About   Help   FAQ
Phenotype Image Detail
Image
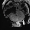
Caption Play Movie2D serial EFIC image stack of mutant 273-003-NE in the coronal view reveals perimembranous VSD
Copyright This image is from the Laboratory of Dr. Cecilia Lo, a member of the Cardiovascular Development Consortium (CvDC), Bench to Bassinet (B2B) program of the National Heart Lung and Blood Institute (NHLBI), and is displayed with the permission of the authors. J:175213
Associated
Alleles
Symbol Name
Sufub2b273Clo SUFU negative regulator of hedgehog signaling; Bench to Bassinet Program (B2B/CVDC), mutation 273 Cecilia Lo
Associated
Genotypes
Allelic Composition Genetic Background
Sufub2b273Clo/Sufub2b273Clo C57BL/6J-Sufub2b273Clo

Contributing Projects:
Mouse Genome Database (MGD), Gene Expression Database (GXD), Mouse Models of Human Cancer database (MMHCdb) (formerly Mouse Tumor Biology (MTB)), Gene Ontology (GO)
Citing These Resources
Funding Information
Warranty Disclaimer, Privacy Notice, Licensing, & Copyright
Send questions and comments to User Support.
last database update
12/30/2025
MGI 6.24
The Jackson Laboratory