About   Help   FAQ
Phenotype Image Detail
Image
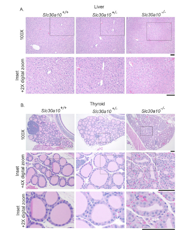
Caption Alterations in the thyroid gland of Slc30a10tm1.1Sommu/Slc30a10tm1.1Sommu (Slc30a10-/-) mice. Sections of liver (A) and thyroid (B) were generated from 6-week-old male wild-type (Slc30a10+/+), heterozygous (Slc30a10+/-) and homozyous (Slc30a10-/-) mutant mice, stained with hematoxylin, and imaged. Scale bars, 100 um.
Copyright This image is from Hutchens S, J Biol Chem 2017 Jun 09;292(23):9760-9773 and is displayed with the permission of the American Society for Biochemistry and Molecular Biology who owns the Copyright. Full text from JBC. J:243657
Associated
Alleles
Symbol Name
Slc30a10tm1.1Sommu solute carrier family 30, member 10; targeted mutation 1.1, Somshuvra Mukhopadhyay
Associated
Genotypes
Allelic Composition Genetic Background
Slc30a10tm1.1Sommu/Slc30a10tm1.1Sommu involves: 129S4/SvJae * C57BL/6 * C57BL/6J * CBA

Contributing Projects:
Mouse Genome Database (MGD), Gene Expression Database (GXD), Mouse Models of Human Cancer database (MMHCdb) (formerly Mouse Tumor Biology (MTB)), Gene Ontology (GO)
Citing These Resources
Funding Information
Warranty Disclaimer, Privacy Notice, Licensing, & Copyright
Send questions and comments to User Support.
last database update
12/30/2025
MGI 6.24
The Jackson Laboratory