About   Help   FAQ
Phenotype Image Detail
Image
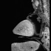
Caption Play MovieSerial 2D EFIC image stack of mutant 012-012-3 (E14.5) in the sagittal view reveals DORV and right descending aorta
Copyright This image is from the Laboratory of Dr. Cecilia Lo, a member of the Cardiovascular Development Consortium (CvDC), Bench to Bassinet (B2B) program of the National Heart Lung and Blood Institute (NHLBI), and is displayed with the permission of the authors. J:175213
Associated
Alleles
Symbol Name
Cplane1b2b012Clo ciliogenesis and planar polarity effector 1; Bench to Bassinet Program (B2B/CVDC), mutation 012 Cecilia Lo
Associated
Genotypes
Allelic Composition Genetic Background
Cplane1b2b012Clo/Cplane1b2b012Clo C57BL/6J-Cplane1b2b012Clo

Contributing Projects:
Mouse Genome Database (MGD), Gene Expression Database (GXD), Mouse Models of Human Cancer database (MMHCdb) (formerly Mouse Tumor Biology (MTB)), Gene Ontology (GO)
Citing These Resources
Funding Information
Warranty Disclaimer, Privacy Notice, Licensing, & Copyright
Send questions and comments to User Support.
last database update
12/30/2025
MGI 6.24
The Jackson Laboratory