About   Help   FAQ
Phenotype Image Detail
Image
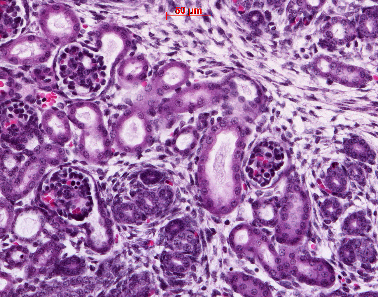
Caption Tubule dilation or mild cystic disease
Copyright This image is from the Laboratory of Dr. Cecilia Lo, a member of the Cardiovascular Development Consortium (CvDC), Bench to Bassinet (B2B) program of the National Heart Lung and Blood Institute (NHLBI), and is displayed with the permission of the authors. J:175213
Associated
Alleles
Symbol Name
Dctn5b2b315Clo dynactin 5; Bench to Bassinet Program (B2B/CVDC), mutation 315 Cecilia Lo
Associated
Genotypes
Allelic Composition Genetic Background
Dctn5b2b315Clo/Dctn5b2b315Clo C57BL/6J-Dctn5b2b315Clo

Contributing Projects:
Mouse Genome Database (MGD), Gene Expression Database (GXD), Mouse Models of Human Cancer database (MMHCdb) (formerly Mouse Tumor Biology (MTB)), Gene Ontology (GO)
Citing These Resources
Funding Information
Warranty Disclaimer, Privacy Notice, Licensing, & Copyright
Send questions and comments to User Support.
last database update
12/30/2025
MGI 6.24
The Jackson Laboratory