About   Help   FAQ
Phenotype Image Detail
Image
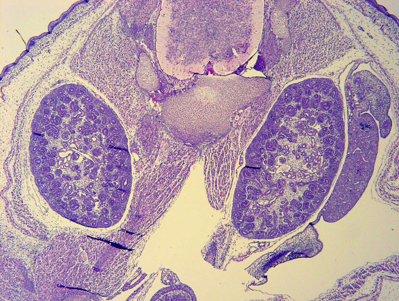
Caption Mutant 2159-003-2 exhibits kidneys with tubular and glomerular cysts
Copyright This image is from the Laboratory of Dr. Cecilia Lo, a member of the Cardiovascular Development Consortium (CvDC), Bench to Bassinet (B2B) program of the National Heart Lung and Blood Institute (NHLBI), and is displayed with the permission of the authors. J:175213
Associated
Alleles
Symbol Name
Dnm2b2b2159Clo dynamin 2; Bench to Bassinet Program (B2B/CVDC) mutation 2159, Cecilia Lo
Associated
Genotypes
Allelic Composition Genetic Background
Dnm2b2b2159Clo/Dnm2b2b2159Clo C57BL/6J-Dnm2b2b2159Clo

Contributing Projects:
Mouse Genome Database (MGD), Gene Expression Database (GXD), Mouse Models of Human Cancer database (MMHCdb) (formerly Mouse Tumor Biology (MTB)), Gene Ontology (GO)
Citing These Resources
Funding Information
Warranty Disclaimer, Privacy Notice, Licensing, & Copyright
Send questions and comments to User Support.
last database update
10/07/2025
MGI 6.24
The Jackson Laboratory