About   Help   FAQ
Phenotype Image Detail
Image
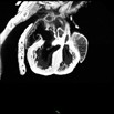
Caption Play MovieSerial 2D EFIC image stack of 227-007-NC in the coronal plane reveals dextrocardia, DORV, AVSD (subaortic) {A,L,L}
Copyright This image is from the Laboratory of Dr. Cecilia Lo, a member of the Cardiovascular Development Consortium (CvDC), Bench to Bassinet (B2B) program of the National Heart Lung and Blood Institute (NHLBI), and is displayed with the permission of the authors. J:175213
Associated
Alleles
Symbol Name
b2b227Clo Mutant line 227; Bench to Bassinet Program (B2B/CVDC), mutation 227 Cecilia Lo
Odad2b2b227.1Clo outer dynein arm docking complex subunit 2; Bench to Bassinet Program (B2B/CVDC), mutation 227, subline 1 Cecilia Lo
Associated
Genotypes
Allelic Composition Genetic Background
b2b227Clo/b2b227Clo C57BL/6J-b2b227Clo
Odad2b2b227.1Clo/Odad2b2b227.1Clo C57BL/6J-Odad2b2b227.1Clo

Contributing Projects:
Mouse Genome Database (MGD), Gene Expression Database (GXD), Mouse Models of Human Cancer database (MMHCdb) (formerly Mouse Tumor Biology (MTB)), Gene Ontology (GO)
Citing These Resources
Funding Information
Warranty Disclaimer, Privacy Notice, Licensing, & Copyright
Send questions and comments to User Support.
last database update
12/30/2025
MGI 6.24
The Jackson Laboratory