tg(Hap1-cre)RE55Gsat,
Tg(Hbb/Hoxa2-cre)1Fmr,
Tg(Hbb/Hoxa2-cre)2Fmr,
Tg(HCRT-cre)1Stak,
Tg(HCRT-EGFP,-cre)1Ahky,
Tg(Hdnr-icre)5Phg,
Tg(Hmx3-icre)1Kess,
Tg(Hoxa2-cre)1Dym,
Tg(Hoxb6-cre)C33Mku,
Tg(Hoxb7-cre)13Amc,
Tg(Hoxb7-cre)1Jpa,
Tg(Hoxb7-cre)5526Cmb,
Tg(Hoxb8-cre)1403Uze,
Tg(hs1006-cre/ERT2,-GFP)1Jlr,
Tg(hs218-Ccre,-lacZ)1Fawa,
Tg(hs23-Ccre,-lacZ)1Fawa,
Tg(hs611-Ncre,-lacZ)1Fawa,
Tg(hs799-cre/ERT2,-GFP)405Jlr,
Tg(Hspa2-cre)1Eddy,
Tg(Htr1a-icre)1Fto,
Tg(Htr2a-cre)KM208Gsat,
Tg(Htr3a-cre)NO152Gsat,
Tg(I12b-cre)1Jlr,
Tg(Iapp-cre)1Oyak,
Tg(Icam5-cre)DYyos,
Tg(Igbp1b-cre)1Imku,
Tg(Inha-cre)1Zuk,
Tg(Inha-cre)2Zuk,
Tg(Ins2-cre)23Herr,
Tg(Ins2-cre)25Mgn,
Tg(Ins2-cre/ERT)1Dam,
Tg(INS-icre)18Msdr,
Tg(Itgam-cre)AJva,
Tg(ITGAM-cre/ERT2)F9Jckr,
Tg(Jam2-cre/ERT2)2Jrs,
Tg(Jdp2-cre)#Kkyo,
Tg(Kap-icre)29066/2Sig,
Tg(Kcnc1-cre)MN77Gsat,
Tg(Kcnc2-cre)K128Stl,
Tg(Kcng4-cre/ERT2)#Brsk,
Tg(Kcnip2-cre)OP11Gsat,
Tg(Kdr-cre)15962Brei,
Tg(Kdr-cre)15964Brei,
Tg(Kera-cre)KC4.3Wwk,
Tg(Kiss1-cre,-AcGFP)1Nurep,
Tg(Kiss1-cre)J2-4Cfe,
Tg(Kit-cre)151Eks,
Tg(Klk8-cre)NP157Gsat,
Tg(KRT14-cre)1Amc,
Tg(KRT18-cre/ERT2)1Rgo,
Tg(KRT5-cre)5132Jlj,
Tg(KRT5-cre/ERT)SCmch,
Tg(Lck-icre)3779Nik,
Tg(Lfng-cre/ERT2)1Mmsa,
Tg(Lhb-cre)1Sac,
Tg(LHX3-cre)#Sjr,
Tg(Lhx6-icre)1Kess,
Tg(Lhx8-icre)1Kess,
Tg(Lmx1a-cre)1Kjmi,
Tg(Lypd1-cre)NR149Gsat,
Tg(Lypd1-cre)NR151Gsat,
Tg(Lypd1-cre)SE5Gsat,
Tg(Lypd6b-cre)1Sleep,
Tg(Lyve1-cre/ERT2)49Rtem,
Tg(Mafg-Nrf2/cre,-EGFP)737Hozu,
Tg(Mbp-cre)6Gvn,
Tg(Mbp-cre)9Gvn,
Tg(Mchr1-cre)1Emf,
Tg(Mchr1-cre/ERT2)2Nbe,
Tg(Mchr1-cre/ERT2)3Nbe,
Tg(mI56i-cre,-EGFP)1Kc,
Tg(mI56i-flpe)39Fsh,
Tg(Mitf-cre)7114Gsb,
Tg(MMTV-cre)4Mam,
Tg(Mnx1-cre/ERT2)8Rbro,
Tg(Mobp-icre/ERT2)10Dbe,
