About   Help   FAQ
Phenotype Image Detail
Image
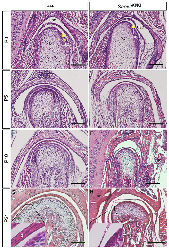
Caption Histological analyses reveal premature wear out of the articulating disc in the temporomandibular joint (TMJ) of Shox2tm2.1(SHOX_a)Ypc/Shox2tm2.1(SHOX_a)Ypc (Shox2KI/KI) mice. Coronal sections through the TMJ of wild-type (A, C, E, and G) and mutant mice (B, D, F, and H) at different ages. Note that the articulating disc in the knock-in mice appears comparable with that in the control at P0 (A and B), but becomes almost complete wear out at P21 (H and inset). C, condyle; d, disc; 7gf, glenoid fossa; lsc, lower synovial cavity; usc, upper synovial cavity. Scale bar, 500 um.
Copyright This image is from Liu H, J Biol Chem 2011 May 13;286(19):17029-38 and is displayed with the permission of the American Society for Biochemistry and Molecular Biology who owns the Copyright. Full text from JBC. J:172674
Associated
Alleles
Symbol Name
Shox2tm2.1(SHOX_a)Ypc SHOX homeobox 2; targeted mutation 2.1, YiPing Chen
Associated
Genotypes
Allelic Composition Genetic Background
Shox2tm2.1(SHOX_a)Ypc/Shox2tm2.1(SHOX_a)Ypc involves: 129S1/Sv * 129S4/SvJaeSor * C57BL/6

Contributing Projects:
Mouse Genome Database (MGD), Gene Expression Database (GXD), Mouse Models of Human Cancer database (MMHCdb) (formerly Mouse Tumor Biology (MTB)), Gene Ontology (GO)
Citing These Resources
Funding Information
Warranty Disclaimer, Privacy Notice, Licensing, & Copyright
Send questions and comments to User Support.
last database update
12/30/2025
MGI 6.24
The Jackson Laboratory