About   Help   FAQ
Phenotype Image Detail
Image
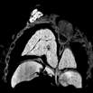
Caption Play MovieSerial 2D ECM image stack in the coronal plane of mutant (E17.5) reveals double outlet right ventricle (DORV) of the Tetralogy of Fallot subtype with pulmonary atresia and subaortic VSD.
Copyright This image is from the Laboratory of Dr. Cecilia Lo, a member of the Cardiovascular Development Consortium (CvDC), Bench to Bassinet (B2B) program of the National Heart Lung and Blood Institute (NHLBI), and is displayed with the permission of the authors. J:175213
Associated
Alleles
Symbol Name
Dock1b2b3190Clo dedicator of cytokinesis 1; Bench to Bassinet Program (B2B/CVDC), mutation 3190Cecilia Lo
Associated
Genotypes
Allelic Composition Genetic Background
Dock1b2b3190Clo/Dock1b2b3190Clo C57BL/6J-Dock1b2b3190Clo

Contributing Projects:
Mouse Genome Database (MGD), Gene Expression Database (GXD), Mouse Models of Human Cancer database (MMHCdb) (formerly Mouse Tumor Biology (MTB)), Gene Ontology (GO)
Citing These Resources
Funding Information
Warranty Disclaimer, Privacy Notice, Licensing, & Copyright
Send questions and comments to User Support.
last database update
12/30/2025
MGI 6.24
The Jackson Laboratory