Tg(Mobp-icre/ERT2)16Dbe,
Tg(Mpz-cre)1Brn,
Tg(Mpz-cre)3Brn,
Tg(Mpz-cre)94Imeg,
Tg(Msx2-cre/ERT2)2Nono,
Tg(Mx1-cre)1Cgn,
Tg(Mx1-cre)29-4Her,
Tg(Myh11-cre)5013Gko,
Tg(Myh11-cre,-EGFP)2Mik,
Tg(Myh11-dre/ERT2)#Cya,
Tg(Myl1-cre)13Nros,
Tg(Mylpf-cre)3Kraj,
Tg(MYOD1-cre)M23Glh,
Tg(Nefh-cre)12Kul,
Tg(Nefh-cre)22Jcol,
Tg(NEFL-cre)50Msd,
Tg(Nes-cre)1Atp,
Tg(Nes-cre)1Kag,
Tg(Nes-cre)1Kln,
Tg(Nes-cre)1Nogu,
Tg(Nes-cre)1Sasa,
Tg(Nes-cre)1Wmz,
Tg(NES-cre)#Ajde,
Tg(Nes-cre/ERT2)1Fsh,
Tg(Nes-cre/ERT2)1Imayo,
Tg(Nes-cre/ERT2)4Imayo,
Tg(Nes-cre/ERT2)5-1Imayo,
Tg(Nes-cre/ERT2)73Lfp,
Tg(Nes-cre/ERT2,-EGFP,-HBEGF)1Lfp,
Tg(Nes-cre/Esr1*)4Ynj,
Tg(Nes-phiC31*)1Imayo,
Tg(Nes-phiC31*/ERT2)2Imayo,
Tg(Nes-phiC31*/ERT2)4Imayo,
Tg(Neurod1-cre)1Able,
Tg(Neurod1-cre/ERT2)M1Fcal,
Tg(Neurog1-cre)1Jejo,
Tg(Neurog1-cre/ERT2)1Good,
Tg(Neurog2-cre/ERT2)G2ATahi,
Tg(Neurog2-cre/GFP)1Stoy,
Tg(Neurog3-cre)C1Able,
Tg(Nkx2-1-cre)1Wdr,
Tg(Nkx2-1-cre)2Sand,
Tg(Nmb-cre/ERT)#Kras,
Tg(Nms-icre)20Ywa,
Tg(Nphs1-cre)1Seq,
Tg(Npy1r-cre)RL2Gsat,
Tg(Npy2r-cre)1Tfur,
Tg(Npy-cre)RH26Gsat,
Tg(Nr2e1-cre/ERT2)1Gsc,
Tg(Nr5a1-cre)2Klp,
Tg(Nr5a1-cre)2Lowl,
Tg(Nr5a1-cre)7Lowl,
Tg(Nrp2-cre,-EGFP)#Qsch,
Tg(Nrp2-cre/ERT2,-Kikume)1Qsch,
Tg(Nrp2-flpo)#Past,
Tg(Nts-cre)RH4Gsat,
Tg(Ntsr1-cre)GN220Gsat,
Tg(Omp-cre)#Sbo,
Tg(Opalin-icre/ERT2)#Rjfl,
Tg(OPN1LW-cre)4Yzl,
Tg(Opn1mw-cre)1Asw,
Tg(Opn1sw-cre)1Asw,
Tg(Opn4-cre)#Yau,
Tg(Or4e5-cre)1Hsak,
Tg(Osr1-cre)4Mrt,
Tg(Oxr1-cre)C14Stl,
Tg(Oxtr-cre)ON82Gsat,
Tg(Pax2-cre)1Akg,
Tg(Pax2-cre)1Amc,
Tg(Pax3-cre)#Patr,
Tg(Pax6-cre)1Knd,
Tg(Pax6-cre)1Rilm,
Tg(Pax6-cre)1Zkoz,
Tg(Pax6-cre,GFP)1Pgr,
Tg(Pax6-cre,GFP)2Pgr,
Tg(Pcdh21-cre)BYoko,
Tg(Pcdh21-cre/ERT)CYoko,
Tg(Pcp2-cre)1Amc,
Tg(Pcp2-cre)22Lfr,
