About   Help   FAQ
Phenotype Image Detail
Image
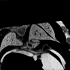
Caption Play MovieSerial 2D EFIC image stack in the coronal plane of 811-058-LB reveals dextrocardia, overriding aorta, and pmVSD
Copyright This image is from the Laboratory of Dr. Cecilia Lo, a member of the Cardiovascular Development Consortium (CvDC), Bench to Bassinet (B2B) program of the National Heart Lung and Blood Institute (NHLBI), and is displayed with the permission of the authors. J:175213
Associated
Alleles
Symbol Name
b2b811Clo Mutant line 811 Cecilia Lo; Bench to Bassinet Program (B2B/CVDC), mutation 811 Cecilia Lo
Dnaaf4b2b811.1Clo dynein axonemal assembly factor 4; Bench to Bassinet Program (B2B/CVDC), mutation 811, subline 1 Cecilia Lo
Associated
Genotypes
Allelic Composition Genetic Background
Dnaaf4b2b811.1Clo/Dnaaf4b2b811.1Clo C57BL/6J-Dnaaf4b2b811.1Clo
b2b811Clo/b2b811Clo C57BL/6J-b2b811Clo

Contributing Projects:
Mouse Genome Database (MGD), Gene Expression Database (GXD), Mouse Models of Human Cancer database (MMHCdb) (formerly Mouse Tumor Biology (MTB)), Gene Ontology (GO)
Citing These Resources
Funding Information
Warranty Disclaimer, Privacy Notice, Licensing, & Copyright
Send questions and comments to User Support.
last database update
12/30/2025
MGI 6.24
The Jackson Laboratory