About   Help   FAQ
Phenotype Image Detail
Image
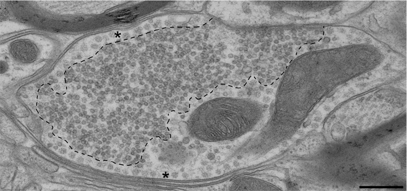
Caption Electron micrograph of a nerve terminal from an Dnajc6tm1Legr/Dnajc6tm1Legr adult mouse (deep cerebellar nuclei) showing accumulation of clathrin cages. Clathrin-coated vesicles (CCVs) and clathrin cages (asterisks) are located along the plasma membrane at the periphery of the synaptic vesicle cluster, which is delineated by a broken line. (Scale bar, 400 nm.)
Copyright This image is from Yim YI, Proc Natl Acad Sci U S A 2010 Mar 2;107(9):4412-7. Copyright 2010 National Academy of Sciences, U.S.A. J:158574
Associated
Alleles
Symbol Name
Dnajc6tm1Legr DnaJ heat shock protein family (Hsp40) member C6; targeted mutation 1, Lois Greene
Associated
Genotypes
Allelic Composition Genetic Background
Dnajc6tm1Legr/Dnajc6tm1Legr B6.129-Dnajc6tm1Legr

Contributing Projects:
Mouse Genome Database (MGD), Gene Expression Database (GXD), Mouse Models of Human Cancer database (MMHCdb) (formerly Mouse Tumor Biology (MTB)), Gene Ontology (GO)
Citing These Resources
Funding Information
Warranty Disclaimer, Privacy Notice, Licensing, & Copyright
Send questions and comments to User Support.
last database update
12/30/2025
MGI 6.24
The Jackson Laboratory