About   Help   FAQ
Phenotype Image Detail
Image
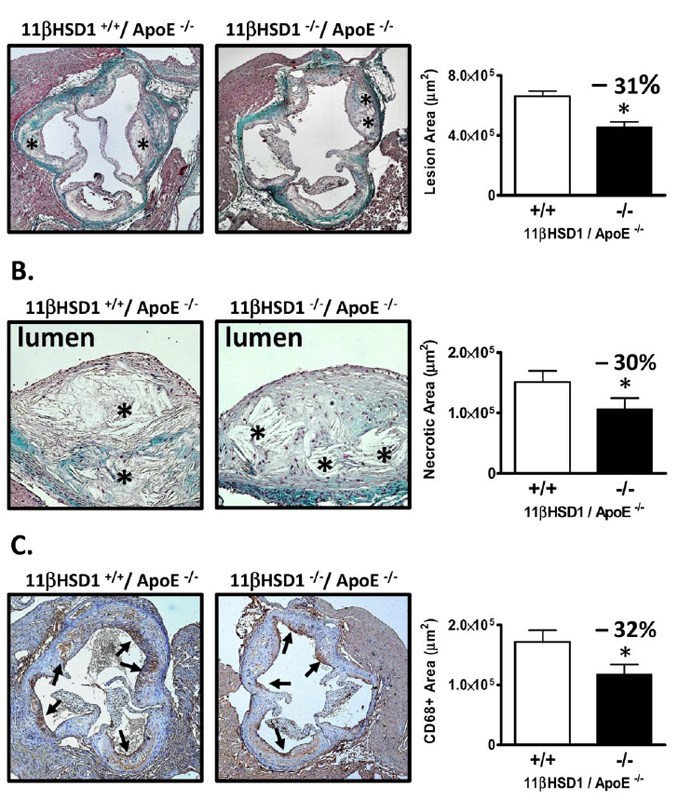
Caption Aortic root atherosclerosis. A) Representative trichrome-stained images of lesions in the aortic root and lesion area measurements. Left image: Apoetm1Unc/Apoetm1Unc (11betaHSD1+/+/ApoE-/-) aortic root. Right image: Apoetm1Unc/Apoetm1Unc Hsd11b1tm1Lex/Hsd11b1tm1Lex (11betaHSD1-/-/ApoE-/-) aortic root. Asterisks denote regions of acellular necrotic debris. Plot:Lesion area measurements from trichrome-stained images in Apoetm1Unc/Apoetm1Unc (n = 10) and Apoetm1Unc/Apoetm1Unc Hsd11b1tm1Lex/Hsd11b1tm1Lex (n = 9) male mice. B) Intraplaque necrotic areas. Left image: Apoetm1Unc/Apoetm1Unc aortic root plaque. Right image: Apoetm1Unc/Apoetm1Unc Hsd11b1tm1Lex/Hsd11b1tm1Lex aortic root plaque. Asterisks denote necrotic areas within lesions. Acellularity and features of crystalline clefts were used to demarcate necrotic regions. Plot: Necrotic core area measurements from trichrome-stained images in Apoetm1Unc/Apoetm1Unc (n = 10) and Apoetm1Unc/Apoetm1Unc Hsd11b1tm1Lex/Hsd11b1tm1Lex (n = 9) male mice. C) Macrophage staining via CD68 immunohistochemistry. Left image: Apoetm1Unc/Apoetm1Unc aortic root. Right image: Apoetm1Unc/Apoetm1Unc Hsd11b1tm1Lex/Hsd11b1tm1Lex aortic root. Arrows denote CD68 positive staining. Plot: CD68 positive stained area measurements in Apoetm1Unc/Apoetm1Unc (n - 10) and Apoetm1Unc/Apoetm1Unc Hsd11b1tm1Lex/Hsd11b1tm1Lex (n = 9) male mice. Significance vs. control: *p<= 0.05. Data are pooled from two independently run in vivo studies.
Copyright This image is from Garcia RA, PLoS One 2013;8(2):e53192, and is displayed under the terms of the Creative Commons Attribution 4.0 International License. J:199430
Associated
Alleles
Symbol Name
Apoetm1Unc apolipoprotein E; targeted mutation 1, University of North Carolina
Hsd11b1tm1Lex hydroxysteroid 11-beta dehydrogenase 1; targeted mutation 1, Lexicon Genetics
Associated
Genotypes
Allelic Composition Genetic Background
Apoetm1Unc/Apoetm1Unc
Hsd11b1tm1Lex/Hsd11b1tm1Lex
B6.129-Hsd11b1tm1Lex Apoetm1Unc

Contributing Projects:
Mouse Genome Database (MGD), Gene Expression Database (GXD), Mouse Models of Human Cancer database (MMHCdb) (formerly Mouse Tumor Biology (MTB)), Gene Ontology (GO)
Citing These Resources
Funding Information
Warranty Disclaimer, Privacy Notice, Licensing, & Copyright
Send questions and comments to User Support.
last database update
12/30/2025
MGI 6.24
The Jackson Laboratory