About   Help   FAQ
Phenotype Image Detail
Image
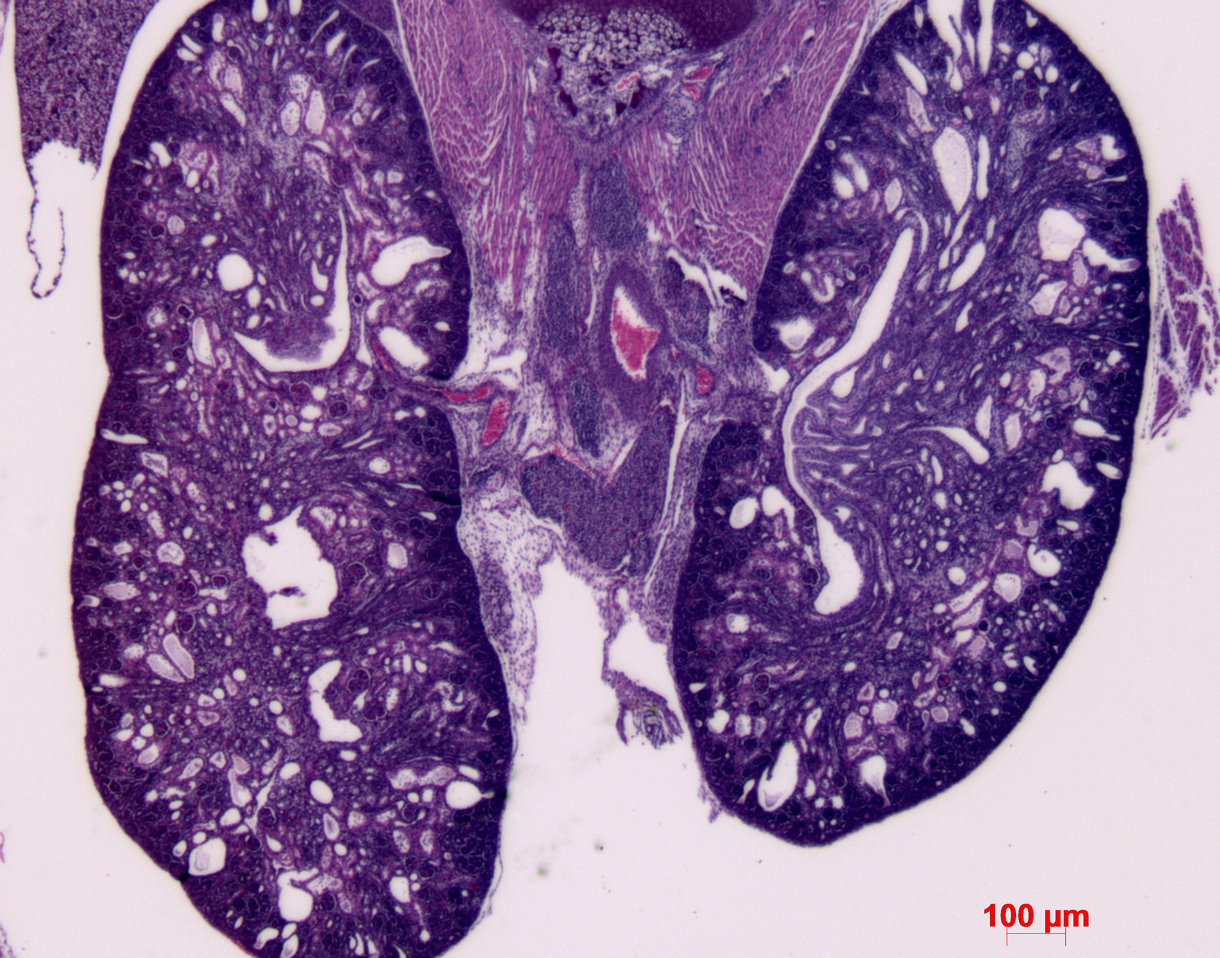
Caption Mutant 1291-006-LA shows bilateral cystic kidneys
Copyright This image is from the Laboratory of Dr. Cecilia Lo, a member of the Cardiovascular Development Consortium (CvDC), Bench to Bassinet (B2B) program of the National Heart Lung and Blood Institute (NHLBI), and is displayed with the permission of the authors. J:175213
Associated
Alleles
Symbol Name
b2b1291Clo Mutant line 1291; Bench to Bassinet Program (B2B/CVDC), mutation 1291 Cecilia Lo
Tmem67b2b1291.1Clo transmembrane protein 67; Bench to Bassinet Program (B2B/CVDC), mutation 1291, subline 1 Cecilia Lo
Associated
Genotypes
Allelic Composition Genetic Background
b2b1291Clo/b2b1291Clo C57BL/6J-b2b1291Clo
Tmem67b2b1291.1Clo/Tmem67b2b1291.1Clo C57BL/6J-Tmem67b2b1291.1Clo

Contributing Projects:
Mouse Genome Database (MGD), Gene Expression Database (GXD), Mouse Models of Human Cancer database (MMHCdb) (formerly Mouse Tumor Biology (MTB)), Gene Ontology (GO)
Citing These Resources
Funding Information
Warranty Disclaimer, Privacy Notice, Licensing, & Copyright
Send questions and comments to User Support.
last database update
12/30/2025
MGI 6.24
The Jackson Laboratory