Tg(Pcp2-cre)2Mpin,
Tg(Pcp2-cre)3555Jdhu,
Tg(Pcp2-cre)3Mdk,
Tg(Pcp2-cre)756Mro,
Tg(Pcp2-cre)GN135Gsat,
Tg(Pde1b-cre)OZ114Gsat,
Tg(Pde1c-cre)IT146Gsat,
Tg(Pdgfb-icre/ERT2,-EGFP)1Frut,
Tg(Pdgfra-cre)1Clc,
Tg(Pdgfra-cre/ERT2)1Wdr,
Tg(Pdgfra-cre/ERT)467Dbe,
Tg(Pdgfrb-FLP1,Cspg4-cre/ERT2)#Bvz,
Tg(Pdpn-cre)HRkl,
Tg(Pdx1-cre)6Tuv,
Tg(Pdx1-cre)89.1Dam,
Tg(Pdx1-cre/Esr1*)1Mga,
Tg(Pdzk1ip1-cre/ERT2)#Reiz,
Tg(Pf4-icre)Q3Rsko,
Tg(Phox2a-cre)1Kania,
Tg(Phox2b-cre)3Jke,
Tg(Pitx1-cre)7Rsd,
Tg(Pitx3-cre/ERT2)1Yqd,
Tg(Plp1-Ccre)RFki,
Tg(Plp1-cre/ERT2)1Ueli,
Tg(Plp1-cre/ERT)3Pop,
Tg(Plp1-Ncre)DFki,
Tg(Plxnd1-cre)OG1Gsat,
Tg(Pmch-cre)1Lowl,
Tg(Pomc1-cre)16Lowl,
Tg(Pomc1-cre)1Gsb,
Tg(Pomc-cre)1Lowl,
Tg(Pomc-cre)5Brn,
Tg(Pomc*-cre/ERT2)#Rlb,
Tg(Pomc*-cre)#Jdr,
Tg(Pomc-dre)#Jcbr,
Tg(POU3F4-cre)M51Cren,
Tg(Pou4f3-cre)1Devet,
Tg(Ppp1r17-cre)NL146Gsat,
Tg(Ppp1r1b-cre)1Meeh,
Tg(Ppp1r2-cre)4127Nkza,
Tg(Prdm1-cre)1Masu,
Tg(Pres-cre)1Jnz,
Tg(Prl-cre)#Salr,
Tg(Prm-cre)58Og,
Tg(Prnp-cre/ERT)28.4Ics,
Tg(Prop1-cre)1Rsd,
Tg(Prop1-icre)517Sac,
Tg(Prph1-cre)11Dmd,
Tg(Prph1-cre)25Dmd,
Tg(Prph1-cre)35Dmd,
Tg(Prrx1-cre)1Cjt,
Tg(Prrx1-mTFP1,-cre/ERT2)1Etnka,
Tg(Prrxl1-cre)#Fmr,
Tg(Pvalb-cre)1Mony,
Tg(Pvalb-cre)1Tama,
Tg(Rarb-cre)1Bhr,
Tg(RARE/Hspa1b-cre/ERT2)#Asc,
Tg(Rasgrp1-cre)PO14Gsat,
Tg(Rasgrp1-cre)PO1Gsat,
Tg(Rax-cre)1Zkoz,
Tg(Rbp3-cre)1Brn,
Tg(Rbp4-cre)KL100Gsat,
Tg(Rcan2-cre)ON50Gsat,
Tg(Relb-cre)53Rie,
Tg(REN-cre)1Haca,
Tg(Retn-cre)1Laz,
Tg(Retnla-cre)#Voeh,
Tg(Rgs14-cre)SR63Gsat,
Tg(Rgs8-cre)OK14Gsat,
Tg(RHO-cre)16Eap,
Tg(RHO-cre)1Qliu,
Tg(Rho-cre)1Yzl,
Tg(Rho-cre)2Yzl,
Tg(RHO-cre)8Eap,
Tg(Rho-icre)1Ck,
Tg(Rlbp1-cre/ERT2,-EGFP)1Wshn,
Tg(Rr141-cre)1Ksec,
Tg(Rr291-cre)6-2Clou,
