About   Help   FAQ
Phenotype Image Detail
Image
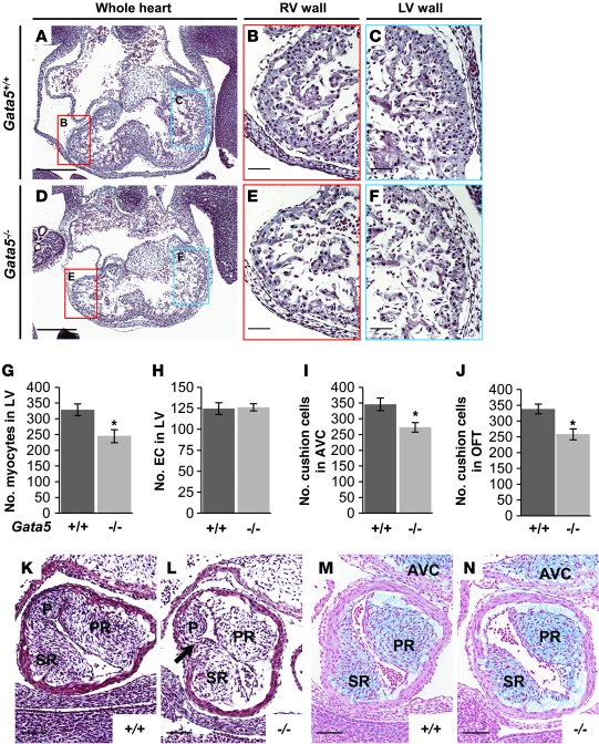
Caption (A-F) Trichrome staining of heart transverse sections at E11.5. Gata5tm1.2Nemr/Gata5tm1.2Nemr (Gata5-/-) embryos had thinner left ventricle (LV) and right ventricle (RV) walls and were less trabeculated than were wild-type (WT, Gata5+/+) controls. Boxed regions in A and D are shown at higher magnification in B, C, E, and F, as indicated. (G-J) Number of cells in mutant and littermate WT embryos at E11.5 (n = 3-5 per group). The number of myocytes within the LV was reduced in mutant mice compared with controls (G), whereas the number of ECs remained unchanged (H). The number of mesenchymal cells in the atrioventricular canal (AVC) and outflow tract (OFT) of mutant embryos was also significantly decreased by 20% (I and J). (K and L) Trichrome staining of transverse sections of OFT at E11.5. Arrow denotes abnormal fusion of the posterior intercalated cushion with the septal ridge, creating a R-N bicuspid aortic valve (fusion of the right-coronary and noncoronary valve leaflets). SR, septal ridge; P, posterior intercalated cushion; PR, parietal ridge. (M and N) Alcian blue staining was used to visualize acid glycosaminoglycans, such as hyularonic acid, within the endocardial cushions of the OFT. Mutant embryos had a similar amount of alcian blue staining in the OFT endocardial cushions at E11.5. Scale bars: 300 um (A and D); 50 um (B, C, E, and F); 75 um (K-N). *P < 0.05 vs. WT.
Copyright This image is from Laforest B, J Clin Invest 2011 Jul 1;121(7):2876-87 and is displayed with the permission of the American Society for Clinical Investigation who owns the Copyright. J:175663
Associated
Alleles
Symbol Name
Gata5tm1.2Nemr GATA binding protein 5; targeted mutation 1.2, Mona Nemer
Associated
Genotypes
Allelic Composition Genetic Background
Gata5tm1.2Nemr/Gata5tm1.2Nemr involves: 129 * C57BL/6

Contributing Projects:
Mouse Genome Database (MGD), Gene Expression Database (GXD), Mouse Models of Human Cancer database (MMHCdb) (formerly Mouse Tumor Biology (MTB)), Gene Ontology (GO)
Citing These Resources
Funding Information
Warranty Disclaimer, Privacy Notice, Licensing, & Copyright
Send questions and comments to User Support.
last database update
12/30/2025
MGI 6.24
The Jackson Laboratory