About   Help   FAQ
Phenotype Image Detail
Image
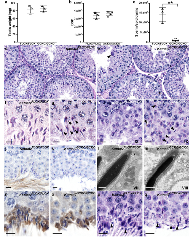
Caption Spermatogenic defects in Katnal2tm1a(EUCOMM)Wtsi/Katnal2tm1a(EUCOMM)Wtsi Tg(Stra8-icre)1Reb/0 mice. (a) Testis weight in Katnal2tm1c(EUCOMM)Wtsi/Katnal2tm1c(EUCOMM)Wtsi (Katnal2FLOX/FLOX) (white triangles) and Katnal2tm1c(EUCOMM)Wtsi/Katnal2tm1c(EUCOMM)Wtsi Tg(Stra8-icre)1Reb/0 (Katnal2GCKO/GCKO) (black triangles) mice (n = 3/group). (b) Daily sperm output (DSP) in the testes of FLOX/FLOX (white triangles; n = 3) and GCKO/GCKO (black triangles; n = 4) mice. (c) Total epididymal sperm content of FLOX/FLOX (white triangles) and GCKO/GCKO (black triangles) mice (n = 3/group). Total epididymal sperm content was reduced by 94.1% in GCKO/GCKO mice compared to FLOX/FLOX mice. In a-c lines represent mean SD, ** p<0.01 compared to FLOX/FLOX. Periodic acid Schiff's (PAS) stained testis sections from FLOX/FLOX and GCKO/GCKO mice (d-i and p-q). Low magnification view of seminiferous tubules in FLOX/FLOX (d) and GCKO/GCKO (e) mice. Multinucleated symplasts (arrowhead) were frequently observed in the GCKO/GCKO seminiferous epithelium. Elongating spermatids in FLOX/FLOX (f) versus GCKO/GCKO (g) mice. Abnormal nuclear morphology of spermatids (arrowheads) was frequently observed in GCKO/GCKO mice. Spermiation in FLOX/FLOX (h) versus GCKO/GCKO (i) mice. Retained elongated spermatids (arrowheads) were often observed in stage IX tubules of GCKO/GCKO mice but were rarely observed in FLOX/FLOX mice. Acetylated tubulin immunolabelling as a marker for sperm tail presence in FLOX/FLOX (j) and GCKO?GCKO (k) testis sections. Sperm tail content was markedly reduced in GCKO/GCKO (k) versus WT (j) mice. Scale bars in d-k = 10 um. Electron microscopy of stage VIII tubulobulbar complexes (asterisks) in FLOX/FLOX (l) versus GCKO/GCKO (m) mice. Tubulobulbar complex formation was normal in GCKO/GCKO mice. Scale bars in l-m= 2 um. Immunostaining of seminiferous tubules for the tubulobulbar complex marker ARP2 in FLOX/FLOX (n) versus GCKO/GCKO (o) mice further confirmed the presence of tubulobulbar complexes from GCKO/GCKO spermatids. Residual body (arrowheads) formation in FLOX/FLOX (p) versus GCKO/GCKO (q) mice. Residual body formation appeared normal in GCKO/GCKO mice. Scale bars in n-q = 10 um.
Copyright This image is from Dunleavy JEM, PLoS Genet 2017 Nov;13(11):e1007078, and is displayed under the terms of the Creative Commons Attribution 4.0 International License. J:250115
Associated
Alleles
Symbol Name
Katnal2tm1c(EUCOMM)Wtsi katanin p60 subunit A-like 2; targeted mutation 1c, Wellcome Trust Sanger Institute
Tg(Stra8-icre)1Reb transgene insertion 1, Robert E Braun
Associated
Genotypes
Allelic Composition Genetic Background
Katnal2tm1c(EUCOMM)Wtsi/Katnal2tm1c(EUCOMM)Wtsi
Tg(Stra8-icre)1Reb/0
involves: C57BL/6N * FVB/NJ

Contributing Projects:
Mouse Genome Database (MGD), Gene Expression Database (GXD), Mouse Models of Human Cancer database (MMHCdb) (formerly Mouse Tumor Biology (MTB)), Gene Ontology (GO)
Citing These Resources
Funding Information
Warranty Disclaimer, Privacy Notice, Licensing, & Copyright
Send questions and comments to User Support.
last database update
09/30/2025
MGI 6.24
The Jackson Laboratory