About   Help   FAQ
Phenotype Images associated with this Gene
Symbol
Name
ID
b2b997Clo
Mutant line 997
MGI:5311345


10 phenotype image(s) for b2b997Clo alleles
Showing image(s) 1 to 10

Click on thumbnail to view full size image with links to phenotype annotations.
Click on allele symbol for full phenotype details.

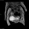
Caption: Mutant 997-006-LA shows heterotaxy indicated by mesocardia, right lung isomerism, and mid-line liver (details)
Represented Alleles:
b2b997Clo, Mutant line 997; Bench to Bassinet Program (B2B/CVDC), mutation 997 Cecilia Lo
Copyright: This image is from the Laboratory of Dr. Cecilia Lo, a member of the Cardiovascular Development Consortium (CvDC), Bench to Bassinet (B2B) program of the National Heart Lung and Blood Institute (NHLBI), and is displayed with the permission of the authors. J:175213
Caption: Mutant 997-006-NA shows heterotaxy indicated by mesocardia, dextrogastria and mid-line liver (details)
Represented Alleles:
b2b997Clo, Mutant line 997; Bench to Bassinet Program (B2B/CVDC), mutation 997 Cecilia Lo
Copyright: This image is from the Laboratory of Dr. Cecilia Lo, a member of the Cardiovascular Development Consortium (CvDC), Bench to Bassinet (B2B) program of the National Heart Lung and Blood Institute (NHLBI), and is displayed with the permission of the authors. J:175213
Caption: Mutant 997-006-NA shows heterotaxy indicated by mesocardia, right lung isomerism, and left-sided IVC (details)
Represented Alleles:
b2b997Clo, Mutant line 997; Bench to Bassinet Program (B2B/CVDC), mutation 997 Cecilia Lo
Copyright: This image is from the Laboratory of Dr. Cecilia Lo, a member of the Cardiovascular Development Consortium (CvDC), Bench to Bassinet (B2B) program of the National Heart Lung and Blood Institute (NHLBI), and is displayed with the permission of the authors. J:175213
Caption: EFIC Summary (details)
Represented Alleles:
b2b997Clo, Mutant line 997; Bench to Bassinet Program (B2B/CVDC), mutation 997 Cecilia Lo
Copyright: This image is from the Laboratory of Dr. Cecilia Lo, a member of the Cardiovascular Development Consortium (CvDC), Bench to Bassinet (B2B) program of the National Heart Lung and Blood Institute (NHLBI), and is displayed with the permission of the authors. J:175213
Caption: Serial 2D EFIC image stack in the coronal plane of 997-006-NA reveals atrioventricular discordant common atrium {A,D,D}, DORV, AVSD, and right lung lobe isomerism
Click thumbnail to view movie. (details)
Represented Alleles:
b2b997Clo, Mutant line 997; Bench to Bassinet Program (B2B/CVDC), mutation 997 Cecilia Lo
Copyright: This image is from the Laboratory of Dr. Cecilia Lo, a member of the Cardiovascular Development Consortium (CvDC), Bench to Bassinet (B2B) program of the National Heart Lung and Blood Institute (NHLBI), and is displayed with the permission of the authors. J:175213
Caption: Mutant 997-006-LB exhibits heterotaxy indicated by TGA, right lung isomerism, and small RV (details)
Represented Alleles:
b2b997Clo, Mutant line 997; Bench to Bassinet Program (B2B/CVDC), mutation 997 Cecilia Lo
Copyright: This image is from the Laboratory of Dr. Cecilia Lo, a member of the Cardiovascular Development Consortium (CvDC), Bench to Bassinet (B2B) program of the National Heart Lung and Blood Institute (NHLBI), and is displayed with the permission of the authors. J:175213
Caption: EFIC Summary (details)
Represented Alleles:
b2b997Clo, Mutant line 997; Bench to Bassinet Program (B2B/CVDC), mutation 997 Cecilia Lo
Copyright: This image is from the Laboratory of Dr. Cecilia Lo, a member of the Cardiovascular Development Consortium (CvDC), Bench to Bassinet (B2B) program of the National Heart Lung and Blood Institute (NHLBI), and is displayed with the permission of the authors. J:175213
Caption: Serial 2D EFIC image stack in the coronal plane of 997-006-LB reveals TGA {S,D,D}, AVSD, common atrium, small RV, right patent ductus arteriosus, vascular ring, and right lung isomerism
Click thumbnail to view movie. (details)
Represented Alleles:
b2b997Clo, Mutant line 997; Bench to Bassinet Program (B2B/CVDC), mutation 997 Cecilia Lo
Copyright: This image is from the Laboratory of Dr. Cecilia Lo, a member of the Cardiovascular Development Consortium (CvDC), Bench to Bassinet (B2B) program of the National Heart Lung and Blood Institute (NHLBI), and is displayed with the permission of the authors. J:175213
Caption: Serial 2D EFIC image stack in the transverse view of 997-006-LB reveals TGA {S,D,D}, AVSD, common atrium, and small RV
Click thumbnail to view movie. (details)
Represented Alleles:
b2b997Clo, Mutant line 997; Bench to Bassinet Program (B2B/CVDC), mutation 997 Cecilia Lo
Copyright: This image is from the Laboratory of Dr. Cecilia Lo, a member of the Cardiovascular Development Consortium (CvDC), Bench to Bassinet (B2B) program of the National Heart Lung and Blood Institute (NHLBI), and is displayed with the permission of the authors. J:175213
Caption: Coronal image stack obtained by micro-CT scan of 997-006-LB reveals TGA {S,D,D}, VSD, vascular ring, and right lung isomerism
Click thumbnail to view movie. (details)
Represented Alleles:
b2b997Clo, Mutant line 997; Bench to Bassinet Program (B2B/CVDC), mutation 997 Cecilia Lo
Copyright: This image is from the Laboratory of Dr. Cecilia Lo, a member of the Cardiovascular Development Consortium (CvDC), Bench to Bassinet (B2B) program of the National Heart Lung and Blood Institute (NHLBI), and is displayed with the permission of the authors. J:175213

Contributing Projects:
Mouse Genome Database (MGD), Gene Expression Database (GXD), Mouse Models of Human Cancer database (MMHCdb) (formerly Mouse Tumor Biology (MTB)), Gene Ontology (GO)
Citing These Resources
Funding Information
Warranty Disclaimer, Privacy Notice, Licensing, & Copyright
Send questions and comments to User Support.
last database update
12/30/2025
MGI 6.24
The Jackson Laboratory