About   Help   FAQ
Phenotype Image Detail
Image
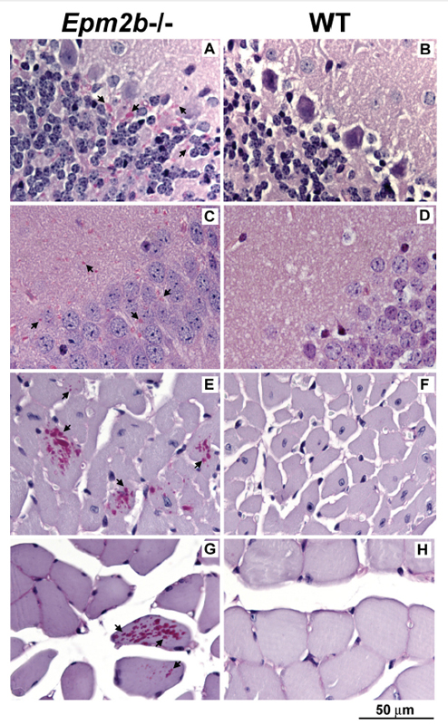
Caption Lafora bodies in tissues of Nhlrc1tm1(KOMP)Vlcg/Nhlrc1tm1(KOMP)Vlcg (Epm2b-/-) mice. Sections of brain, heart, and skeletal muscle were stained with periodic acid-Schiff/diastase to visualize alpha-amylase resistant polysaccharide, indicated by arrows. A, cerebellum, mutant; B, cerebellum, wild-type; C, hippocampus, mutant; D, hippocampus, wild-type; E, heart, mutant; F, heart, wild-type; G, soleus muscle, mutant; H, soleus muscle, wild-type.
Copyright This image is from DePaoli-Roach AA, J Biol Chem 2010 Aug 13;285(33):25372-81 and is displayed with the permission of the American Society for Biochemistry and Molecular Biology who owns the Copyright. Full text from JBC. J:165994
Associated
Alleles
Symbol Name
Nhlrc1tm1(KOMP)Vlcg NHL repeat containing 1; targeted mutation 1, Velocigene
Nhlrc1tm1(KOMP)Vlcg NHL repeat containing 1; targeted mutation 1, Velocigene
Associated
Genotypes
Allelic Composition Genetic Background
Nhlrc1tm1(KOMP)Vlcg/Nhlrc1tm1(KOMP)Vlcg involves: C57BL/6J * C57BL/6NTac

Contributing Projects:
Mouse Genome Database (MGD), Gene Expression Database (GXD), Mouse Models of Human Cancer database (MMHCdb) (formerly Mouse Tumor Biology (MTB)), Gene Ontology (GO)
Citing These Resources
Funding Information
Warranty Disclaimer, Privacy Notice, Licensing, & Copyright
Send questions and comments to User Support.
last database update
12/30/2025
MGI 6.24
The Jackson Laboratory