About   Help   FAQ
Phenotype Image Detail
Image
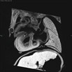
Caption Play Movie2D serial EFIC image stack in the coronal view of E15.5 mutant 1230-007-3 reveals situs inversus totalis
Copyright This image is from the Laboratory of Dr. Cecilia Lo, a member of the Cardiovascular Development Consortium (CvDC), Bench to Bassinet (B2B) program of the National Heart Lung and Blood Institute (NHLBI), and is displayed with the permission of the authors. J:175213
Associated
Alleles
Symbol Name
Pskh1b2b1230Clo protein serine kinase H1; Bench to Bassinet Program (B2B/CVDC), mutation 1230 Cecilia Lo
Associated
Genotypes
Allelic Composition Genetic Background
Pskh1b2b1230Clo/Pskh1b2b1230Clo C57BL/6J-Pskh1b2b1230Clo

Contributing Projects:
Mouse Genome Database (MGD), Gene Expression Database (GXD), Mouse Models of Human Cancer database (MMHCdb) (formerly Mouse Tumor Biology (MTB)), Gene Ontology (GO)
Citing These Resources
Funding Information
Warranty Disclaimer, Privacy Notice, Licensing, & Copyright
Send questions and comments to User Support.
last database update
12/30/2025
MGI 6.24
The Jackson Laboratory