About   Help   FAQ
Phenotype Image Detail
Image
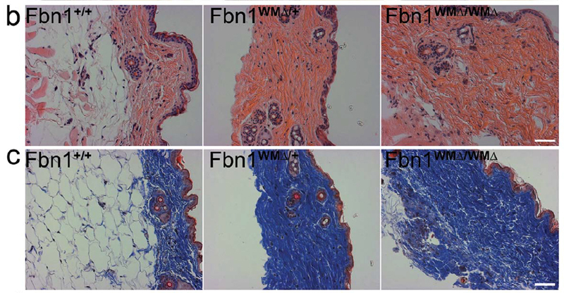
Caption Skin phenotype. (b) Hematoxylin and eosin staining of skin from 10 month old wild-type (Fbn1+/+), heterozygous Fbn1tm3.2Lysa/Fbn1+ (Fbn1WMdelta/+), and homozygous Fbn1tm3.2Lysa/Fbn1tm3.2Lysa (Fbn1WMdelta/WMdelta) littermates. Dermal fibers in the mutant skin appeared to be thicker and more densely packed when compared to the wild-type littermate skin. Scale bar = 50 um. (c) Masson's trichrome staining of skin from the same 10 month old littermates as in (b). Heterozygous and homozygous mutant skin showed increased collagen deposition. In addition, in both (b) and (c), the dermis appeared to be wider with a strikingly diminished hypodermal fat layer. Scale bar = 50 um.
Copyright This image is from Sengle G, PLoS Genet 2012 Jan;8(1):e1002425, and is displayed under the terms of the Creative Commons Attribution 4.0 International License. J:181493
Associated
Alleles
Symbol Name
Fbn1tm3.2Lysa fibrillin 1; targeted mutation 3.2, Lynn Y Sakai
Associated
Genotypes
Allelic Composition Genetic Background
Fbn1tm3.2Lysa/Fbn1tm3.2Lysa Not Specified
Fbn1tm3.2Lysa/Fbn1+ Not Specified

Contributing Projects:
Mouse Genome Database (MGD), Gene Expression Database (GXD), Mouse Models of Human Cancer database (MMHCdb) (formerly Mouse Tumor Biology (MTB)), Gene Ontology (GO)
Citing These Resources
Funding Information
Warranty Disclaimer, Privacy Notice, Licensing, & Copyright
Send questions and comments to User Support.
last database update
12/30/2025
MGI 6.24
The Jackson Laboratory