About   Help   FAQ
Phenotype Image Detail
Image
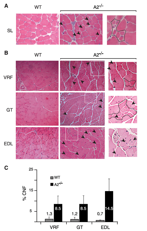
Caption Histological evidence of myopathy in 8-10-month-old Apobec2tm1Msn/Apobec2tm1Msn (A2-/-) mice. A, examples of a region of soleus muscle (SL) in 15-week-old wild-type (WT) or mutant mice. The arrowheads indicate fibers with centrally located nuclei, and the right panel shows a region with immature myotubes. B, comparison of transverse sections of vastus and rectus femoris (VRL), gastrocnemius (GT), and extensorum digitorum longus (EDL) muscle from 9-month-old mutant and WT mice. The boxed areas in the middle panels are shown in higher magnification in the right panels, where outlined regions contain smaller fibers. C, histogram comparing the percentage of centrally nucleated fibers (CNF) in different muscles from 9-month-old mutant and control mice.
Copyright This image is from Sato Y, J Biol Chem 2010 Mar 5;285(10):7111-8 and is displayed with the permission of the American Society for Biochemistry and Molecular Biology who owns the Copyright. Full text from JBC. J:221028
Associated
Alleles
Symbol Name
Apobec2tm1Msn apolipoprotein B mRNA editing enzyme, catalytic polypeptide 2; targeted mutation 1, Michael S Neuberger
Associated
Genotypes
Allelic Composition Genetic Background
Apobec2tm1Msn/Apobec2tm1Msn B6.129P2-Apobec2tm1Msn

Contributing Projects:
Mouse Genome Database (MGD), Gene Expression Database (GXD), Mouse Models of Human Cancer database (MMHCdb) (formerly Mouse Tumor Biology (MTB)), Gene Ontology (GO)
Citing These Resources
Funding Information
Warranty Disclaimer, Privacy Notice, Licensing, & Copyright
Send questions and comments to User Support.
last database update
09/30/2025
MGI 6.24
The Jackson Laboratory