About   Help   FAQ
Phenotype Images associated with this Gene
Symbol
Name
ID
Ngf
nerve growth factor
MGI:97321


3 phenotype image(s) for Ngf alleles
Showing image(s) 1 to 3

Click on thumbnail to view full size image with links to phenotype annotations.
Click on allele symbol for full phenotype details.

Caption: Adult Ngftm1.1Blhe/Ngf+ mice exhibit dilated cardiomyopathy and fibrosis and this phentoype is rescued in Ngfrtm1Jae/Ngfrtm1Jae Ngftm1.1Blhe/Ngf+ mice (details)
Represented Alleles:
Ngfrtm1Jae, nerve growth factor receptor (TNFR superfamily, member 16); targeted mutation 1, Rudolf Jaenisch
Ngftm1.1Blhe, nerve growth factor; targeted mutation 1.1, Barbara L Hempstead
Copyright: This image is from Siao CJ, J Exp Med 2012 Nov 19;209(12):2291-305, and is displayed under the terms of the Creative Commons Attribution-Noncommercial-Share Alike 3.0 Unported License. J:190893
Caption: Hearts from adult Ngftm1.1Blhe/Ngf+ mice exhibit microvascular damage and hearts from juveniles show early signs of endothelial cell activation and microvascular damage (details)
Represented Alleles:
Ngftm1.1Blhe, nerve growth factor; targeted mutation 1.1, Barbara L Hempstead
Copyright: This image is from Siao CJ, J Exp Med 2012 Nov 19;209(12):2291-305, and is displayed under the terms of the Creative Commons Attribution-Noncommercial-Share Alike 3.0 Unported License. J:190893
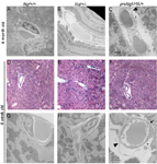
Caption: Abnormalities in the microvasculature of hearts from Ngftm1.1Blhe/Ngf+ mice and rescue of the phenotype in Ngfrtm1Jae/Ngfrtm1Jae Ngftm1.1Blhe/Ngf+ mice (details)
Represented Alleles:
Ngfrtm1Jae, nerve growth factor receptor (TNFR superfamily, member 16); targeted mutation 1, Rudolf Jaenisch
Ngftm1.1Blhe, nerve growth factor; targeted mutation 1.1, Barbara L Hempstead
Copyright: This image is from Siao CJ, J Exp Med 2012 Nov 19;209(12):2291-305, and is displayed under the terms of the Creative Commons Attribution-Noncommercial-Share Alike 3.0 Unported License. J:190893

Contributing Projects:
Mouse Genome Database (MGD), Gene Expression Database (GXD), Mouse Models of Human Cancer database (MMHCdb) (formerly Mouse Tumor Biology (MTB)), Gene Ontology (GO)
Citing These Resources
Funding Information
Warranty Disclaimer, Privacy Notice, Licensing, & Copyright
Send questions and comments to User Support.
last database update
12/30/2025
MGI 6.24
The Jackson Laboratory