About   Help   FAQ
Phenotype Image Detail
Image
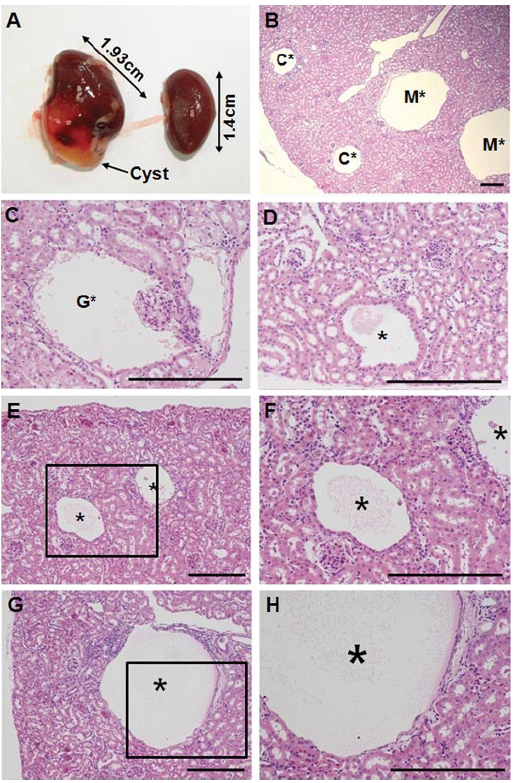
Caption Cystic phenotype in kidneys of Tg(CAG-PKD2)#Hwl/? mice. H&E staining of mutant mouse kidney. A, the enlarged kidney filled with fluid from an 18-month-old mutant mouse. B and C, cysts were generated in variable regions of the kidney. B, a kidney section of an affected 18-month-old mutant transgenic mouse shows variable cyst size. Cysts arose in the cortex (C*) and medulla (M*). C, the morphological change of glomeruli (G*) in an 18-month-old mutant mouse. D-F, morphological changes of cyst-lining epithelial cells in the mutant mouse kidney during the development of renal cysts. D, at the early stage of cyst formation, tubules lined by cuboidal epithelium. E, cyst at the intermediate stage of formation, where epithelial cells are transformed into flattened cells (black arrowhead). F, magnification of the intermediate stage cyst. G and H, at the later stage of cyst formation. G, the cuboidal epithelium is completely transformed into flat, single-layered lining cells. H, magnification of the late stage cyst. C*, cortical cyst;M*, cyst in medullar region; G*, glomerular alteration; scale bar, 50 um.
Copyright This image is from Park EY, J Biol Chem 2009 Mar 13;284(11):7214-22 and is displayed with the permission of the American Society for Biochemistry and Molecular Biology who owns the Copyright. Full text from JBC. J:148377
Associated
Alleles
Symbol Name
Tg(CAG-PKD2)#Hwl transgene insertion, Han-Woong Lee
Associated
Genotypes
Allelic Composition Genetic Background
Tg(CAG-PKD2)#Hwl/? involves: FVB/NJ

Contributing Projects:
Mouse Genome Database (MGD), Gene Expression Database (GXD), Mouse Models of Human Cancer database (MMHCdb) (formerly Mouse Tumor Biology (MTB)), Gene Ontology (GO)
Citing These Resources
Funding Information
Warranty Disclaimer, Privacy Notice, Licensing, & Copyright
Send questions and comments to User Support.
last database update
12/30/2025
MGI 6.24
The Jackson Laboratory