About   Help   FAQ
Phenotype Image Detail
Image
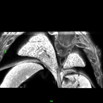
Caption Play MovieSerial 2D EFIC image stack in the coronal plane of 2346-004-3 (E16.5) shows pmVSD, mVSD, narrow DA
Copyright This image is from the Laboratory of Dr. Cecilia Lo, a member of the Cardiovascular Development Consortium (CvDC), Bench to Bassinet (B2B) program of the National Heart Lung and Blood Institute (NHLBI), and is displayed with the permission of the authors. J:175213
Associated
Alleles
Symbol Name
Mapk7b2b2346Clo mitogen-activated protein kinase 7; Bench to Bassinet Program (B2B/CVDC), mutation 2346 Cecilia Lo
Associated
Genotypes
Allelic Composition Genetic Background
Mapk7b2b2346Clo/Mapk7b2b2346Clo C57BL/6J-Mapk7b2b2346Clo

Contributing Projects:
Mouse Genome Database (MGD), Gene Expression Database (GXD), Mouse Models of Human Cancer database (MMHCdb) (formerly Mouse Tumor Biology (MTB)), Gene Ontology (GO)
Citing These Resources
Funding Information
Warranty Disclaimer, Privacy Notice, Licensing, & Copyright
Send questions and comments to User Support.
last database update
12/30/2025
MGI 6.24
The Jackson Laboratory