About   Help   FAQ
Phenotype Image Detail
Image
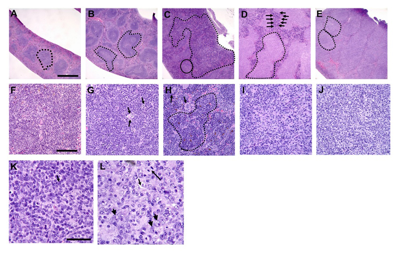
Caption Tumorigenesis characterization. (A) Spleen from wild-type (WT) mouse. Note small follicles (one follicle is outlined by a dotted line) with extensive spacing between lymphoid areas (preserved red pulp). (B) Follicular hyperplasia in Mir146tm2.1Bal/Mir146tm2.1Bal mice. Note that there are more follicles and they are larger than those seen in A. The follicles (outlined by dotted lines) have a light central region (germinal center) and a darker rim of lymphocytes (mantle zone), confirming preserved architecture seen in hyperplasia. (C) Extramedullary hematopoiesis and myeloid proliferation (outlined by the dotted line) in the mutant mouse. An adjacent, compressed lymphoid follicle is outlined by a solid line. (D) Low-grade follicular lymphoma in mutant mouse. Note expanded follicles lacking mantle zones (outlined by a dotted line). Entrapped between these enlarged follicles are residual splenic hematopoietic elements (between the arrows). (E) High-grade follicular lymphoma in a mutant mouse. Note here follicles are back to back (outlined by dotted lines) with no intervening red pulp. (F) Medium-power image of WT spleen in A. Note that the WT follicles are composed of bland-looking small lymphocytes. (G) Medium-power image of follicular hyperplasia in mutant mouse in B. Note that the follicles show increased mitoses and apoptotic bodies (in so-called tingible body macrophages; arrows). (H) Medium-power image of extramedullary hematopoiesis and myeloid proliferation in mutant mouse in C. The expansion of the red pulp in some mutant mice is accompanied by increased splenic hematopoiesis as demonstrated by the expansion of erythroid islands (dotted line) and increased numbers of megakaryocytes (arrows). (I) Medium-power image of low-grade follicular lymphoma in mutant mouse (D). (J) Medium-power image of high-grade follicular lymphoma in mutant mouse in E. (K) High-power appearance of low-grade follicular lymphoma shows medium-sized lymphocytes and rare mitotic figures. Scattered large cells are present (arrow). (L) High-power appearance of high-grade follicular lymphoma shows apoptotic figures (medium arrow), mitotic figures (long arrow), and numerous large cells (short arrows). All sections were stained with hematoxylin and eosin. Bars: (A-E) 1 mm; (F-J) 100 um; (K and L) 40 um.
Copyright This image is from Boldin MP, J Exp Med 2011 Jun 6;208(6):1189-201, and is displayed under the terms of the Creative Commons Attribution-Noncommercial-Share Alike 3.0 Unported License. J:173671
Associated
Alleles
Symbol Name
Mir146tm2.1Bal microRNA 146; targeted mutation 2.1, David Baltimore
Associated
Genotypes
Allelic Composition Genetic Background
Mir146tm2.1Bal/Mir146tm2.1Bal involves: 129S1/Sv * C57BL/6 * FVB/N

Contributing Projects:
Mouse Genome Database (MGD), Gene Expression Database (GXD), Mouse Models of Human Cancer database (MMHCdb) (formerly Mouse Tumor Biology (MTB)), Gene Ontology (GO)
Citing These Resources
Funding Information
Warranty Disclaimer, Privacy Notice, Licensing, & Copyright
Send questions and comments to User Support.
last database update
12/30/2025
MGI 6.24
The Jackson Laboratory