About   Help   FAQ
Phenotype Images associated with this Gene
Symbol
Name
ID
Colq
collagen like tail subunit of asymmetric acetylcholinesterase
MGI:1338761


2 phenotype image(s) for Colq alleles
Showing image(s) 1 to 2

Click on thumbnail to view full size image with links to phenotype annotations.
Click on allele symbol for full phenotype details.

Caption: Synapses in some Colqtm1Jrs/Colqtm1Jrs muscle appear immature or fragmented (details)
Represented Alleles:
Colqtm1Jrs, collagen like tail subunit of asymmetric acetylcholinesterase; targeted mutation 1, Joshua R Sanes
Colqtm2Jrs, collagen like tail subunit of asymmetric acetylcholinesterase; targeted mutation 2, Joshua R Sanes
Copyright: This image is from Feng G, J Cell Biol 1999 Mar 22;144(6):1349-60, and is displayed under the terms of the Creative Commons Attribution-Noncommercial-Share Alike 3.0 Unported License. J:54006
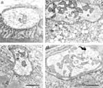
Caption: Abnormal synapses in Colqtm1Jrs/Colqtm1Jrs muscle (details)
Represented Alleles:
Colqtm1Jrs, collagen like tail subunit of asymmetric acetylcholinesterase; targeted mutation 1, Joshua R Sanes
Colqtm2Jrs, collagen like tail subunit of asymmetric acetylcholinesterase; targeted mutation 2, Joshua R Sanes
Copyright: This image is from Feng G, J Cell Biol 1999 Mar 22;144(6):1349-60, and is displayed under the terms of the Creative Commons Attribution-Noncommercial-Share Alike 3.0 Unported License. J:54006

Contributing Projects:
Mouse Genome Database (MGD), Gene Expression Database (GXD), Mouse Models of Human Cancer database (MMHCdb) (formerly Mouse Tumor Biology (MTB)), Gene Ontology (GO)
Citing These Resources
Funding Information
Warranty Disclaimer, Privacy Notice, Licensing, & Copyright
Send questions and comments to User Support.
last database update
12/30/2025
MGI 6.24
The Jackson Laboratory