About   Help   FAQ
Phenotype Image Detail
Image
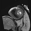
Caption Play Movie2D Serial EFIC image stack in the transverse view of 464-003-NA reveals hypoplastic aortic arch and aortic valve, hypoplastic left ventricle with small mitral valve.
Copyright This image is from the Laboratory of Dr. Cecilia Lo, a member of the Cardiovascular Development Consortium (CvDC), Bench to Bassinet (B2B) program of the National Heart Lung and Blood Institute (NHLBI), and is displayed with the permission of the authors. J:175213
Associated
Alleles
Symbol Name
b2b464Clo Mutant line 464; Bench to Bassinet Program (B2B/CVDC), mutation 464 Cecilia Lo
Associated
Genotypes
Allelic Composition Genetic Background
b2b464Clo/b2b464Clo C57BL/6J-b2b464Clo

Contributing Projects:
Mouse Genome Database (MGD), Gene Expression Database (GXD), Mouse Models of Human Cancer database (MMHCdb) (formerly Mouse Tumor Biology (MTB)), Gene Ontology (GO)
Citing These Resources
Funding Information
Warranty Disclaimer, Privacy Notice, Licensing, & Copyright
Send questions and comments to User Support.
last database update
12/30/2025
MGI 6.24
The Jackson Laboratory