Tg(Rr323-cre,-Gap43/Venus)13Juhi,
Tg(Rr355-cre)1Jlr,
Tg(Rr5-GFP/cre)1Sapc,
Tg(Rspo2-cre)#Ito,
Tg(rtetR-tetO-cre)1Mhz,
Tg(rtetR-tetO-cre)40Mhz,
Tg(Runx2-icre)1Jtuc,
Tg(rx3-cre,-EGFP)MB31Zkoz,
Tg(rx3-icre)1Mjam,
Tg(Rxfp3-cre)RS38Gsat,
Tg(S100b-cre)20Ito,
Tg(Scgn-cre)#Gsz,
Tg(Scnn1a-cre)3Aibs,
Tg(Scx-cre)HShuk,
Tg(Selenow-cre)NP39Gsat,
Tg(Sftpa1-cre)1Xya,
Tg(Shh-cre/ERT2)#aYjg,
Tg(Sim1-cre)1Lowl,
Tg(Sim1-cre)2Lowl,
Tg(Sim1-cre)KJ18Gsat,
Tg(Sim1-cre)KJ27Gsat,
Tg(Sim1-cre)#Lowl,
Tg(Six1-cre)1Kwk,
Tg(Six1-cre)2Kwk,
Tg(Six3-cre)69Frty,
Tg(Slc16a8-cre/ERT2,-EGFP)1Moss,
Tg(Slc17a6-cre)OX30Gsat,
Tg(Slc17a6-icre)1Oki,
Tg(Slc17a8-icre)1Edw,
Tg(SLC18A3-cre)AMisa,
Tg(SLC18A3-cre)KMisa,
Tg(Slc1a3-cre/ERT)1Nat,
Tg(Slc1a3-cre/ERT2)45-72Fwp,
Tg(Slc26a5-cre)#Jnz,
Tg(Slc32a1-cre)65Kzy,
Tg(Slc6a11-cre/ERT2)1Khakh,
Tg(Slc6a2-cre)FV317Gsat,
Tg(Slc6a2-cre)FV319Gsat,
Tg(Slc6a3-cre/ERT2)1Span,
Tg(Slc6a3-cre)SG56Gsat,
Tg(Slc6a3-cre)SG62Gsat,
Tg(Slc6a3-icre)1Fto,
Tg(Slc6a3-icre)9075Gsc,
Tg(Slc6a3-icre)9190Gsc,
Tg(Slc6a4-cre)208Ito,
Tg(Slc6a4-cre)810Ito,
Tg(Slc6a4-cre/ERT2)EZ8Gsat,
Tg(Slc6a4-cre)ET124Gsat,
Tg(Slc6a4-cre)ET127Gsat,
Tg(Slc6a4-cre)ET33Gsat,
Tg(Slc6a4-cre)ET35Gsat,
Tg(Slc6a4-cre)#Ito,
Tg(Slc6a5-Ccre)1Jhi,
Tg(Slc6a5-ERT2/Ccre)1Jhi,
Tg(Slc6a5-icre)121Veul,
Tg(Slco1c1-icre)1Mash,
Tg(Slco1c1-icre/ERT2)1Mash,
Tg(Smad7-cre)1Sjc,
Tg(Sox10-cre)507Mcln,
Tg(Sox10-cre/ERT2)#Shka,
Tg(Sox10-ERT2/cre/ERT2)17Sor,
Tg(Sox10-icre/ERT2)388Wdr,
Tg(Sox2-cre/ERT2)1Skn,
Tg(Sox9-cre/ERT2)1Msan,
Tg(Sp7-cre/ERT2)#Hmk,
Tg(Sprr2f-cre)1Dcas,
Tg(Stab2-icre)1.2Cger,
Tg(Stra8-icre)1Reb,
Tg(Syn1-cre)671Jxm,
Tg(Syt17-cre)NO14Gsat,
Tg(Syt6-cre)KI148Gsat,
Tg(Tagln-cre)1Her,
Tg(Tagln-cre)1Jomm,
