About   Help   FAQ
Phenotype Images associated with this Gene
Symbol
Name
ID
Jam3
junction adhesion molecule 3
MGI:1933825


6 phenotype image(s) for Jam3 alleles
Showing image(s) 1 to 6

Click on thumbnail to view full size image with links to phenotype annotations.
Click on allele symbol for full phenotype details.

Caption: Small body size, severe hydrocephalus, and brain alterations in Jam3tm1Rha/Jam3tm1Rha mice (details)
Represented Alleles:
Jam3tm1Rha, junction adhesion molecule 3; targeted mutation 1, Ralf H Adams
Copyright: This image is from Wyss L, PLoS One 2012;7(9):e45619, and is displayed under the terms of the Creative Commons Attribution 4.0 International License. J:191990
Caption: Hydrocephalus develops over time in Jam3tm1Rha/Jam3tm1Rha mice (details)
Represented Alleles:
Jam3tm1Rha, junction adhesion molecule 3; targeted mutation 1, Ralf H Adams
Copyright: This image is from Wyss L, PLoS One 2012;7(9):e45619, and is displayed under the terms of the Creative Commons Attribution 4.0 International License. J:191990
Caption: Reactive gliosis in Jam3tm1Rha/Jam3tm1Rha mice with hydrocephalus (details)
Represented Alleles:
Jam3tm1Rha, junction adhesion molecule 3; targeted mutation 1, Ralf H Adams
Copyright: This image is from Wyss L, PLoS One 2012;7(9):e45619, and is displayed under the terms of the Creative Commons Attribution 4.0 International License. J:191990
Caption: Loss of cortical layering in the brains of Jam3tm1Rha/Jam3tm1Rha mice with hydrocephalus (details)
Represented Alleles:
Jam3tm1Rha, junction adhesion molecule 3; targeted mutation 1, Ralf H Adams
Copyright: This image is from Wyss L, PLoS One 2012;7(9):e45619, and is displayed under the terms of the Creative Commons Attribution 4.0 International License. J:191990
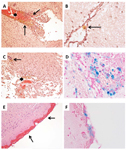
Caption: Hemorrhages within the brain of Jam3tm1Rha/Jam3tm1Rha mice with hydrocephalus (details)
Represented Alleles:
Jam3tm1Rha, junction adhesion molecule 3; targeted mutation 1, Ralf H Adams
Copyright: This image is from Wyss L, PLoS One 2012;7(9):e45619, and is displayed under the terms of the Creative Commons Attribution 4.0 International License. J:191990
Caption: Impaired cerebrospinal fluid drainage from the lateral to the 3rd ventricle in Jam3tm1Rha/Jam3tm1Rha mice with hydrocephalus (details)
Represented Alleles:
Jam3tm1Rha, junction adhesion molecule 3; targeted mutation 1, Ralf H Adams
Copyright: This image is from Wyss L, PLoS One 2012;7(9):e45619, and is displayed under the terms of the Creative Commons Attribution 4.0 International License. J:191990

Contributing Projects:
Mouse Genome Database (MGD), Gene Expression Database (GXD), Mouse Models of Human Cancer database (MMHCdb) (formerly Mouse Tumor Biology (MTB)), Gene Ontology (GO)
Citing These Resources
Funding Information
Warranty Disclaimer, Privacy Notice, Licensing, & Copyright
Send questions and comments to User Support.
last database update
12/30/2025
MGI 6.24
The Jackson Laboratory