About   Help   FAQ
Phenotype Image Detail
Image
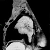
Caption Play MovieSerial 2D EFIC image stack in the coronal plane of 2404-002-3 (E15.5) reveals DORV and AVSD
Copyright This image is from the Laboratory of Dr. Cecilia Lo, a member of the Cardiovascular Development Consortium (CvDC), Bench to Bassinet (B2B) program of the National Heart Lung and Blood Institute (NHLBI), and is displayed with the permission of the authors. J:175213
Associated
Alleles
Symbol Name
Qrich1b2b2404Clo glutamine-rich 1; Bench to Bassinet Program (B2B/CVDC), mutation 2404 Cecilia Lo
Associated
Genotypes
Allelic Composition Genetic Background
Qrich1b2b2404Clo/Qrich1b2b2404Clo C57BL/6J-Qrich1b2b2404Clo

Contributing Projects:
Mouse Genome Database (MGD), Gene Expression Database (GXD), Mouse Models of Human Cancer database (MMHCdb) (formerly Mouse Tumor Biology (MTB)), Gene Ontology (GO)
Citing These Resources
Funding Information
Warranty Disclaimer, Privacy Notice, Licensing, & Copyright
Send questions and comments to User Support.
last database update
09/30/2025
MGI 6.24
The Jackson Laboratory