Tg(Tal1-cre/ERT)145AJame,
Tg(Tal1-cre/ERT)1Jrg,
Tg(Tal1-cre/ERT)90Jame,
Tg(Tbx1-cre)1Joe,
Tg(Tbx21-cre)1Dlc,
Tg(Tbx21-cre)1Yyos,
Tg(Tcfap2a-cre)1Will,
Tg(TCF/Lef1-cre/ERT2)1Dje,
Tg(T-cre)1Lwd,
Tg(Tek-cre)12Flv,
Tg(Tek-cre)1Rwng,
Tg(Tek-cre)1Ywa,
Tg(Tek-cre)5326Sato,
Tg(Tek-cre/ERT2)1Arnd,
Tg(Tek-icre/ERT2)1Soff,
Tg(tetO-cre)1Kdmc,
Tg(tetO-cre)1Lin,
Tg(tetO-cre)LC1Bjd,
Tg(Th-cre)12Mrub,
Tg(Th-cre)FI12Gsat,
Tg(Th-cre)FI172Gsat,
Tg(Th-phiC31*)1Imayo,
Tg(Thy1-cre)1Vln,
Tg(Thy1-cre)703Vaw,
Tg(Thy1-cre/PGR*)1Gsc,
Tg(Tie1-cre)9Ref,
Tg(Tlx2-cre)#Ymor,
Tg(Tlx3-cre)PL56Gsat,
Tg(TNS4-cre)1Shlo,
Tg(Trh-cre)40Anh,
Tg(Trh-cre)5Anh,
Tg(Tshb-cre)4Sac,
Tg(TSPY1-cre)33aYfcl,
Tg(Tyr-cre)1Gfk,
Tg(Tyr-cre)1Lru,
Tg(Tyr-cre)3Gfk,
Tg(Tyr-cre/ERT2)13Bos,
Tg(Tyr-cre)#Lru,
Tg(Tyrp1-cre)1Ipc,
Tg(Tyrp1-cre/ERT2)1Jwk,
Tg(Uchl1-cre)NO63Gsat,
Tg(Ucp1-cre)1Evdr,
Tg(Vav1-cre)8Cgp,
Tg(Vil1-cre)997Gum,
Tg(Vip-cre)PH13Gsat,
Tg(Vipr2-cre)KH234Gsat,
Tg(Wfs1-cre/ERT2)3Aibs,
Tg(Wnt1-cre/ERT)1Alj,
Tg(Wnt1-cre/Esr1*)10Rth,
Tg(Wnt1-FLP1)1Dym,
Tg(Zic4-icre)1Kess,
Tg(Zp3-cre)3Mrt,
Thtm1.1(flpo)Awar,
Thtm1(cre/Esr1)Nat,
Thtm1(cre)Te,
Tlr2tm1(cre)Dfil,
Tmem119em1(cre/ERT2)Gfng,
Tmem163Tg(ACTB-cre)2Mrt,
Tnctm1(cre/ERT2)Cmha,
Tnfrsf19tm1.1(cre/ERT2)Cle,
Tpcn2tm1.1(cre)Lrcb,
Trhem1(dre)Lowl,
Trhtm1.1(cre)Mjkr,
Trpa1em1(icre)Kob,
Trpc5tm1.1(cre)Dbru,
Trpm4tm1.1(cre)Zuf,
Trpm5tm1.1(cre)Uboe,
Trpv4em1(cre/ERT2)Amc,
Tshz1tm1(flpo)Zjh,
Ttyh1em1(icre/ERT2)Minz,
Twist2tm1.1(cre)Dor,
Twist2tm1(cre/ERT2)Eno,
Unc5btm1.1(cre/ERT2)Zjh,
Vamp2tm1(cre/ERT)Nat,
Vdrem1(cre)Ssis,
Vil1em1(flpo)Lbrl,
Vipr2em1.1(cre)Hze,
Viptm1.1(cre)Pful,
Viptm1(cre)Zjh,
Vsx2tm2(EGFP/cre/ERT2)Wtsi,
Wnt3atm1.1(cre)Mull,
Wt1tm1(EGFP/cre)Wtp
(less)
|
|