About   Help   FAQ
Phenotype Images associated with this Gene
Symbol
Name
ID
b2b913Clo
Mutant line 913
MGI:5316765


9 phenotype image(s) for b2b913Clo alleles
Showing image(s) 1 to 9

Click on thumbnail to view full size image with links to phenotype annotations.
Click on allele symbol for full phenotype details.

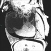
Caption: Small right ventricle (RV) and hypoplastic pulmonary trunk in mutant 913-005-NA (details)
Represented Alleles:
b2b913Clo, Mutant line 913; Bench to Bassinet Program (B2B/CvDC), mutation 913 Cecilia Lo
Copyright: This image is from the Laboratory of Dr. Cecilia Lo, a member of the Cardiovascular Development Consortium (CvDC), Bench to Bassinet (B2B) program of the National Heart Lung and Blood Institute (NHLBI), and is displayed with the permission of the authors. J:175213
Caption: 2D serial EFIC image stack in the coronal view of mutant 913-005-NA reveals right aortic arch (RAA) and hypoplastic right heart sydrome: small tricuspid valve and right ventricle, hypoplastic pulmonary artery
Click thumbnail to play movie. (details)
Represented Alleles:
b2b913Clo, Mutant line 913; Bench to Bassinet Program (B2B/CvDC), mutation 913 Cecilia Lo
Copyright: This image is from the Laboratory of Dr. Cecilia Lo, a member of the Cardiovascular Development Consortium (CvDC), Bench to Bassinet (B2B) program of the National Heart Lung and Blood Institute (NHLBI), and is displayed with the permission of the authors. J:175213
Caption: Coronal movie obtained from micro-CT scan of mutant 913-005-NA reveals hypoplastic right heart syndrome
Click thumbnail to play movie. (details)
Represented Alleles:
b2b913Clo, Mutant line 913; Bench to Bassinet Program (B2B/CvDC), mutation 913 Cecilia Lo
Copyright: This image is from the Laboratory of Dr. Cecilia Lo, a member of the Cardiovascular Development Consortium (CvDC), Bench to Bassinet (B2B) program of the National Heart Lung and Blood Institute (NHLBI), and is displayed with the permission of the authors. J:175213
Caption: EFIC summary (details)
Represented Alleles:
b2b913Clo, Mutant line 913; Bench to Bassinet Program (B2B/CvDC), mutation 913 Cecilia Lo
Copyright: This image is from the Laboratory of Dr. Cecilia Lo, a member of the Cardiovascular Development Consortium (CvDC), Bench to Bassinet (B2B) program of the National Heart Lung and Blood Institute (NHLBI), and is displayed with the permission of the authors. J:175213
Caption: Mutant 913-005-NB exhibit right aortic arch wtih ventricular hypertrophy shown by EFIC imaging. (details)
Represented Alleles:
b2b913Clo, Mutant line 913; Bench to Bassinet Program (B2B/CvDC), mutation 913 Cecilia Lo
Copyright: This image is from the Laboratory of Dr. Cecilia Lo, a member of the Cardiovascular Development Consortium (CvDC), Bench to Bassinet (B2B) program of the National Heart Lung and Blood Institute (NHLBI), and is displayed with the permission of the authors. J:175213
Caption: EFIC summary (details)
Represented Alleles:
b2b913Clo, Mutant line 913; Bench to Bassinet Program (B2B/CvDC), mutation 913 Cecilia Lo
Copyright: This image is from the Laboratory of Dr. Cecilia Lo, a member of the Cardiovascular Development Consortium (CvDC), Bench to Bassinet (B2B) program of the National Heart Lung and Blood Institute (NHLBI), and is displayed with the permission of the authors. J:175213
Caption: 2D serial EFIC image stack in the coronal view of 913-005-ND reveals biventricular hypertrophy
Click thumbnail to play movie. (details)
Represented Alleles:
b2b913Clo, Mutant line 913; Bench to Bassinet Program (B2B/CvDC), mutation 913 Cecilia Lo
Copyright: This image is from the Laboratory of Dr. Cecilia Lo, a member of the Cardiovascular Development Consortium (CvDC), Bench to Bassinet (B2B) program of the National Heart Lung and Blood Institute (NHLBI), and is displayed with the permission of the authors. J:175213
Caption: EFIC summary (details)
Represented Alleles:
b2b913Clo, Mutant line 913; Bench to Bassinet Program (B2B/CvDC), mutation 913 Cecilia Lo
Copyright: This image is from the Laboratory of Dr. Cecilia Lo, a member of the Cardiovascular Development Consortium (CvDC), Bench to Bassinet (B2B) program of the National Heart Lung and Blood Institute (NHLBI), and is displayed with the permission of the authors. J:175213
Caption: 2D serial EFIC image stack in the coronal view of mutant 913-005-NB reveals biventricular hypertrophy and right aortic arch
Click thumbnail to play movie. (details)
Represented Alleles:
b2b913Clo, Mutant line 913; Bench to Bassinet Program (B2B/CvDC), mutation 913 Cecilia Lo
Copyright: This image is from the Laboratory of Dr. Cecilia Lo, a member of the Cardiovascular Development Consortium (CvDC), Bench to Bassinet (B2B) program of the National Heart Lung and Blood Institute (NHLBI), and is displayed with the permission of the authors. J:175213

Contributing Projects:
Mouse Genome Database (MGD), Gene Expression Database (GXD), Mouse Models of Human Cancer database (MMHCdb) (formerly Mouse Tumor Biology (MTB)), Gene Ontology (GO)
Citing These Resources
Funding Information
Warranty Disclaimer, Privacy Notice, Licensing, & Copyright
Send questions and comments to User Support.
last database update
12/30/2025
MGI 6.24
The Jackson Laboratory