About   Help   FAQ
Phenotype Image Detail
Image
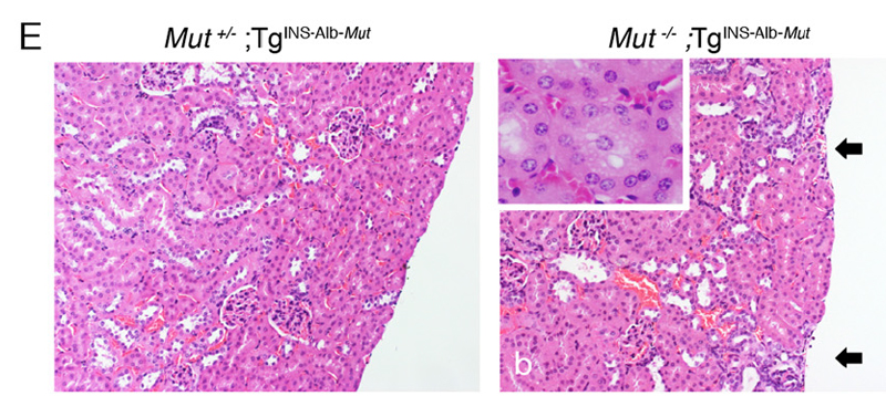
Caption (E) Representative H&E staining of kidney tissues from heterozygous Mmuttm1Cpv/Mmut+ Tg(Alb-Mut)#Cpv/0 (Mut*/-;TgINS-Alb-Mut) vs. Mmuttm1Cpv/Mmuttm1Cpv Tg(Alb-Mut)#Cpv/0 (Mut-/-;TgINS-Alb-Mut) mice fed a high protein diet for 6 months starting at 2-3 until 8-9 months of age [Left vs. Right; black arrows, granular appearance of the cortex (magnification, 10 X); Inset in Right, vacuolar changes of proximal tubular epithelia (40X)].
Copyright This image is from Manoli I, Proc Natl Acad Sci U S A 2013 Aug 13;110(33):13552-7. Copyright 2013 National Academy of Sciences, U.S.A. J:200689
Associated
Alleles
Symbol Name
Mmuttm1Cpv methylmalonyl-Coenzyme A mutase; targeted mutation 1, Charles P Venditti
Tg(Alb-Mut)#Cpv transgene insertion, Charles P Venditti
Associated
Genotypes
Allelic Composition Genetic Background
Mmuttm1Cpv/Mmuttm1Cpv
Tg(Alb-Mut)#Cpv/0
involves: C57BL/6
Mmuttm1Cpv/Mmut+ involves: C57BL/6

Contributing Projects:
Mouse Genome Database (MGD), Gene Expression Database (GXD), Mouse Models of Human Cancer database (MMHCdb) (formerly Mouse Tumor Biology (MTB)), Gene Ontology (GO)
Citing These Resources
Funding Information
Warranty Disclaimer, Privacy Notice, Licensing, & Copyright
Send questions and comments to User Support.
last database update
12/30/2025
MGI 6.24
The Jackson Laboratory