About   Help   FAQ
Phenotype Image Detail
Image
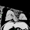
Caption Play MovieSerial 2D EFIC image stack in the coronal plane of 2187-006-1 (E15.5) shows biventricular hypertrophy
Copyright This image is from the Laboratory of Dr. Cecilia Lo, a member of the Cardiovascular Development Consortium (CvDC), Bench to Bassinet (B2B) program of the National Heart Lung and Blood Institute (NHLBI), and is displayed with the permission of the authors. J:175213
Associated
Alleles
Symbol Name
b2b2187.2Clo Mutant line 2187.2; Bench to Bassinet Program (B2B/CVDC), mutation 2187, subline 2, Cecilia Lo
b2b2187Clo Mutant line 2187; Bench to Bassinet Program (B2B/CVDC), mutation 2187 Cecilia Lo
Associated
Genotypes
Allelic Composition Genetic Background
b2b2187Clo/b2b2187Clo C57BL/6J-b2b2187Clo
b2b2187.2Clo/b2b2187.2Clo C57BL/6J-b2b2187.2Clo

Contributing Projects:
Mouse Genome Database (MGD), Gene Expression Database (GXD), Mouse Models of Human Cancer database (MMHCdb) (formerly Mouse Tumor Biology (MTB)), Gene Ontology (GO)
Citing These Resources
Funding Information
Warranty Disclaimer, Privacy Notice, Licensing, & Copyright
Send questions and comments to User Support.
last database update
12/30/2025
MGI 6.24
The Jackson Laboratory