About   Help   FAQ
Phenotype Image Detail
Image
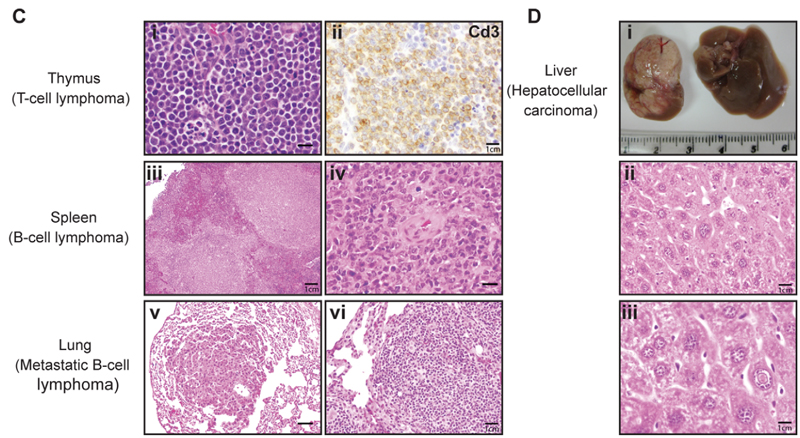
Caption Broad tumour spectrum in Nabp2tm1.1Kkha/Nabp2tm1.1Kkha Gt(ROSA)26Sortm9(cre/ESR1)ArteGt(ROSA)26Sor+ mice. (C) Representative sections have T lymphoma in thymus (top panel) and B lymphomas in spleen (middle panel), which spread to lung in a mutant mouse (bottom panel). Representative images of Haematoxylin and eosin stained sections of tumours in indicated organs are shown. Immunohistochemical staining of Cd3 (top panel, right) confirmed T-cell lymphoma in thymus (Scale bars, i = 40 mm, ii = 120 mm, iii = 20 mm, iv = 40 mm, v = 60 mm, vi = 80 mm). (D) Representative image of liver cancer (hepatocellular carcinoma, HCC) in a mutant mouse. Representative images of tumour mass (upper panel) and Haematoxylin and eosin-stained liver section (middle and lower panels) are shown (Scale bars, ii = 100 mm, iii = 140 mm).
Copyright This image is from Shi W, PLoS Genet 2013 Feb;9(2):e1003298, and is displayed under the terms of the Creative Commons Attribution 4.0 International License. J:195140
Associated
Alleles
Symbol Name
Gt(ROSA)26Sortm9(cre/ESR1)Arte gene trap ROSA 26, Philippe Soriano; targeted mutation 9, TaconicArtemis
Nabp2tm1.1Kkha nucleic acid binding protein 2; targeted mutation 1.1, Kum Kum Khanna
Associated
Genotypes
Allelic Composition Genetic Background
Nabp2tm1.1Kkha/Nabp2tm1.1Kkha
Gt(ROSA)26Sortm9(cre/ESR1)Arte/Gt(ROSA)26Sor+
involves: C57BL/6 * C57BL/6NTac

Contributing Projects:
Mouse Genome Database (MGD), Gene Expression Database (GXD), Mouse Models of Human Cancer database (MMHCdb) (formerly Mouse Tumor Biology (MTB)), Gene Ontology (GO)
Citing These Resources
Funding Information
Warranty Disclaimer, Privacy Notice, Licensing, & Copyright
Send questions and comments to User Support.
last database update
12/30/2025
MGI 6.24
The Jackson Laboratory