About   Help   FAQ
Phenotype Images associated with this Gene
Symbol
Name
ID
b2b1827Clo
Mutant line 1827
MGI:5438054


10 phenotype image(s) for b2b1827Clo alleles
Showing image(s) 1 to 10

Click on thumbnail to view full size image with links to phenotype annotations.
Click on allele symbol for full phenotype details.

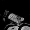
Caption: Mutant 1827-002-5 displays single large great artery arising from the heart (details)
Represented Alleles:
b2b1827Clo, Mutant line 1827; Bench to Bassinet Program (B2B/CVDC), mutation 1827 Cecilia Lo
Copyright: This image is from the Laboratory of Dr. Cecilia Lo, a member of the Cardiovascular Development Consortium (CvDC), Bench to Bassinet (B2B) program of the National Heart Lung and Blood Institute (NHLBI), and is displayed with the permission of the authors. J:175213
Caption: EFIC Summary (details)
Represented Alleles:
b2b1827Clo, Mutant line 1827; Bench to Bassinet Program (B2B/CVDC), mutation 1827 Cecilia Lo
Copyright: This image is from the Laboratory of Dr. Cecilia Lo, a member of the Cardiovascular Development Consortium (CvDC), Bench to Bassinet (B2B) program of the National Heart Lung and Blood Institute (NHLBI), and is displayed with the permission of the authors. J:175213
Caption: Serial 2D EFIC image stack of 1827-002-5 (E14.5) in the coronal plane reveals DORV, hypoplastic PA, subaortic VSD, closed ductus arteriosus, biventricular hypertrophy
Click thumbnail to play movie. (details)
Represented Alleles:
b2b1827Clo, Mutant line 1827; Bench to Bassinet Program (B2B/CVDC), mutation 1827 Cecilia Lo
Copyright: This image is from the Laboratory of Dr. Cecilia Lo, a member of the Cardiovascular Development Consortium (CvDC), Bench to Bassinet (B2B) program of the National Heart Lung and Blood Institute (NHLBI), and is displayed with the permission of the authors. J:175213
Caption: Mutant 1827-002-1 (E17.5) has a right aortic arch (details)
Represented Alleles:
b2b1827Clo, Mutant line 1827; Bench to Bassinet Program (B2B/CVDC), mutation 1827 Cecilia Lo
Copyright: This image is from the Laboratory of Dr. Cecilia Lo, a member of the Cardiovascular Development Consortium (CvDC), Bench to Bassinet (B2B) program of the National Heart Lung and Blood Institute (NHLBI), and is displayed with the permission of the authors. J:175213
Caption: Mutant 1827-002-1 (E17.5) shows microphthalmia (details)
Represented Alleles:
b2b1827Clo, Mutant line 1827; Bench to Bassinet Program (B2B/CVDC), mutation 1827 Cecilia Lo
Copyright: This image is from the Laboratory of Dr. Cecilia Lo, a member of the Cardiovascular Development Consortium (CvDC), Bench to Bassinet (B2B) program of the National Heart Lung and Blood Institute (NHLBI), and is displayed with the permission of the authors. J:175213
Caption: Mutant 1827-002-1 (E17.5) exhibits cleft palate (details)
Represented Alleles:
b2b1827Clo, Mutant line 1827; Bench to Bassinet Program (B2B/CVDC), mutation 1827 Cecilia Lo
Copyright: This image is from the Laboratory of Dr. Cecilia Lo, a member of the Cardiovascular Development Consortium (CvDC), Bench to Bassinet (B2B) program of the National Heart Lung and Blood Institute (NHLBI), and is displayed with the permission of the authors. J:175213
Caption: EFIC Summary (details)
Represented Alleles:
b2b1827Clo, Mutant line 1827; Bench to Bassinet Program (B2B/CVDC), mutation 1827 Cecilia Lo
Copyright: This image is from the Laboratory of Dr. Cecilia Lo, a member of the Cardiovascular Development Consortium (CvDC), Bench to Bassinet (B2B) program of the National Heart Lung and Blood Institute (NHLBI), and is displayed with the permission of the authors. J:175213
Caption: Serial 2D EFIC image stack of 1827-002-1 (E17.5) in the coronal plane reveals right aortic arch
Click thumbnail to play movie. (details)
Represented Alleles:
b2b1827Clo, Mutant line 1827; Bench to Bassinet Program (B2B/CVDC), mutation 1827 Cecilia Lo
Copyright: This image is from the Laboratory of Dr. Cecilia Lo, a member of the Cardiovascular Development Consortium (CvDC), Bench to Bassinet (B2B) program of the National Heart Lung and Blood Institute (NHLBI), and is displayed with the permission of the authors. J:175213
Caption: EFIC Summary (details)
Represented Alleles:
b2b1827Clo, Mutant line 1827; Bench to Bassinet Program (B2B/CVDC), mutation 1827 Cecilia Lo
Copyright: This image is from the Laboratory of Dr. Cecilia Lo, a member of the Cardiovascular Development Consortium (CvDC), Bench to Bassinet (B2B) program of the National Heart Lung and Blood Institute (NHLBI), and is displayed with the permission of the authors. J:175213
Caption: Serial 2D EFIC image stack of 1827-003-1 (E14.5) in the coronal plane reveals DORV, AVSD, muscular VSD, right aortic arch
Click thumbnail to play movie. (details)
Represented Alleles:
b2b1827Clo, Mutant line 1827; Bench to Bassinet Program (B2B/CVDC), mutation 1827 Cecilia Lo
Copyright: This image is from the Laboratory of Dr. Cecilia Lo, a member of the Cardiovascular Development Consortium (CvDC), Bench to Bassinet (B2B) program of the National Heart Lung and Blood Institute (NHLBI), and is displayed with the permission of the authors. J:175213

Contributing Projects:
Mouse Genome Database (MGD), Gene Expression Database (GXD), Mouse Models of Human Cancer database (MMHCdb) (formerly Mouse Tumor Biology (MTB)), Gene Ontology (GO)
Citing These Resources
Funding Information
Warranty Disclaimer, Privacy Notice, Licensing, & Copyright
Send questions and comments to User Support.
last database update
12/30/2025
MGI 6.24
The Jackson Laboratory