About   Help   FAQ
Phenotype Image Detail
Image
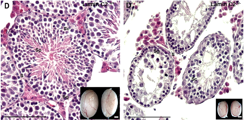
Caption Histological sections of wild-type (Lamin C2+/+) and Lmnatm1Rben/Lmnatm1Rben (Lamin C2-/-) testes demonstrating the absence of post-meiotic cells in the mutant tissue. Scale bars 100 um. As shown in the insets, testes size of mutant males is significantly reduced. Scale bars 1 mm. S somatic cells, Sg spermatogonia, Sc spermatocytes, Sp spermatids.
Copyright This image is from Link J, PLoS Genet 2013;9(1):e1003261, and is displayed under the terms of the Creative Commons Attribution 4.0 International License. J:223056
Associated
Alleles
Symbol Name
Lmnatm1Rben lamin A; targeted mutation 1, Ricardo Benavente
Associated
Genotypes
Allelic Composition Genetic Background
Lmnatm1Rben/Lmnatm1Rben involves: 129S1/Sv * 129X1/SvJ

Contributing Projects:
Mouse Genome Database (MGD), Gene Expression Database (GXD), Mouse Models of Human Cancer database (MMHCdb) (formerly Mouse Tumor Biology (MTB)), Gene Ontology (GO)
Citing These Resources
Funding Information
Warranty Disclaimer, Privacy Notice, Licensing, & Copyright
Send questions and comments to User Support.
last database update
12/30/2025
MGI 6.24
The Jackson Laboratory