About   Help   FAQ
Phenotype Image Detail
Image
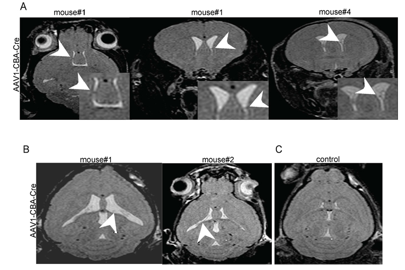
Caption Representative magnetic resonance images (MRI) of AAV1-CBA-Cre and AAV1-CBA-GFP injected Tsc1tm1Djk/Tsc1tm1Djk Gt(ROSA)26Sortm1Sho/Gt(ROSA)26Sor+ mouse brains. AAV1-CBA-Cre injected mouse brains showed abnormalities associated with the ventricular regions. (A) Multiple apparent subependymal nodules (arrowheads) were seen in the ventricles in the brains of two AAV1-CBA-Cre injected mice. First two images are from the same mouse. (B) Ventricles also appeared to have thickening of the ependymal lining (arrowheads; two left panels). (C) None of these abnormalities were observed in the control vector (AAV1-CBA-GFP)-injected brains
Copyright This image is from Prabhakar S, PLoS One 2013;8(5):e64224, and is displayed under the terms of the Creative Commons Attribution 4.0 International License. J:221022
Associated
Alleles
Symbol Name
Gt(ROSA)26Sortm1Sho gene trap ROSA 26, Philippe Soriano; targeted mutation 1, Stuart Orkin
Tsc1tm1Djk TSC complex subunit 1; targeted mutation 1, David J Kwiatkowski
Associated
Genotypes
Allelic Composition Genetic Background
Tsc1tm1Djk/Tsc1tm1Djk
Gt(ROSA)26Sortm1Sho/Gt(ROSA)26Sor+
involves: 129S4/SvJae * 129S4/SvJaeSor

Contributing Projects:
Mouse Genome Database (MGD), Gene Expression Database (GXD), Mouse Models of Human Cancer database (MMHCdb) (formerly Mouse Tumor Biology (MTB)), Gene Ontology (GO)
Citing These Resources
Funding Information
Warranty Disclaimer, Privacy Notice, Licensing, & Copyright
Send questions and comments to User Support.
last database update
09/30/2025
MGI 6.24
The Jackson Laboratory