About   Help   FAQ
Phenotype Image Detail
Image
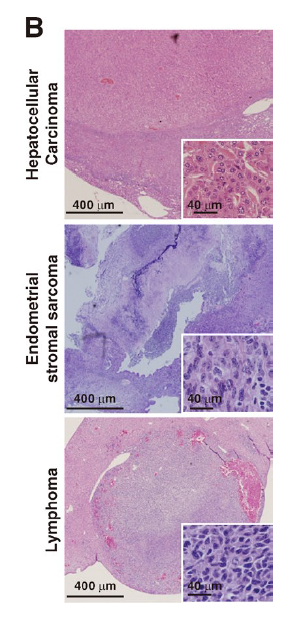
Caption Representative H&E-stained sections of the major pathologies found in the Bub1btm1.1Hsl/Bub1b+ (K243R/+) mice. The insets show high-magnification images. The tumors are found in a variety of tissues.
Copyright This image is from Park I, J Cell Biol 2013 Jul 22;202(2):295-309, and is displayed under the terms of the Creative Commons Attribution-Noncommercial-Share Alike 3.0 Unported License. J:201641
Associated
Alleles
Symbol Name
Bub1btm1.1Hsl BUB1B, mitotic checkpoint serine/threonine kinase; targeted mutation 1.1, Hyunsook Lee
Associated
Genotypes
Allelic Composition Genetic Background
Bub1btm1.1Hsl/Bub1b+ involves: 129 * C57BL/6

Contributing Projects:
Mouse Genome Database (MGD), Gene Expression Database (GXD), Mouse Models of Human Cancer database (MMHCdb) (formerly Mouse Tumor Biology (MTB)), Gene Ontology (GO)
Citing These Resources
Funding Information
Warranty Disclaimer, Privacy Notice, Licensing, & Copyright
Send questions and comments to User Support.
last database update
12/30/2025
MGI 6.24
The Jackson Laboratory